
提到脑干手术,很多人会想到手术禁区这个词。尤其是中脑海绵状血管瘤,这类位于脑干核心区域的病变,过去常被认为越深越危险,甚至被排除在手术选项外。 INC国际脑干手术大咖Helmut Ber...

26岁,本该是人生肆意绽放的年纪,浩然却在结束高原行程后,被持续的头痛头晕拽入了人生转折的漩涡。 两个月的不适让他终于下定决心寻医,而核磁检查的结果,像一盆冷水浇透了他和家人...

伽马刀治完不仅没好,走路越来越费劲,复查还说病灶变大了2022年,林女士拿着最新的MRI报告,满心焦虑。 两年前,她因运动后突发头晕、左腿疼痛查出脑干海绵状血管瘤,为降低风险选择伽...

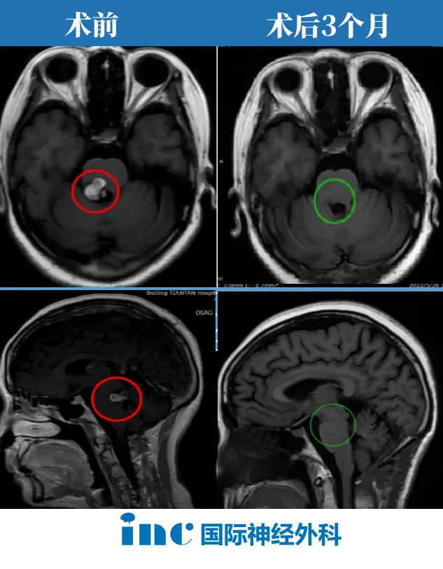
小雨在距离那场开颅术后已经安稳度过了3个月。当初,由巴教授主刀,他的海绵状血管瘤得到全切,才换来如今的正常生活。这3个月以来,他积极康复,如愿以偿回到校园,甚至还拥有了一辆...

放疗是很多脑瘤患者治疗路上的重要战友,可在经历手术、放疗后,以为终于迎来康复曙光,却不知一种名为放疗诱发海绵状血管瘤的并发症可能正悄然潜伏,可能在治疗后数年突然引发脑出血...

最新MR显示,脑干海绵状血管瘤切得很干净,没有明显副作用。2024年初,卢先生接到INC巴特朗菲教授的随访回复时,攥着手机的手终于不再发抖这场持续7年的颅内炸弹危机,终于迎来了句号。...

当生命的风暴猝然降临在一个9岁孩子的身上,带来的往往是一种令人心碎的错位感。她本该在阳光下奔跑,却频频在抽搐中倒下。 为什么是我的孩子?这成了父母心中无言的钝痛。从确诊到手...

当13岁的生命被突如其来的癫痫击倒,一个深藏在大脑要塞区域的4.5厘米巨大海绵状血管瘤,让整个家庭陷入风暴,Jack一家意外开启了一场与巨大海绵状血管瘤的较量。 Jack 13岁 海绵状血管瘤...

深夜,丽莉的父母躺在床上无法入睡。他们辗转反侧,回想起女儿以前的种种异常,想要找到一切的源头,可还是失败了。他们怎么也没想到,仅仅是几次头晕头痛,却查出了脑干出血,还不止...

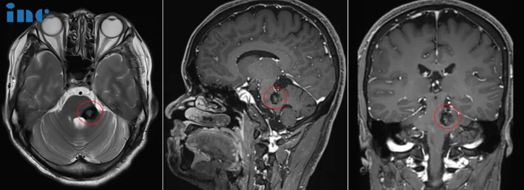
快!患者意识模煳,右侧肢体瘫痪! 凌晨3点,45岁的Laura被推入急救室,因突发脑干海绵状血管瘤出血,导致她面瘫、偏瘫,当她被送到医院时,情况已经十分糟糕。她能平安度过这一劫吗?...