脑海绵状血管瘤常会因非特异性或无关症状而做影像学检查时被发现(图1)。头痛可能反映病灶的隐匿性出血。无临床出血史患者的年出血率在0.39%~0.6%。这个发生率比动静脉畸形出血的比例低。CM的一开始出血很少危及生命,但常常引起明显症状。患者可能会完全恢复,但也可能恢复不完全。如单纯从预防出血角度进行治疗,应充分考虑影响出血的危险因素及其后果。一个重要因素是患者年龄,根据每年的出血概率统计累积后,年轻患者出血风险在其生存期内较高;另一个因素为性别,多项研究表明,女性发生出血的机会较大,是在孕期,但其他研究没有支持这种观点。

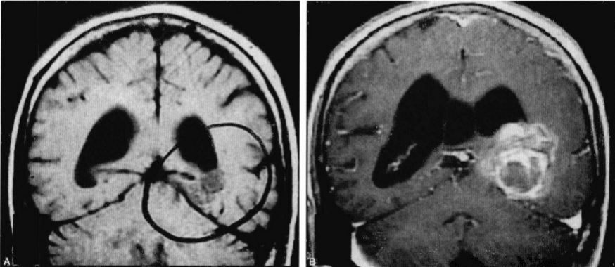
图1:此患者一直以来随访一个左侧题枕内侧的海绵状血管瘤。有头痛但无其他不同症状。(A)原来的MRI扫描发现一个2cm大小的病灶,无新近出血的证据。(B)在随访中,病灶内出血增大。钆增强冠状位MR扫描发现一在颞枕内侧面一有分割的出血性病灶,在侧脑室体部的下方,伴有脑积水。此患者予以行脑室-腹腔分流及通过颞下沟行病灶切除
病灶部位是另一个需考虑的因素。幕上海绵状血管瘤占75%~88%,与幕下病灶相比,其临床大量出血的风险较小。在某些部位出血可导致严重后果,但在其他部位则不会。中央区,语言区、距状皮层,内囊或丘脑等部位的病灶少量出血即可有明显症状,靠近皮层的病灶可明显增大或出现病灶外出血,但临床症状轻微,甚至没有。患者及医生很少能觉察到CM出血对记忆或脑思维功能的逐步影响。
在位于重要部位病灶的处理上,对其风险/受益的考虑也是不同的。虽然出血的后果更为严重,但是外科手术所带来的风险更大。因此,尽管切除病灶所带来的收益也是很大的,但功能区病灶外科治疗的标准则更高。患者知道自己患有可能会出血的病灶后的心理负担、对其神经系统的状态、就业及家庭生活的影响也是需要考虑的因素。严重头痛或轻微的心理改变常引起患者的焦虑,从而需要经常的临床评估与影像学检查。
现代外科方法对切除表浅实质性病灶很少有并发症,且麻醉也较少有死亡风险。因此,尽管病灶位于功能区皮层,对年轻、无症状患者,建议手术切除可达部位的病灶。对于到达较困难的无症状病灶,手术治疗的标准则较高。年轻患者可选择接受有较的手术治疗,从而确实避免将来不可预料的严重出血,此类出血可引起灾难性后果。如不选择手术,患者需每年或症状出现时行MRI随访。如海绵状血管瘤有增大或出血,应建议患者考虑切除病灶。
如果海绵状血管瘤生长在脑干,需要手术吗?
当病灶出现以下情况时适合手术治疗:病灶到达软膜的表面,反复出血伴有进行性的神经功能障碍,病灶包膜外急性出血表现,或大的病灶内的出血引起明显压迫效应的。
一般我们仅切除这个部位的外生性病灶。在四脑室的底部,我们建议即使在组织较薄处也要避免切开髓膜。较好在T1加权MR上确认边缘的厚度。在们加权上已经明显达到软膜边缘的病灶可以考虑手术切除。
合并严重疾病的病人不宜进行外科手术治疗,有过一次出血史的软脑膜表面的病灶也不宜手术我们的经验是这些病人可以保守治疗进行随访,直至出现另一次出血特别是当四脑室较薄的边缘需被横切时,这条原则特别适用。如果病人在另一次出血后发展为固定性的神经功能障碍应进行手术治疗。如果症状自然完全缓解的话,继续保守治疗仍是合理的选择。特别是在年轻病人中,这种病灶通常会再出血并达到软脑膜表面。一且病人出现反复出血的话,他们可能会接受脑干手术的较大风险。
为了更方便的去除急性期血肿我们通常会等待3-5天使血肿液化。如果病人的症状急剧恶化需要急症手术以便对脑干减压。急性血肿常与周围组织粘连,即便血肿已经液化或结块,对周围脑实质的处理仍较亚急性的血肿需要进行更多的操作。
INC德国巴特朗菲教授认为,脑干海绵状血管瘤手术治疗原则为尽可能全切除病变以及尽可能地保护正常脑干组织,为此,根据肿瘤生长的具体位置和形态特点选择正确的手术入路及顺利的脑干安,全区切口的选择以及恰当的手术技巧、手术辅助设施的应用尤为重要。巴特朗菲教授的脑干海绵状血管瘤临床病例资料及发布的论文、专著整理总结中,囊括了231例的中脑、脑桥、延髓海绵状血管瘤的影像学特点、手术时机及入路选择、总体临床效果,其中208例(90%)术后恢复良好以上。

巴教授对这些病例的手术切除肿瘤临床结果
为获得脑干海绵状血管瘤手术的理想结果,外科医生需对全部的选择,涉及的解剖和疾病的自然史熟悉。没有其他方法可以替代深入的研究、颅底实验室解剖实践以及术者的经验。对于无症状的脑干海绵状血管瘤和单次发作并没有导致严重后果的出血病人施行保守治疗是恰当的。当病人出现反复出血或进行性的神经功能障碍时需考虑外科手术治疗,特别是当病灶邻近软脑膜表面时。
INC德国巴特朗菲教授脑干海绵状血管瘤案例:
1、7岁男童持续头疼竟被确诊脑干海绵状血管瘤,不远万里赴德手术全切,现在恢复成这样!
相关参考资料:Youmans Neurological surgery
- 文章标题:脑海绵状血管瘤无症状或者偶然发现,需要手术吗?
- 更新时间:2021-03-17 15:48:14
400-029-0925




