2022-06-02 23:10:26
2022-06-01 15:13:13
2022-06-02 23:10:17
2022-06-02 23:17:34
2019-06-01 14:59:00
2019-06-02 23:03:00
2019-06-02 22:57:00
2019-06-02 23:01:00
2022-06-02 23:09:40
2022-06-02 23:10:05
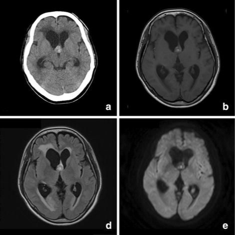
脑干海绵状血管瘤二次出血MRI是什么样?出血量会比之前大吗?MRI(磁共振成像)是诊断脑干海绵状血管瘤及其出血情况的重要影像学手段。在脑干海绵状血管瘤...
脑干海绵状血管瘤二次出血要立马手术吗?手术难做吗?脑干海绵状血管瘤二次出血是否需要立即手术,取决于多个因素,包括出血的严重程度、患者的具体...
脑干海绵状血管瘤二次出血还能生存多长时间?能保守治疗吗?脑干海绵状血管瘤二次出血后的生存期是一个复杂且高度个体化的问题,受到多种因素的影响...
脑干海绵状血管瘤为什么会二次出血?出血量会越来越大吗?脑干海绵状血管瘤是一种血管发育异常,表现为血管壁较薄且缺乏弹性,容易破裂出血。这种类...
脑干海绵状血管瘤手术指征是什么?手术风险大吗?脑干海绵状血管瘤是一种相对罕见的血管畸形,它由许多充满血液的小血管组成,通常位于脑干内。脑干...
【二次出血病危的脑干海绵状血管瘤案例】2021年5月13 日,中德专家合作咨询、密切配合之下,一例高难度脑干延髓海绵状血管瘤全切手术在无锡二人民医...
【脑海绵状血管瘤案例】延髓海绵状血管瘤二次出血,被判“死刑”,手术全切后“起死回生”“国内找了好多家大医院的专家,都叫我保守治疗。本来都...
严女士罹患高位颈髓海绵状血管瘤,病变深藏在高位颈髓腹侧且压迫脑干。三次出血,部分脑干组织已经受损。面对严女士这个让国内很多大医院专家告知...
【脑干海绵状血管瘤出血案例】黄女士,年龄50+岁,肢体无力、面部麻木、构音障碍,10多年脑干海绵状血管瘤病史,共发生5次脑干出血。3度因出血引起生...
INC国际神经外科顾问团之德国Helmut Bertalanffy(巴特朗菲)教授倾20多年心力在手术禁区上的脑干海绵状血管瘤得到了的临床效果,小小的脑干上,根据肿瘤...
脑海绵状血管瘤( 海绵状血管瘤 )一直被认为是神经系统血管畸形的主要病理类型之一。由于在血管造影上未见异常的血管分布,海绵状血管瘤已被列入神秘...
脑干海绵状血管瘤案例:在广天下的爸爸妈妈心里,看着自家的孩子平安健康长大成人,可以说已经是莫大的幸福和成就了。可对于刚满2岁的伊伊的父母来...
【脑干海绵状血管瘤手术案例】脑干海绵状血管瘤生长于脑干,其特点是反复出血,对人体影响大,甚至可能危及生命。一般没有出血的可以观察,只要有...
脑干海绵状血管瘤手术难在哪?顺利全切后能恢复成哪样? 孩子就像是父母们的甜蜜负担,他们需要更多关注和呵护,也从不吝向父母表达感恩爱意。5岁...
脑干肿瘤能治好吗?正在波兰大学修读博士的30岁的男士贝利,1年前自疲乏、头痛、肢体无力,本以为是学业压力所致,不料肢体无力却越来越明显。意外...
【脑干海绵状血管瘤案例】INC德国巴特朗菲教授手术全切中脑海绵状血管瘤一例。一场突如其来的脑干出血打破了20岁大学生Maritta原本平静快乐的生活。本...
【脑干海绵状血管瘤案例】33岁男性,突发肢体无力、面瘫3周,意大利当地医院诊断为脑干胶质瘤,患者被告知go home,lay down,do nothing,you will die in 10 days(原...
【颈髓-脑干血管病变德国全切案例】疫情之下,又一位中国疑难脑瘤患者远赴德国INI成功手术! 面对这个让国内很多大医院专家告诉手术风险很高,无法...
【脑干海绵状血管瘤案例】深入“禁区”,INC巴教授脑干桥脑海绵状血管瘤顺利全切手术纪实...
脑海绵状血管瘤,有必要手术吗?为了诊断对于海绵状血管瘤,主要使用磁共振成像,其中这些病变显示典型的“爆米花”外观,低信号周围有晕圈。我们...
脑海绵状血管瘤 是一种血管造影隐匿性病变,以单层内皮覆盖,取代邻近的脑组织。海绵状血管瘤在一般人群中的患病率估计为0.4-0.5%,临床表现为各种体...
脑干海绵状血管瘤出血怎么办?由于现代医学引入了MRI诊断海绵状血管瘤,发现了更多病例,以脑桥、后颅窝、脑干部位多见,占10%~23%。那么,脑干海绵状...
脑干海绵状血管瘤案例,花样少女学霸突患脑干肿瘤,INC国际德国巴特朗菲教授成功手术案例纪实...
患者的临床表现和病变部位以及对治疗效果的预期是决定海绵状血管瘤较佳治疗方案的重要因素。随着诊断工具和临床经验的提高,以及微创显微外科技术...
