2019-06-03 00:16:00
2022-06-03 00:07:38
2022-06-03 00:45:43
2022-06-03 00:09:15
2019-06-03 00:15:00
2022-06-03 00:26:35
2022-06-02 23:53:16
2022-06-03 00:10:29
2022-06-03 00:08:23
2019-06-03 00:20:00
听神经瘤怎么治 听神经瘤通常建议手术治疗,这是目前为止直接合适的治疗方式。 听神经瘤是颅内常见的肿瘤之一,又称前庭神经鞘瘤,主要起源于前庭...
复发性较大听神经瘤手术全切案例:较大听神经瘤手术治疗具挑战性,因为此类患者通常表现为多发性颅神经缺损和脑干受压或颅内高压症状。治疗岩骨严...
听神经瘤患者故事:在他人和“更强大”的事物中寻找支持,我做过的较难的事情之一就是告诉我的两个孩子我的听神经瘤。那是2017年6月。虽然我确信这是...
蛛网膜囊肿压迫听神经什么时候手术好,孩子,我要保住你的听力! 好端端的孩子怎么突然听不清了? 因颅内桥小脑角区蛛网膜囊肿生长压迫听神经,已经...
乔丹劳利一动不动地躺在核磁共振成像仪里,机器扫描了他的头部和颈部半个小时。他没想到会发现什么异常。毕竟,它应该扫描他的膝盖。 这位30岁的职...
复发性较大听神经瘤手术全切案例:较大听神经瘤手术治疗具挑战性,因为此类患者通常表现为多发性颅神经缺损和脑干受压或颅内高压症状。治疗岩骨严...
蛛网膜囊肿压迫听神经什么时候手术好,孩子,我要保住你的听力! 好端端的孩子怎么突然听不清了? 因颅内桥小脑角区蛛网膜囊肿生长压迫听神经,已经...
乔丹劳利一动不动地躺在核磁共振成像仪里,机器扫描了他的头部和颈部半个小时。他没想到会发现什么异常。毕竟,它应该扫描他的膝盖。 这位30岁的职...
女星筱蕾是模特儿出身,是综艺节目《女人我较大》的长年班底。却因 听神经瘤 离开了众人视线很长时间,曾在《小明星大跟班》节目中表示,当初发现...
听神经瘤患者故事:在他人和“更强大”的事物中寻找支持,我做过的较难的事情之一就是告诉我的两个孩子我的听神经瘤。那是2017年6月。虽然我确信这是...
听神经瘤 是一种良性肿瘤,通常发生在内部听神经管内,由七(面)和八(听)脑神经共同组成的骨通道。这些惰性肿瘤扩大到头骨的一个狭窄区域,会对两根...
一名以色列 听神经瘤全切手术 患者德国INI就医交流 听神经瘤是良性肿瘤,可以完全治愈,前提是全切肿瘤。全切肿瘤后,如果无明显神经功能障碍,无生...
听神经瘤案例|听神经瘤的临终自述,35岁的小明在察觉自己左耳听力下降后去医院做了个核磁检查,这一下,就把在他脑子里作祟的家伙给照了出来,小明...
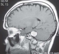
另一方面,到达三叉神经的神经鞘瘤的特征是疼痛和面部麻木。同样,Samii和Matthies报道,大约1%-3%的前庭神经鞘瘤患者出现三叉神经痛症状。目前,医学影...
两个听神经瘤的故事:夫妻先后被确诊听神经瘤,如何抗击肿瘤?我当时肯定是被吓到了,不知道该怎么办。我们也没有去谷歌搜索到底该怎么办,我听到...
听神经瘤怎么治 听神经瘤通常建议手术治疗,这是目前为止直接合适的治疗方式。 听神经瘤是颅内常见的肿瘤之一,又称前庭神经鞘瘤,主要起源于前庭...
链接/Links: 北京天坛医院 | 首都医科大学宣武医院 | 复旦大学华山医院神经外科 | 脑胶质瘤 | 脑海绵状血管瘤 |