“我经历的这场巨大考验的开颅手术成功了,太神奇了,我没有任何并发症,我觉得我像一个战士。手术结果不仅远远超出了我的预期,甚至很多医生也发出惊叹!我感激,感激巴特朗菲教授和他的手术团队,我充满力量,根本不像一个做过开颅手术的人……”——在近30年前内几乎没有丘脑、脑干等此类病变的成功经验,被称为“no man‘s land手术禁区”,该则案例在世界神经外科史上都具有意义!
丘脑海绵状血管瘤可以手术吗?手术效果究竟如何……直至今天,这类手术,仍对主刀医生要求极高。因为丘脑本身就是很多关键神经功能的神经核团所在,周边也几乎都是重要功能区:如肢体运动、视神经传导通路,高级认知神经功能及脑干。术中失之毫厘,都可能伤及关键功能,给患者造成毁灭性打击(偏瘫,视野缺损,失语,昏迷等)。
长期以来,脑干、丘脑、基底节等颅底位置被称为手术“禁区”,死亡率极高。随着现代检查影像的普及,体检发现或无症状的丘脑海绵状血管瘤越来越多,由于丘脑与基底节、脑干解剖相邻,所以如果肿瘤长大、反复出血容易导致基底节、脑干的压迫和损伤。由于丘脑解剖的复杂和重要、反复出血的风险,也常接收到的不同治疗意见,因此很多患者经常疑惑如何选择治疗方案。

丘脑解剖图
INC国际神经外科医生集团(incsg.cn)德国巴特朗菲教授表示丘脑已不再是手术禁区,可以手术!他有着丰富的成功治疗和预后良好的案例,丘脑等功能区肿瘤个人手术量1000+台,脑干肿瘤个人手术量1000+台。早在30多年前,他就为一名双侧丘脑海绵状血管瘤患者成功手术,顺利全切,无任何神经功能损伤,今再回看这个患者情况是怎样的?

德国Helmut Bertalanffy (巴特朗菲) 教授
INC世界神经外科顾问团(WANG)的重要成员
世界神经外科联合会(WFNS)教育委员会主席
德国INI国际神经外科研究所神经外科教授、血管神经外科主任
世界神外杂志《Neurosurgical Review》(影响因子2.53)主编

巴教授年轻时,40+年前就开始脑干、丘脑等深在位置解剖等基础研究
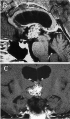
上世纪90年代,德国当地的的一位42岁女教师Bella因头痛、呕吐前往医院检查。一开始的治疗并不顺利,当地医院的医生只是简单开了一些药物。服药一段时间后并无好转,Bella在上课时甚至发现自己学生出现了影子,书本上的字也模模糊糊,随即咨询到巴教授所在的医院。这个时候核磁共振影像技术(MRI)才开始应用于临床,很多医院甚至都没有普及。起初Bella甚至抵触这种检查方式,认为会有辐射。然而在医生的解释下,才同意检查。经过检查和研究发现竟是丘脑海绵状血管瘤,Bella双丘脑海绵状血管瘤导致Monro双孔脑脊液阻塞、颅内压升高,由于由于脑脊液通路在Monro孔、Sylvius导水管受阻。

如果穿越回100年前做一场手术,可能使用的是榔头和凿子,甚至使用手指剔除的方式切除,多数患者都可能因手术或术后并发症死亡。在探索中进行疾病的诊断和治疗,由于早期对大脑解剖、功能和疾病本质的认识不足以及诊断手术条件的不足,患者可能死于医生对人体解剖结构的错误认知,可能死于未麻醉的剧烈疼痛,可能死于术后失血过多、感染严重,可能死于无菌术理念未普及前手术医生“不洗手”的医疗习惯等……
如果回到近30年前呢?在已知的宇宙中,人类大脑是最复杂复杂的东西。一台高质量的复杂位置的开颅手术,在那个年代不敢想象。如果神经外科手术发生事故,那么后果将残忍。Bella正面临着人生中的抉择,手术还是不手术?
丘脑海绵状血管瘤是什么?即时在当时世界范围内甚至都没有太多病例报道,更别说成功手术案例。丘脑位置深在、靠近功能区,有许多重要的神经核团,手术有肢体瘫痪、感觉障碍等风险大。好的手术只有一次,如果一开始做坏了结果无法挽回。手术对于当时的多数神经外科医生来讲就是一个禁区。但虽然它的名字里带了个瘤字,但其实海绵状血管瘤是一种血管畸形病变,并不是肿瘤。丘脑海绵状血管瘤是良性病变,只要顺利全切是可以恢复正常生活的。海绵状血管瘤就像脑袋里的“不定时炸弹”一样,随时会有再次出血的风险。因此Bella决定立即手术,以除后患,然而问诊的神经外科医生表示无法为其手术,也没有做过该类手术的任何经验。
而此时的巴特朗菲教授正潜心于脑干、丘脑、基底节区等深在位置的海绵状血管瘤手术研究。Bella从其他医生那得知后,便请巴特朗菲教授为其手术。然而在当时的条件下,即使是巴教授也不能全切确定手术可以顺利无虞。
通过反复就医,Bella和其家属明白了手术可能存在的风险,这脑瘤手术患者要能挺过“5大关”,哪“5大关”呢?能全切、能醒得来、能出ICU、能出院、能生活自理……哪一关都不容易!当然巴教授同样自信表达到:我会力求每一招每一式都尽力做到细致,做到全切肿瘤的同时极力避免任何神经功能损伤。此时的巴教授才40多岁,已经展现出神经外科惊人天赋。
Bella双丘脑海绵状血管瘤导致Monro双孔脑脊液阻塞、颅内压升高。由于由于脑脊液通路在Monro孔、Sylvius导水管受阻,因此需要先放置脑室-腹腔分流术治疗梗阻性脑积水。在随后的手术中,巴特朗菲教授通过经胼胝体入路全切病变,手术成功,无其他任何神经功能缺损。

