
我们的大脑,如同一个精密的指挥中心,不同区域各司其职,管理着我们的运动、感觉、语言、视觉等一切活动。这些关键岗位,我们称之为功能区。 可当这个区域受到海绵状血管瘤的威胁,...

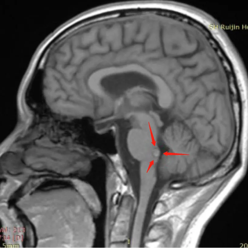
切干净的血管瘤,还会卷土重来吗? 从查出脑干海绵状血管瘤那天起,三个问题就像三座大山:会不会出血?要不要手术?手术切完了还会不会再长? INC巴特朗菲教授曾为一名脑干海绵状血管...

在神经外科领域,脑干海绵状血管瘤是一种让医生和患者都高度警惕的疾病。尤其是已经发生过出血的患者,常常会陷入焦虑和恐惧:为什么是我?、什么时候会再次出血?、我该怎么办?。...

正参加女儿毕业典礼的张先生前一秒还在自豪的鼓掌,可一阵突如其来的头痛,打乱了所有他陪女儿庆祝的计划。 彼时他还没意识到,这不仅是一场普通的身体不适,更是一场持续数年、关乎...

头痛、恶心、呕吐21岁的Lily从未想过,这些看似普通的症状,竟是脑干出血的征兆。 作为一名在校大学生,她原本对未来充满期待,直到在当地医院ICU醒来,得知自己脑干深处长了一个巨大的...

3岁女孩的脑干手术,竟然揭开了这个家庭的遗传秘密。 可爱的妮娜,突发脑干出血,嗜睡、头痛、右侧偏瘫(伴面瘫)以及言语障碍一切都因为脑干长了一个巨大的海绵状血管瘤,并且大脑里...

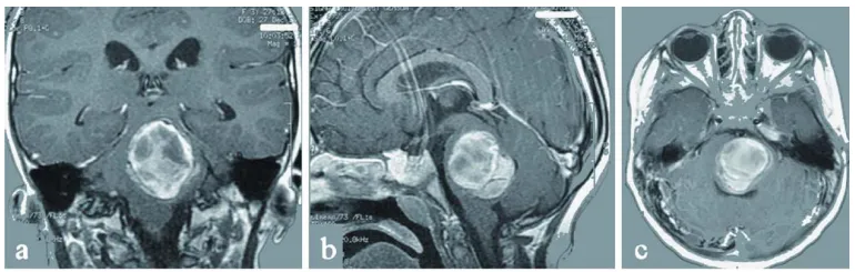
在神经外科领域,松果体区一直被称为手术的禁区。这里位于大脑最深处,血管神经错综复杂,每一步操作都如履薄冰。而海绵状血管瘤更是一种罕见的血管畸形,像一颗不定时炸弹,随时可能...

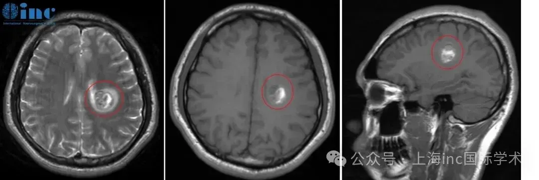
9岁的朋朋在半年来始终过的提心吊胆,她不得不提防着随时可能到来的癫痫,也必须忍受持续的头痛。然而,当父母带着她来到医院检查时,却被结果吓了一跳:脑中一个5cm大的海绵状血管瘤...

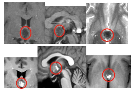
提到脑干手术,很多人会想到手术禁区这个词。尤其是中脑海绵状血管瘤,这类位于脑干核心区域的病变,过去常被认为越深越危险,甚至被排除在手术选项外。 INC国际脑干手术大咖Helmut Ber...

26岁,本该是人生肆意绽放的年纪,浩然却在结束高原行程后,被持续的头痛头晕拽入了人生转折的漩涡。 两个月的不适让他终于下定决心寻医,而核磁检查的结果,像一盆冷水浇透了他和家人...