(爱恩希)INC国际-国内中文
(爱恩希)INC国际
联系INC
寻求咨询意见
(爱恩希)INC国际咨询电话400-029-0925

生存期

INC——国内外神经外科学术交流平台

INC > > 生存期
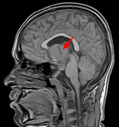
  • INC大咖研究 | 儿童罕见造釉细胞瘤性颅咽管瘤的治疗进展:从「切干净」到「活得好」

    INC大咖研究 | 儿童罕见造釉细胞瘤性颅咽管瘤的治疗进展:从「切干净」到「活得好」

    2026-01-23 09:42:27

    在儿童神经外科领域,造釉细胞瘤性颅咽管瘤(AC)是个特殊的狠角色它虽被归为低级别恶性肿瘤,却因紧邻视路、垂体、下丘脑等关键结构,让治疗陷入...

  • 摆脱脑瘤的1年、5年、8年……这个男孩的生存记录还在刷新!

    摆脱脑瘤的1年、5年、8年……这个男孩的生存记录还在刷新!

    2025-09-23 11:20:11

    这是摆脱颅咽管瘤的第9年,我几乎快要忘却曾经那段忐忑黑暗的日子了,完全沉浸在即将参加成年礼的喜悦中即将18岁的小易在日记中这样写道,此时距离...

  • 儿童颅咽管瘤复发率、存活率和治疗费用

    儿童颅咽管瘤复发率、存活率和治疗费用

    2025-04-28 15:02:59

    儿童颅咽管瘤是一种罕见但复杂的脑肿瘤,常见于儿童和青少年。当考虑颅咽管瘤的复发率、存活率和治疗费用时,患者和家属往往会有诸多疑问。本文将...

  • 颅咽管瘤伴随脑积水能活多久?

    颅咽管瘤伴随脑积水能活多久?

    2025-04-09 18:10:45

    颅咽管瘤伴随脑积水虽然病情严重,但通过及时、规范的治疗和精心的护理,以及患者和家属的积极配合,许多患者的寿命可以得到显著延长,生活质量也...

  • 21岁颅咽管瘤能活多久?术后无力怎么办?

    21岁颅咽管瘤能活多久?术后无力怎么办?

    2025-04-09 02:21:15

    21岁颅咽管瘤患者的生存预期显著改善,但需重视术后无力的多因素分析。通过规范治疗、密切随访及综合支持,多数患者可实现长期高质量生存。建议与...

  • 颅咽管瘤能活多久?手术切除率与延长生存期相关

    颅咽管瘤能活多久?手术切除率与延长生存期相关

    2020-03-19 20:36:35

    颅咽管瘤 是一种少见的中枢神经系统(CNS)良性肿瘤,被认为是由脑垂体附近的Rathkes囊残余形成。它们占全部原发性中枢神经系统肿瘤的不到1%,但却是儿童...

  • 儿童颅咽管瘤寿命?手术全切有望治愈颅咽管瘤

    儿童颅咽管瘤寿命?手术全切有望治愈颅咽管瘤

    2020-01-23 22:25:02

    颅咽管瘤是一种来源于胚胎残余组织的良性肿瘤,颅咽管瘤约占儿童全部脑瘤的6%。任何年龄的人都有可能被诊断为颅咽管瘤,但在5到14岁之间较容易被诊...

  • 【颅咽管瘤】颅咽管瘤能活多久?

    【颅咽管瘤】颅咽管瘤能活多久?

    2020-01-31 16:40:44

    颅咽管瘤能活多久? 颅咽管瘤患者生存率良好;90%的患者在诊断后仍然存活10年(Ullrich等,2005)。然而,颅咽管瘤患者更关心预后、生活质量。 Duff等人(2000...

  • 颅咽管瘤能活多久?

    颅咽管瘤能活多久?

    2020-01-22 12:17:15

    颅咽管瘤 由Zenker于1857年一次发现,是一种主要影响儿童的脑肿瘤。它是一种生长缓慢的良性肿瘤,具有转移能力并产生类似于恶性肿瘤的症状的能力。这...

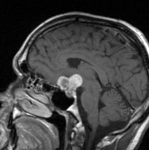
  • 一文读懂颅咽管瘤生存期

    一文读懂颅咽管瘤生存期

    2021-04-25 09:56:28

    如果肿瘤很大,会导致垂体附近的其他神经或动脉受压,是将眼睛与大脑连接的视神经。颅咽管瘤本身不是垂体瘤,而是在垂体腺附近及其上方,在将眼睛...

  • 颅咽管瘤能活多久?颅咽管瘤手术成功率高不高?

    颅咽管瘤能活多久?颅咽管瘤手术成功率高不高?

    2020-10-06 14:58:30

    颅咽管瘤能活多久?颅咽管瘤是在儿童或成年期期间诊断出的少见鞍区肿瘤,多发生在分泌多种激素的垂体附近...

