2022-06-02 23:09:40
2022-06-02 23:10:05
2022-06-02 23:10:26
2022-06-02 23:10:17
2019-06-02 23:03:00
2022-06-02 23:17:34
2019-06-02 23:01:00
2019-06-01 14:59:00
2022-06-01 15:13:13
2019-06-02 22:57:00
目录 引言 松果体区海绵状血管瘤综述 松果体区海绵状血管瘤临床表现 松果体区海绵状血管瘤的外科治疗 三大手术入路 两个成功案例 手术操作技巧 松果...
在当前国际交流与合作广泛推进的今天,一批国际神经外科教授来华手术,为更多海内外疑难神外疾病患者带来希望。来自美丽的东南亚的38岁男士Norodom(...
都是根据我们的期望和较好的结果。28岁的琳琳在高难度脑干延髓海绵状血管瘤全切手术3个月后,再次收到了巴教授从德国发来的好消息,巴教授在收到术...
请让患者放心,都很好,海绵状瘤已经切除。我敢肯定,他甚至无法估计这种手术的高质量和高难度,从皮质脊髓束区域切除海绵状瘤!! 术后3个月随访...
这种比脑出血还凶险百倍的急症,差点要了宋先生的命。 大家知道吗?在我们脑部手术当中,难度和风险较大的就是脑干手术,而其中延髓更是神经高度密...
【脑海绵状血管瘤案例】延髓海绵状血管瘤二次出血,被判“死刑”,手术全切后“起死回生”“国内找了好多家大医院的专家,都叫我保守治疗。本来都...
【丘脑海绵状血管瘤手术成功案例】丘脑海绵状血管瘤出血昏迷2个月,很多神经外科医生告诉Erica的家人,在丘脑上进行手术风险太大,丘脑是控制身体大...
【脑瘤治疗案例汇总】INC曾接诊的这四个真实的疑难脑瘤手术案例或许正能解答大家的这些疑问。就这些案例患者而言,术前教授都曾给到他们明确的可以...
在这对父女成功地进行了脑深部手术,折磨他们多年的少见的家族性遗传病 脑海绵状血管瘤 (血管畸形的一种)终于被完全清除,术后他们取得了惊人的...
由于计算机断层扫描(CT)和磁共振成像(MRI)的使用增加,近年来诊断出更多的CHs。非对比CT扫描显示三脑室内有不均一的高密度出血肿块压迫下丘脑,没有明...
【脑干海绵状血管瘤案例】深入“禁区”,INC巴教授脑干桥脑海绵状血管瘤顺利全切手术纪实...
我们生活中没有不可以逾越的天堑,只要不懈怠地一步一步往前走,前面是美好的等待,我要做生命舞台的主持,把我的光和热发挥出来,帮助更多需要帮...
脑干海绵状血管瘤案例,花样少女学霸突患脑干肿瘤,INC国际德国巴特朗菲教授成功手术案例纪实...
脑干海绵状血管瘤案例:脑干CCM手术从简单的概念开始,如“两点法”来选择较佳的手术方法复杂颅骨基地曝光肿瘤和动脉瘤的发展是适应的病理CCMs(图2...
鞍内脑海绵状血管瘤案例,颅内出血在磁共振成像(MRI)上具有特征性表现,包括T1加权像上的等强度、T2加权像上的高强度和鞍区钆增强T1加权像上的弥散均...
海绵状血管瘤是良性血管病变,发生在大脑的轴内和轴外区域。这种瘤种在普通人群中的发病率为0.4%至0.8%。鞍内和鞍旁海绵状血管瘤是较常见的轴外形式...
黄女士,年龄50+岁,肢体无力、面部麻木、构音障碍,脑干海绵状血管瘤患者,共发生6次脑干出血。曾因出血引起生命垂危入住ICU治疗60多天,差点选择放...
