
髓母细胞瘤(MB)是常见的恶性儿童脑肿瘤,1-9岁儿童的发病率是成人的五到十倍。髓母细胞瘤被划分为四个不同亚组谱系:WNT、SHH、Group 3和Group 4。一则发表于《Brain Sciences》的研究总结了当前...

作为小儿神经外科领域的国际大咖,INC旗下世界神经外科顾问团成员James T.Rutka教授等曾发表了一篇名为《Late Effects in Survivors of Pediatric Medulloblastoma:A Comprehensive Review》的研究,综述了儿童髓母细...

随着分子分型的整合应用,髓母细胞瘤(MB)的治疗已取得显著进展,使得风险分层更为精确,治疗策略更具个体化。尽管生存结局有所改善,但治疗相关的长期并发症仍是重大挑战。本文综述...

INC国际儿童脑瘤大咖、世界小儿神经系统专业杂志《Childs Nervous System》现任主编Concezio Di Rocco教授发表研究《MicroRNA profiling in human medulloblastoma》(人类髓母细胞瘤的MicroRNA表达谱分析),以下是...

INC国际儿童脑瘤大咖、世界小儿神经系统专业杂志《Childs Nervous System》现任主编Concezio Di Rocco教授发表研究《Cytogenetic prognostication within medulloblastoma subgroups》(髓母细胞瘤亚群内的细胞遗传学预...

▼孩子术后自闭▼ 萱萱怎么也没想到,原本话痨的儿子在一场髓母细胞瘤开颅术后突然自闭了。先是不爱说话,到后面更是只能说几个短语,注意力不集中难道这么快就复发了吗?萱萱害怕不...

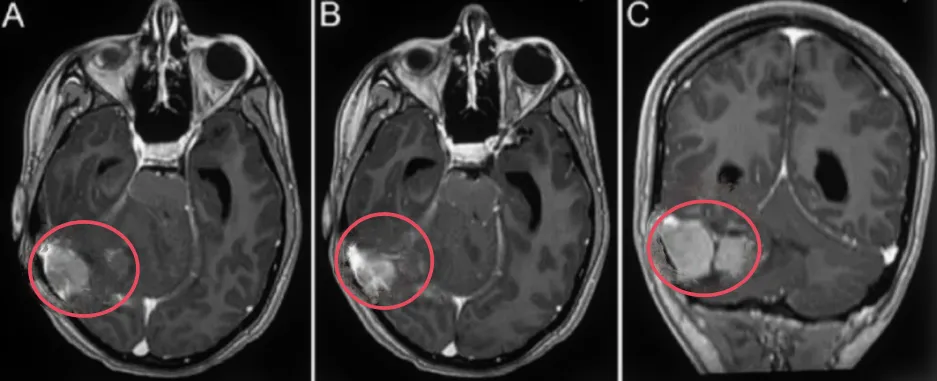
在孩子的成长路上,最让父母心碎的莫过于突如其来的疾病。尤其当诊断书上写着恶性脑瘤时,多少家庭仿佛被推入深渊。 Cathy曾在一次检查中被发现脑内长了一个5厘米的巨大髓母细胞瘤,属...

专家提醒:如果孩子频繁呕吐短期不见好转,一定要做脑部CT或磁共振检查。 这样一条热搜引起了很多家长的注意: 2岁多的小豆豆,从今年6月初开始突然频繁呕吐,一天大概有三四次...

髓母细胞瘤包括一系列发生在后颅窝的肿瘤亚群。这种恶性肿瘤主要发生在婴儿和儿童,中位年龄为8岁,男女比例为1.5:1。它约占全部儿童脑肿瘤的20%,是较常见的儿童脑肿瘤。然而...

儿童髓母细胞瘤病因?3点注意!儿童髓母细胞瘤的确切病因尚不完全清楚,但研究表明可能与多种因素有关。以下是一些可能的病因因素: 1.遗传因素:遗传因素可能在儿童髓母细胞瘤...