  • 头晕呕吐、过度肥胖,得了颅咽管瘤能活多久?

    头晕呕吐、过度肥胖,得了颅咽管瘤能活多久?

    2020-08-24 17:48:54

    由于颅咽管瘤与垂体位置很近,因此颅咽管瘤不仅会造成头晕恶心和视力下降,还会造成激素缺陷,因此应当尽早治疗...

  • 如何治疗颅咽管瘤才能使患者长期生存?

    如何治疗颅咽管瘤才能使患者长期生存?

    2021-04-13 10:17:44

    颅咽管瘤是一种良性肿瘤,通常采用手术和放疗两种治疗方法,其5年无进展生存率(PFS)超过90%...

  • 颅咽管瘤不手术可活多久?

    颅咽管瘤不手术可活多久?

    2021-05-17 15:25:04

    颅咽管瘤是一种中枢神经系统(CNS)肿瘤。中枢神经系统肿瘤可能是癌性的也可能是良性的。颅咽管瘤被认为是一种良性肿瘤,这意味着它通常生长缓慢并...

  • 我家孩子得了颅咽管瘤,想了解下颅咽管瘤能活多久?

    我家孩子得了颅咽管瘤,想了解下颅咽管瘤能活多久?

    2020-01-20 17:53:30

    Q:我家孩子10岁,刚查出得了颅咽管瘤,这种颅咽管瘤能活多久?怎么治疗比较好?后期能回归正常生活吗? A:颅咽管瘤能活多久? 首先需要来了解下什...

  • 颅咽管瘤术后较长寿命,颅咽管瘤术后生存期

    颅咽管瘤术后较长寿命,颅咽管瘤术后生存期

    2022-12-13 12:57:05

    颅咽管瘤术后较长寿命 颅咽管瘤术后较长寿命一般为5-10年,但具体时间不能一概而论,主要是因为每个患者的病情程度和体质不同,所以寿命会有的差异...

  • 颅咽管瘤术后能活多久?

    颅咽管瘤术后能活多久?

    2020-08-26 15:11:21

    颅咽管瘤会压迫脑内组织如垂体、下丘脑、视神经等,进而造成患者头晕头痛、恶心呕吐、视力下降以及激素分泌紊乱等症状,颅咽管瘤术后能活多久取决...

  • 颅咽管瘤寿命多长:颅咽管瘤能活多久?

    颅咽管瘤寿命多长:颅咽管瘤能活多久?

    2022-03-04 17:28:12

    颅咽管瘤通常对神经外科医生来说是一个的挑战,因为它们侵入周围神经结构,即下丘脑、垂体和视觉器官的位置和程度,使得全切除(GTR)很困难,导致高...

  • 颅咽管瘤能活多久?颅咽管瘤的治疗方法一览

    颅咽管瘤能活多久?颅咽管瘤的治疗方法一览

    2022-04-04 13:27:01

    颅咽管瘤能活多久?首先来了解一下什么是颅咽管瘤,事实上,这是一种位于鞍区或鞍旁区的生长缓慢的中枢神经系统良性肿瘤。颅咽管瘤可从垂体-下丘脑...

  • 颅咽管瘤是良性还是恶性?20年生存率约60%

    颅咽管瘤是良性还是恶性?20年生存率约60%

    2022-06-21 21:15:15

    颅咽管瘤是恶性肿瘤吗?颅咽管瘤是一种少见的良性脑瘤,通常发生在脑下垂体上方,很少扩散到大脑的其他部分。颅咽管瘤被认为是来自发育(胚胎)组织...

  • 颅咽管瘤术后活了60年

    颅咽管瘤术后活了60年

    2023-09-14 10:43:43

    颅咽管瘤术后活了60年要注意这6点,颅咽管瘤是一种少见的颅底肿瘤,手术切除后,患者需要进行术后维护和随访,以确保长期的存活和良好的生活质量。...

  • 儿童颅咽管瘤术后寿命,得了颅咽管瘤寿命有多长?

    儿童颅咽管瘤术后寿命,得了颅咽管瘤寿命有多长?

    2022-11-29 15:58:28

    颅咽管瘤是一种良性先天性肿瘤,起源于胚胎期细胞。所谓颅咽管,是通过这种颅咽管在胚胎期脑腔和口腔连接的。 孩子出生后,颅咽管闭合,但颅咽管残...

  • 颅咽管瘤复发还能活多久?颅咽管瘤手术后能活多久?

    颅咽管瘤复发还能活多久?颅咽管瘤手术后能活多久?

    2022-11-29 14:37:16

    颅咽管瘤复发还能活多久? 颅咽管瘤复发,具体能活多久通常无法评估,因为颅咽管瘤复发不危及生命。患者的生存时间和年龄、身体体质和病情的严重程...