【脑海绵状血管瘤手术案例】INC德国巴特朗菲教授脑干肿瘤全切手术案例,天真活泼的4岁小Liliya是L夫妇一家的掌上明珠,活泼顽皮的她在幼儿园总是能让...
引言:我经历的这场较大考验的手术成功了,太神奇了,我没有任何并发症,我觉得我像一个战士。手术结果不仅远远超出了我的预期,甚至很多医生也发...
作为INC国际神经外科医生集团旗下国际神经外科顾问团成员、国际神经外科联合会WFNS教育委员会主席德国INI国际神经学研究所 巴特朗菲 (Helmut Bertalanffy)...
INC国际专家疑难手术案例:5岁的阳阳活泼好动,是幼儿园里的小明星。任谁也想不到,就在一年前,他曾被医生告知病情危重,需要在ICU留待观察,这,都...
海绵状血管瘤 是一种少见的血管畸形,意味着血管的异常。海绵状血管瘤可以发生在身体的任何部位,但通常只会对大脑或脊髓造成威胁。当它在大脑中发...
脊髓髓内海绵状血管瘤占全部脊髓血管病变的5%-12%。症状性CH的临床过程具有侵袭性,出血率高,因此建议手术切除。通常通过后部或后外侧入路进行脊髓...
海绵状血管瘤是在不同的进化阶段,血管内皮排列的正弦通道。这些通道缺乏加强弹性蛋白或平滑肌层,直接相互连接而不干预神经实质。除了已知的致痫...
眼眶海绵状血管瘤患者通常出现在生命的四个和五个十年。我们描述了一个患有眼眶海绵状血管瘤并伴有颅内病变的女婴的病例,该病例与严重的血栓形成...
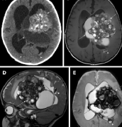
脑部磁共振成像(MRI)显示一个大的混合微小不均匀增强的囊实性脑室内肿块,伴有内部钙化和病灶周围脑水肿,主要位于左侧侧脑室的左三角区和体部,导...
INC国际Michael T. Lawton 教授从俄亥俄州一名男子的脑干上切除了 海绵状血管瘤 俄亥俄州的一家小企业主,在亚利桑那州凤凰城的巴罗神经学研究所接受拯救...
豆豆父母带孩子头颅检查发现,原来孩子持续20多天的双眼斜视、不自主扭头、走路不稳等症状是由于脑干海绵状血管血管瘤破裂出血所致。当地的主治医...
较近,由于增强的成像技术以及人们意识到即使很小的出血事件也会引起明显的神经功能缺损, 脑干海绵状血管瘤 受到了广泛的关注。虽然大部分(约7...
颈静脉孔传递重要的神经源性和血管结构,这在颅底手术中是重要的。这些神经血管结构可引起各种各样的病变,较常见的是颈静脉血管球瘤、脑膜瘤和神...
脑干海绵状血管瘤严重吗?海绵状血管瘤约占总人口的0.5%。延髓海绵状血管瘤的发生率约为5%。这些患者有出血、高死亡率和高发病率的风险。根据出血和...
丘脑海绵状血管瘤相当少见,常与基底节、脑干或两者合并报告。对于这些病变的自然病史很难得出直接的结论,是考虑到有丘脑病变的相对较少。研究表...
2岁脑干海绵状血管瘤女童手术全切后治愈奇迹在广天下的爸爸妈妈心里,看着自家的孩子平安健康长大成人,可以说已经是莫大的幸福和成就了。可对于刚...
让我们先来看一则病例: 42岁女性患者术前矢状面和冠状面MRI显示丘脑间肿块病变(图B,C)。因双丘脑海绵状血管瘤导致Monro双孔脑脊液阻塞而导致颅内压...
丘脑海绵状血管瘤严重吗 ?当海绵状血管瘤涉及到丘脑,会引发一系列的症状从而导致患者陷入危险,因为丘脑本身就是很多关键神经功能的神经核团所在...