人到中年,家庭圆满和睦,事业小有成就。然而,生活总会时不时地跟我们开玩笑。对于40多岁外企高管张先生来说,这个玩笑甚至是致命性的。 致命的脑...
【脑干海绵状血管瘤案例】“定时炸弹”是众多脑干海绵状血管瘤及血管畸形病友们对病灶的统一称呼,因为病灶就像定时炸弹一般,不知道何时引爆,可...
脑干海绵状血管瘤较多见于脑桥,其次为中脑、中脑桥、延髓。在脑干内生型病变中,海绵状血管瘤是适合手木切除的病变。它们在组织学上属良性,不含...
脑干海绵状血管瘤案例:脑干CCM手术从简单的概念开始,如“两点法”来选择较佳的手术方法复杂颅骨基地曝光肿瘤和动脉瘤的发展是适应的病理CCMs(图2...
脑海绵状血管瘤无症状或者偶然发现,需要手术吗?脑海绵状血管瘤常会因非特异性或无关症状而做影像学检查时被发现(图1)。对于无症状的脑干海绵状血...
【脑干海绵状血管瘤案例】对于脑干海绵状血管瘤,治疗上应合理选择手术入路尽可能地顺利全切病灶,将出血风险降到较低,这是治疗取得成功的关键。...
脑干海绵状血管瘤已经渗血保守治疗可以吗?这颗不定时炸弹真的会一直老老实实吗?脑海绵状血管瘤(CCM)是异常大的低流量血管集合。中枢神经系统的...
脑干海绵状血管瘤手术费30万 脑干海绵状血管瘤手术费30万是有可能的,脑干海绵状血管瘤手术费用不同地区收费标题不一样,国内大部分医院手术费大概...
原发性脑干出血(PBSH)是脑出血较致命的亚型,起病急骤,致残、致死率较高,对现存治疗手段构成挑战。由于缺乏相关循证医学研究,国内外均没有相关...
霍恩等人对我们了解海绵状血管瘤的自然历史做出了重要的贡献,为长期以来的怀疑提供了有力的证据,即脑干位置和出血性病变预示着更积较的临床进程...
黄女士,年龄50+岁,肢体无力、面部麻木、构音障碍,脑干海绵状血管瘤患者,共发生6次脑干出血。曾因出血引起生命垂危入住ICU治疗60多天,差点选择放...
脑干海绵状血管瘤严重吗?怎么治疗好?那么如何提高脑干海绵状血管瘤生存期呢?而显微外科手术借助于手术显微镜的放大,再结合神经导航、术中MRI、术中...
问:头部脑干中海绵状血管瘤会有些什么症状? 答: 头部脑干中 海绵状血管瘤 会有些什么症状?可能存在脑海绵状血管畸形而没有明显的症状。任何症状...
脑瘤治疗堪比一个战场,对于患者而言,这是一个多么陌生让人恐慌无助需要拼死一搏的战场,而对INC德国巴特朗菲教授来说,这已是他奋战了30多年、取...
【脑海绵状血管瘤手术案例】INC德国巴特朗菲教授脑干肿瘤全切手术案例,天真活泼的4岁小Liliya是L夫妇一家的掌上明珠,活泼顽皮的她在幼儿园总是能让...
指征二:肿瘤内出血及引起神经功能障碍,特别是影像学检查明确有两次及以上出血有出血史的BCMs,病灶更易发生再出血、反复出血,从而导致病灶不断增...
脑干海绵状血管瘤严重吗?脑海绵状血管瘤如何治疗好?那么如何提高脑干海绵状血管瘤生存期呢?而对于脑干海绵状血管瘤的治疗手术是主要手段,其中手术...
海绵状畸形(CMs)是中枢神经系统的血管造影性隐匿,低流量血管畸形。它们占全部血管畸形的8-20%。6-7岁患者的出血率可达6%...
INC国际专家疑难手术案例:5岁的阳阳活泼好动,是幼儿园里的小明星。任谁也想不到,就在一年前,他曾被医生告知病情危重,需要在ICU留待观察,这,都...
海绵状血管瘤是指形状类似海绵状异常血管团,其中充满血液的小气泡(或洞穴)使它们看起来像浆果。它们的尺寸范围可从细胞到几英寸大小,大约每200人...
早期没什么症状,直到25岁的晓欣在一次意外中脑部受伤做头颅检查才发现,自己出现了脑出血,且脑干部位长了一团 爆米花样的肿瘤,据医生说这是脑干...
问:脑干海绵状血管瘤可以用微创手术治疗吗? 答: 脑干区域密集排列着颅神经的核团和肢体与大脑联系的上下传导束,且拥有心血管中枢和呼吸中枢,...
Q:脑干海绵状血管瘤能手术吗? A:脑干的海绵状血管瘤可以手术。尽管脑干位于一个关键的区域,但它是我们大脑中关键的部分,对许多功能都很重要,例...
海绵状血管瘤是在不同的进化阶段,血管内皮排列的正弦通道。这些通道缺乏加强弹性蛋白或平滑肌层,直接相互连接而不干预神经实质。除了已知的致痫...
脑海绵状血管瘤 是指长在脑内的血管畸形,其中脑干部位的海绵状血管瘤是位置较深、手术难度较大的 颅内海绵状血管瘤 ,年出血率为4.6%,再出血间隔为...
脑干海绵状血管瘤长在人体大脑重要中枢脑干中,脑干的功能主要是维持个体生命,包括心跳、呼吸、消化、体温、睡眠等重要生理功能,均与脑干的功能...
链接/Links: 北京天坛医院 | 首都医科大学宣武医院 | 复旦大学华山医院神经外科 | 脑胶质瘤 | 脑海绵状血管瘤 |