
导读 儿童脑瘤开颅后恢复快吗?其实儿童开颅手术的恢复能力远远大于成人。脑部根据不同的部位,有着不同的功能。如果肿瘤压迫特定功能区,可能会出现运动障碍、视力下降等症状。但是...

儿童颅咽管瘤的治疗目标到底是追求全切还是功能保留?目前医学界的普遍看法是,应该更侧重于患儿的生活质量而非肿瘤的根治性切除,因此,通常会建议次全切除加放疗的治疗模式,从而避...

视力下降,反复头痛 发育迟缓,长不高,冻龄童颜 警惕颅咽管瘤这个隐形杀手! 脑肿瘤的临床表现复杂多样。除常见的头痛、恶心呕吐、走路不稳、肢体麻木、视力下降等典型症状外,部分患...

如果孩子突然开始消瘦,原本活泼的身影变得疲惫不堪,甚至在短短一个月内停止了长高,那种揪心的感觉,足以击垮任何一个家庭。对于7岁男孩小宇的妈妈来说,那段时间天空是灰色的。孩...

早在20世纪90年代,神经外科学奠基人Harvey Cushing即将颅咽管瘤定性为最可怕的颅内肿瘤。尽管其病理分级仅为WHO I级,发病率亦低于垂体腺瘤,然而病理分级的低度恶性并不等同于临床处置的低...

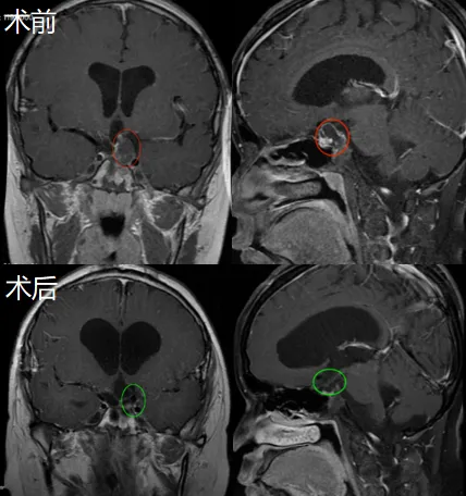
一次意外的摔倒,让7岁的小迪意外发现颅内存在肿瘤,疑为颅咽管瘤。而更让家人揪心的是,这个需要接受高难度开颅手术的孩子,竟还拥有极为罕见的Rh阴性熊猫血。 熊猫血型又叫Rh阴性血,...

颅咽管瘤作为儿童常见的颅内先天性肿瘤之一,它的治疗可能会引发多种并发症,手术可能因直接组织操作或缺血而损伤神经结构,放疗则可能引起放射性坏死或血管病变。手术的成功只是小儿...

在儿童神经外科领域,造釉细胞瘤性颅咽管瘤(AC)是个特殊的狠角色它虽被归为低级别恶性肿瘤,却因紧邻视路、垂体、下丘脑等关键结构,让治疗陷入两难:彻底切除可能导致终身内分泌紊...

作为小儿神经外科领域的国际大咖,INC旗下世界神经外科顾问团成员James T.Rutka教授早在2008年的《Initial Management of Childhood Brain Tumors:Neurosurgical Considerations》论文中综述了颅咽管瘤的治疗及预后进...

鲁特卡教授2026来华行程更新 1月24日 开展面对面咨询及手术交流 说起颅咽管瘤,很多人都会认为这是一种不好对付的良性脑瘤,堪称「天使中的魔鬼」。它具有侵袭性、极易复发、需终身随访...