
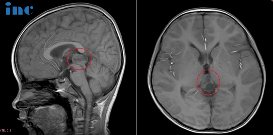
松果体囊肿内会有肿瘤组织吗? INC国际神经内镜大咖研究表明:囊肿就是囊肿。 随着头颅磁共振成像(MRI)的应用日益频繁,松果体囊肿越来越多地作为偶然发现被诊断出来。学界普遍认为,...

松果体区肿瘤并不常见,这些肿瘤中仅1430%起源于松果体实质,大部分是生殖细胞肿瘤。松果体实质肿瘤来源于松果体细胞或其前体细胞,与松果体区其他肿瘤不同。在松果体实质肿瘤中,松果...

医生,我的手术成功率有多高?风险大吗? 这可以说是松果体区肿瘤患者十分关心的问题了!这个问题实际上很难精准回答,因为患者、家属以及医生对于成功的界定标准都不一样 到底手术怎...

5岁的如如被一个怪病缠上了。她常常不由自主地呕吐,没有任何诱因地开始头痛,但很快又恢复原样,仿佛什么都没发生过。这种奇怪的表现引起了家人的注意,但此后一年半的时间里,一家...

松果体,一个深藏在大脑正中央、仅有米粒大小的腺体,掌控着我们的生物节律与睡眠。然而,这个不起眼的小器官,却是多种肿瘤和囊肿的高发地带。更关键的是,一旦它出问题,往往以急症...

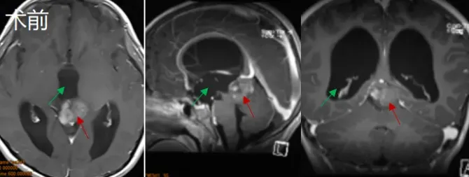
一次看似平常的摔跤,对活泼好动的孩子来说本是常事。但对于6岁的鑫鑫而言,一次意外摔破头皮后的检查,却揭开了更严峻的真相他的大脑中心,松果体区,潜藏着一个不断长大的肿瘤。 临...

Tank!病房中,一位6岁男孩的欢呼预示着生命的重启。这是他开颅术后的第二天,而这一天,全家人足足等了2年。 01 意外发现的松果体区占位 Pineal region tumor 2021年,6岁男孩鑫鑫因意外摔伤头皮...

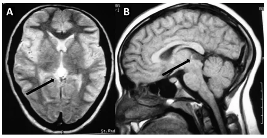
六岁的鑫鑫,因在幼儿园意外摔伤头皮就诊,CT检查意外捕捉到松果体区阴影与局部钙化灶;进一步MRI精查,一枚221417mm的占位病变随之浮出水面。 三十六岁的晴晴,不过是因鼻炎顺带行颅脑...

人绒毛膜促性腺激素(hCG)是一种可在多种肿瘤类型中异常分泌的激素,包括颅内生殖细胞肿瘤。在松果体区肿瘤中,hCG是一种关键的肿瘤标志物。实际上,轻度升高通常提示含有合体滋养层细...

6个月大的婴儿确诊脑瘤,这么小的孩子能做开颅手术吗?答案是肯定的。一台由国际小儿神经外科大师主刀的高难度手术,最终成功为患儿顺利手术。 让孩子们比以前活得更好,活得更久,活...