
在听神经瘤的早期诊断中,听力测试是最佳初步筛选实验,它无创、便捷、经济,能敏感地捕捉到听神经受肿瘤影响的蛛丝马迹。 那么,当医生怀疑听神经瘤时,通常会安排哪些听力学检查?...

得了听瘤,而且肿瘤还小,能不能不做手术?做了手术会不会损失听力? INC国际神经外科医生集团旗下世界神经外科顾问团(WANG)成员、世界神经外科学院院长美国William T.Couldwell教授等此前发...

听神经瘤患者中有超过70%的人群的首发症状是耳鸣,有些患者在手术成功切除了肿瘤后,耳鸣没有随之消失,甚至有部分人的耳鸣状况更严重了。 如果做手术,耳鸣是变好还是变坏? 在一项前...

罹患囊性听神经瘤需要手术,但全切容易损伤面神经,无法控制面部表情,无法微笑,甚至无法闭眼...保神经又可能切不干净,可能又会复发。因此医生和患者常常陷入决策两难。 为什么囊性...

在往期的文章里,我们有整理过听神经瘤患者早期症状之一就是听力下降,但往往是单侧耳朵出现轻微的听力下降,慢慢发展为完全耳聋。不过也有一部分患者出现突发性耳聋。 INC国际神经外...

入睡前,你盯着天花板数羊,耳边却总飘着嗡嗡声或蝉鸣声,明明房间静得能听见唿吸,这声音却挥之不去。 几乎每个人都有过耳鸣,偶尔的耳鸣可能是疲劳的信号。但持续单侧耳鸣却可能是...

观察、放疗还是手术?这三种听神经瘤的主流治疗策略,究竟哪一种能最大程度地保留患者长期生活质量。一项发表在《Journal of Neurology》上的大型系统综述与荟萃分析,对此问题给出了关键答...

听神经瘤的显微手术切除是一个复杂的过程,一般来说,手术时肿瘤越小,出现并发症的可能性就越小。随着肿瘤的扩大,并发症的发生率也越来越高。因此听神经瘤及时治疗尤为重要,听神经...

小型听神经瘤该手术还是继续保守观察?术前有实用听力术后还能保住吗? 针对此,INC国际神经外科医生集团旗下世界神经外科顾问团(WANG)成员、世界神经外科学院院长美国William T.Couldwel...

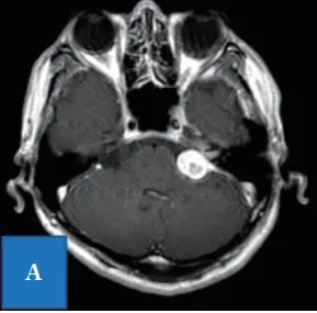
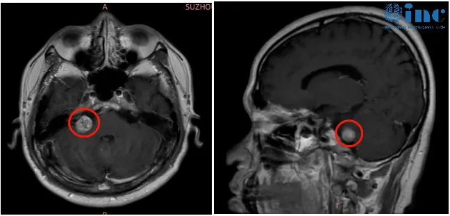
听神经瘤作为桥小脑角区最为常见的肿瘤,临床表现多样,比如听力下降、耳鸣、头痛、平衡失调,面部疼痛和麻木,这类肿瘤多见于30岁至60岁人群,很少见于年轻患者。 本期要分享的病例是...