显微外科技术(巴教授在手术室)

显微外科器械

术后颅脑CT
术后的Bella一个月后就回到校园,回到她热爱的岗位,教书育人,如常……Bella在课堂上交流了自己的治病经历:我经历的这场巨大考验的开颅手术成功了,太神奇了,我没有任何并发症,我觉得我像一个战士。手术结果不仅远远超出了我的预期,甚至很多医生也发出惊叹!我感激,感激巴特朗菲教授和他的手术团队,也感谢你们一直支持我。我现在回到课堂,再次见到你们,我充满力量,根本不像一个做过开颅手术的人。加油!同学们,希望你们在未来遇到困难,也能勇于抗争,战胜困难、战胜自己!
巴教授早期深部脑海绵状血管瘤手术研究
早在近30年前就进行这样的成功手术案例令人惊叹。INC德国巴特朗菲教授在2002年时发表了他的成功手术成果和经验《Cerebral cavernomas inthe adult.Review of the literature and analysis of 72 surgically treated patients》,分析了脑深部疑难部位的手术经验,主要分析了5年中接受手术的72例脑深部疑难手术患者的情况:24例位于脑干内,18例位于脑半球深部白质内,12例位于基底节区或丘脑内,11例位于脑半球表区,7例位于小脑深部。手术均获得成功尽全切,无死亡率。
巴教授证明,脑海绵状血管瘤无论位于皮层或皮层下功能区,以及其他功能重要的区域,如基底节区和丘脑,或位于三脑室、胼胝体和扣带回、脑室旁以及深部颞区等,在全部这些位置的病灶都可以顺利地尽全切除,效果良好,发病率低。教授在这篇论文中写到:在20世纪80年代后半期接受手术的患者,当时世界范围内几乎没有脑干、丘脑、基底神经节等此类病变的经验,世界神经外科史上都具有意义!

早在1991年,巴教授就已发布过相关研究,《Microsurgery of Deep-Seated Cavernous Angiomas: Report of 26 Cases》,巴教授回顾了26例经显微手术切除的深部海绵状血管瘤。10个海绵状血管瘤位于岛叶和基底节,2个位于丘脑,5个位于中脑,8个位于桥脑,1个位于桥臂。这些患者是1983年8月至1989年12月间手术的患者。11例完全切除,没有产生额外的神经功能缺损。巴教授表示:为了获得满意的手术结果,需特别注意手术入路、解剖仔细和完全切除血管畸形、穿支动脉和异常静脉引流。

丘脑海绵状血管瘤顺利全切的可能性大吗?
丘脑海绵状血管瘤是相对少见的病变,由于其位置深在,并且毗邻重要的解剖结构,手术切除挑战巨大、术后并发症风险很高,有可能导致毁灭性的神经功能缺损。但丘脑海绵状血管瘤与丘脑胶质瘤不同,其是良性病变,并且与正常丘脑、中脑有相对的界限。尽管手术难度很大,如选择适合的手术入路并结合娴熟的显微神经外科手术技巧是可以全切肿瘤并获得良好疗效的。而且早期手术可提供良好的临床效果,并消除未来出血的风险。
数十年来,随着神经影像学、显微外科手术和术中辅助技术的进步,手术切除程度正在逐渐提高。除了技术设备因素,丘脑海绵状血管瘤的手术切除程度还跟神经外科医生的经验相关,灵活的手术策略、熟练的手术技巧、耐心细致的手术操作,以及对于多种手术入路方式的熟练掌握,都是手术全切的关键。
回到今天,经过30多年的钻研和手术成功经验成就了巴特朗菲教授当之无愧的世界颅底、脑干手术教授。他最为擅长各种复杂位置的脑肿瘤、脑血管病等各种病变,如脑干、丘脑、胼胝体、高位颈髓、颅底等位置,能在确定神经功能不受损伤的情况下全切肿瘤,他一次次的成功切除高难度脑干海绵状血管畸形和胶质瘤、颅底肿瘤等脑深部瘤,让无数失去信心的患者得到了“重生”。
400-029-0925