
出血型烟雾病再出血率高、预后差,一旦发生,极易导致残疾甚至死亡。可同样罹患出血型烟雾病,有人能多年平稳无恙,有人却反复出血,风险天差地别。 有没有办法预测谁会再次出血?手...

烟雾病是一种罕见的脑血管闭塞病,成人患者常以脑出血发病,再出血风险高、预后差。血管搭桥手术是主要治疗手段,但颞浅动脉大脑中动脉双旁路术到能否有效预防下一次灾难性的出血呢?...

持续4年的慢性头痛 4年来,小宇偶尔的头痛已经成为全家人见怪不怪的事情了。除了头痛,孩子并没有其他症状,检查也查不出什么问题,久而久之家里人觉得,或许这是一个无伤大雅的小毛病...

烟雾病是一种特殊的脑血管疾病双侧颈内动脉慢慢变窄,大脑底部长出密密麻麻的烟雾状代偿血管网。 对于成年患者,直接搭桥手术是目前最有效的治疗方式之一:把头皮上的颞浅动脉接到大...

在神经外科领域,某些脑血管的形态悄然诉说着一种隐匿的危机。它不是肿瘤的占位效应,也非典型的动脉瘤膨出,而是一种以颅内颈内动脉末端为中心,渐进性的狭窄乃至闭塞,伴随其侧支循...

手术很成功,孩子恢复得也很好。这句话对任何患儿家长来说,无疑是定心丸。然而,对于一种名为烟雾病的特殊脑血管疾病,术后的长期管理,或许比手术本身更需要警惕。 INC国际神经外科...

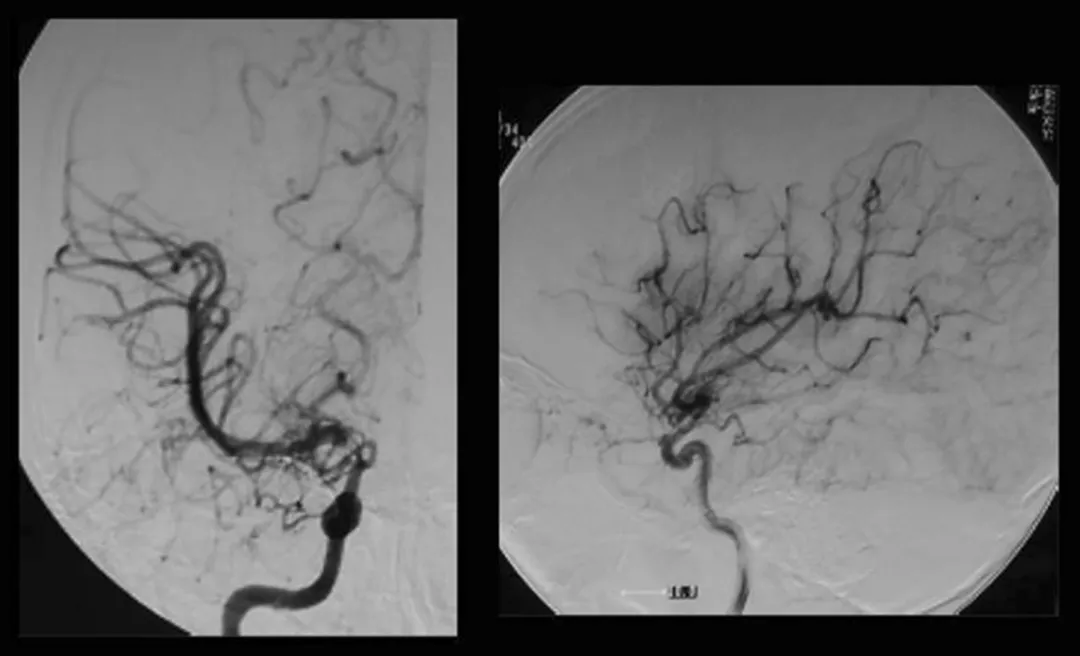
提到脑卒中,很多人会想到高血压、动脉硬化,却不知一种名为烟雾病的脑血管疾病,正成为儿童和中老年人脑卒中的重要诱因。 这种病因脑血管造影时呈现出烟雾状的异常血管网而得名,看...

在神经外科领域,烟雾病一直是个棘手难题。患者大脑主要血管逐渐闭塞,代偿形成脆弱异常的烟雾状血管网,不仅容易导致脑缺血,更可能在搭桥手术后出现致命的出血性脑高灌注综合征(...

烟雾病患者接受颞浅动脉-大脑中动脉(STA-MCA)双吻合术,就像为缺血的大脑搭建生命通道,但术后潜藏的出血性脑高灌注综合征(CHS),却可能成为致命隐患。 INC国际神经外科脑血管大咖川岛...

你是否有过肢体突然麻木无力,几分钟后又自行缓解的经历?这种不适很容易被忽视,但这很可能是脑卒中的预警信号。 40岁的吴女士近期就频繁遭遇这种诡异症状,反复出现双侧肢体麻木无力...