中脑海绵状血管瘤能治愈吗? 中脑海绵状血管瘤就是海绵状血管瘤长到了脑干中脑位置,小小的脑干有一根拇指大小,但是却是人体的中枢神经,小小的中...
脑干是人的生命中枢,脑干包括中脑、脑桥、延髓,脑干海绵状血管瘤是导致脑干出血,病人可出现肢体瘫痪、昏迷及生命风险。近数十年来,随着MRI、神...
脑海绵状血管瘤(CCMs)是一种低流量血管畸形;影像学研究估计其患病率为0.4%至0.8%。47%的病例通过影像学确诊,25%的病例通过惊厥确诊,12%的病例通过脑出...
延髓是重要呼吸、循环中枢所在区域,神经结构密集。延髓有9至12颅神经出入脑干及多个神经核,具有调节和控制肌体的心跳、血压、呼吸、消化等重要功...
丘脑海绵状血管瘤手术可以微创吗 丘脑海绵状血管瘤是无法微创治疗的,需要通过开颅手术,这往往一个大手术。 丘脑海绵状血管瘤这个是不可以进行微...
延髓海绵状血管瘤手术成功率 延髓海绵状血管瘤手术成功率是比较低的,当然每一个人的血管瘤问题都是不一样的,虽然名称可能是一样的,但是在治疗的...
脑干海绵状血管瘤核磁共振 MRI是诊断海绵状血管瘤的重要辅助检查。通过MRI检查可以明确瘤体位置、大小及其与周围结构的关系。海绵状血管瘤在MRI的检查...
目录 引言 松果体区海绵状血管瘤综述 松果体区海绵状血管瘤临床表现 松果体区海绵状血管瘤的外科治疗 三大手术入路 两个成功案例 手术操作技巧 松果...
手术之后,他术前的症状全部减轻了,就像两个人,进去的时候这人很看着很僵硬的,一出来很鲜活,就和正常人是一样的。,20岁的小峰正值青春年少,...
在当前国际交流与合作广泛推进的今天,一批国际神经外科教授来华手术,为更多海内外疑难神外疾病患者带来希望。来自美丽的东南亚的38岁男士Norodom(...
脑干延髓是心跳、呼吸等关键生命中枢,神经核团高度密集,脑干海绵状血管瘤随就如这样不定时炸弹有反复出血造成肢体瘫痪、呼吸困难无力甚至昏迷等...
脑干海绵状血管瘤有可能会引发肢体无力的症状,这是比较常见的。 脑干海绵血管瘤一般指脑干海绵血管瘤,具体表现为脑出血、癫痫发作、头痛、局灶性...
L男士,年龄61岁,头痛、偏瘫、核间性眼震、共济失调走路不稳等,8年前因为发现脑干中脑海绵状血管瘤引起严重脑干出血、生命垂危,当地ICU住院2月保...
脑干海绵状血管瘤反复出血的危害有哪些?三个案例真实记录 为什么我这脑干出血会反复发作呢? 反复脑干出血会后遗症会很明显吗? 脑干出血会有什么...
All removed?So great!Thank you,Professor,术后1天,当听到巴教授说脑干部位的海绵状血管瘤得到了全切,且今天就可以转出ICU,转入普通病房时。一直陪同琳琳...
儿童脑瘤是儿童中较为常见的实体性肿瘤,包括髓母细胞瘤、室管膜瘤、脑干胶质瘤、星形细胞瘤、颅咽管瘤及生殖细胞瘤等。根据《柳叶刀》的子刊:《...
反复出血是造成脑干以及脊髓等复杂位置海绵状血管瘤患者伤残和死亡的重要原因,部分切除的病例再出血可能性较大,可引起灾难性的神经功能缺失,顺...
链接/Links: 北京天坛医院 | 首都医科大学宣武医院 | 复旦大学华山医院神经外科 | 脑胶质瘤 | 脑海绵状血管瘤 |