
当孩子确诊脑干海绵状血管瘤那天,我感觉天都塌了。直到现在,我还能清晰想起2020年那个初秋的下午,医生把CT片递到我手里时的场景窗外的阳光明明很暖,我却觉得浑身发冷,指尖止不住地...

7天前,荣荣还只是偶尔抱怨头晕,陈先生叮嘱了几句注意休息,便又埋头于工作的忙碌中。 谁能想到,这竟是危险信号的最初闪现。直到儿子出现右侧耳鸣、右面部麻木和舌麻木等症状,陈先...

从视物重影到走路摔跤,从数学题错漏到诊断书上脑干海绵状血管瘤九个字,一位花季少女的人生在半个月内天翻地覆...... 那些被误读的小异常竟是致命预警 一开始真没当回事,只以为是复习...

我觉得我儿子太懂事了,他抱着我说:妈妈你别哭了,妈妈我很勇敢,我没事,我做手术没事,你放心!只要能活着跟妈妈在一起就行。我觉得一个12岁的孩子说出这些话,真的特别坚强,孩子...

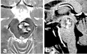
在神经外科领域,追求病变的完全切除常被视为金标准。然而,面对一位40岁的中脑海绵状血管瘤患者,INC国际神经外科大咖巴特朗菲教授及其团队做出了一个不一般的决定:应患者明确请求,...

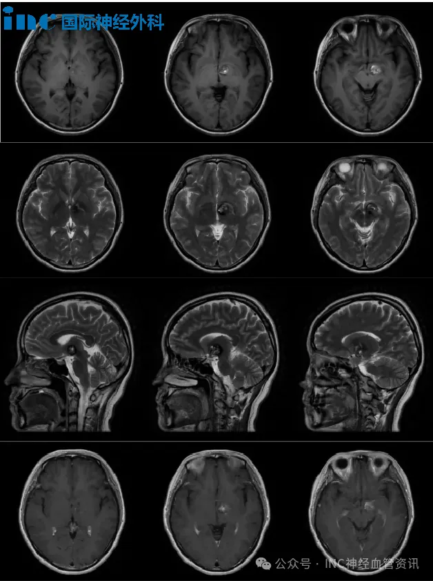
当孩子的体检报告或诊断书上出现脑海绵状血管瘤时,许多家长都会感到迷茫和焦虑。这病严不严重?要不要手术?手术风险大吗?特别是当孩子已经出现癫痫发作时,手术能根治吗? 此前,...

孩子长时间坐在电视电脑前,家长普遍都会担心孩子的视力问题,聪聪爸爸也不例外。一开始,眼科医生也怀疑孩子的斜视问题是看电视看多了,没想到,真相却令家人大惊失色:不到2岁的聪...

一阵急促、嘈杂的脚步声响起,我被推着冲向急诊室。那时的我已经无法站立、情况危急。我整个人像被钉在床上,世界是倾斜而模糊的,家人焦急地跟在后面。 后来我才知道,这样的场景在...

脊髓海绵状血管瘤,这个大多数人从未听过的疾病,没有给郑先生任何缓冲的机会。吞咽、抬手、翻身这些与生俱来的能力,在一夜之间成了遥不可及的奢望。 突遭变故:从生意场高手到重症...

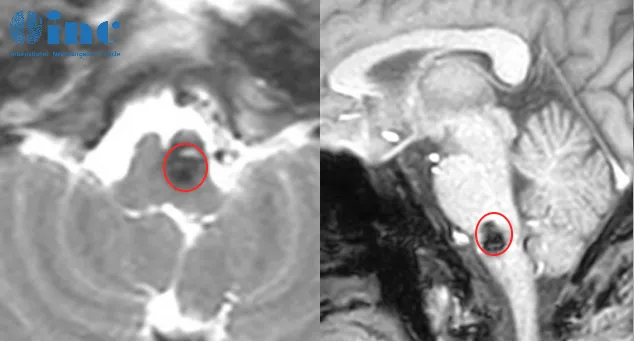
巴教授您好,我现在恢复得还不错! 这句话来自一段丘脑海绵状血管瘤患者文文的恢复视频。镜头里的她行走自如,说话时眉眼带笑,活泼的模样完全看不出三个月前刚经历过一场高难度的脑...