  • 颅咽管瘤术后影响寿命吗?颅咽管瘤全切寿命

    颅咽管瘤术后影响寿命吗?颅咽管瘤全切寿命

    2022-11-29 15:54:24

    颅咽管瘤是一种常见的先天性良性肿瘤,但不是遗传性肿瘤在WHO分级中为Ⅰ等级是较良性的肿瘤。颅咽管瘤的来源是残余组织Rathkes囊,Rathkes囊是胚胎发育...

  • 鞍区颅咽管瘤还能活多久啊?鞍区颅咽管瘤生存期

    鞍区颅咽管瘤还能活多久啊?鞍区颅咽管瘤生存期

    2022-11-22 16:10:48

    颅咽管瘤通常是一种良性肿瘤,主要是由牙釉质引起的。在早期,一般不太明显,生长速度相对较慢,可能在一到两年后引起头痛症状,可通过影像学和实...

  • 颅咽管瘤不手术可活多久?颅咽管瘤手术后过几关

    颅咽管瘤不手术可活多久?颅咽管瘤手术后过几关

    2022-11-22 15:28:01

    颅咽管瘤是什么?不同解剖部位的颅咽管瘤可以是囊性、实性或囊性,有些肿瘤可能有一些钙化。 颅咽管瘤发生的主要部位是鞍区,也可以在鞍区、鞍区、...

  • 颅咽管瘤不做手术能活多久?颅咽管瘤能活多久?

    颅咽管瘤不做手术能活多久?颅咽管瘤能活多久?

    2022-11-29 14:51:23

    颅咽管瘤不做手术能活多久? 颅咽管瘤的预后很大水平上取决于肿瘤的大小和位置,成人无进展生存率在5年左右为71.7年时为63%.6%。直接手术切除术是治疗...

  • 儿童颅咽管瘤寿命,颅咽管瘤术后寿命

    儿童颅咽管瘤寿命,颅咽管瘤术后寿命

    2022-11-29 15:47:40

    儿童颅咽管瘤寿命 儿童颅咽管瘤的及时治疗不会影响使用寿命。颅咽管瘤是颅内良性肿瘤,可通过手术切除。手术后一般不会复发,可能是先天性肿瘤或脑...

  • 儿童颅咽管瘤能活多久?成人颅咽管瘤能活多久?

    儿童颅咽管瘤能活多久?成人颅咽管瘤能活多久?

    2022-11-29 14:46:31

    儿童颅咽管瘤能活多久? 颅咽管瘤与其他肿瘤相似,有的不可控性,所以不能判断具体能活多久,因为影响因素太多,如儿童年龄、儿童身体状况、恢复程...

  • 鞍上占位颅咽管瘤寿命,颅咽管瘤影响寿命吗

    鞍上占位颅咽管瘤寿命,颅咽管瘤影响寿命吗

    2022-11-29 15:28:51

    颅咽管瘤是从胚胎期颅咽管残余组织发生的良性先天性肿瘤。颅咽管瘤的发病率约占颅内肿瘤的4%。但它是儿童中较常见的先天性肿瘤,在鞍区肿瘤中一。...

  • 颅咽管瘤不治疗能活多久?颅咽管瘤能活多久?

    颅咽管瘤不治疗能活多久?颅咽管瘤能活多久?

    2022-11-29 14:54:44

    颅咽管瘤不治疗能活多久? 颅咽管瘤发病隐匿,生长缓慢,不做手术可活5~10年左右,儿童患者生存期较长。 颅咽管瘤能活多久取决于患者的身体素质和病...

  • 乳头型颅咽管瘤手术难度大,乳头型颅咽管瘤寿命能跟正常人一样吗?

    乳头型颅咽管瘤手术难度大,乳头型颅咽管瘤寿命能跟正常人一样吗?

    2022-12-12 17:16:09

    乳头型颅咽管瘤手术难度大 颅咽管瘤手术的风险不仅是老百姓关注的问题,也是医生特别关注的问题。由于颅咽管瘤需争取一开始镜下全切,尽可能全切,...

  • 颅咽管瘤开颅三次能活多久?

    颅咽管瘤开颅三次能活多久?

    2024-01-15 18:54:06

    颅咽管瘤开颅三次能活多久?颅咽管瘤通常为一种良性肿瘤,发生在颅咽管的残留组织上,这种肿瘤生长在颅底鞍区,可能会对周围的神经和血管造成压迫...

  • 鞍区颅咽管瘤生存期,鞍区颅咽管瘤活多久

    鞍区颅咽管瘤生存期,鞍区颅咽管瘤活多久

    2022-11-29 14:31:59

    鞍区颅咽管瘤生存期 颅咽管瘤的存活期约为5至10年。颅咽管瘤是颅内良性管瘤,主要及时治疗可合适延缓使用寿命。早期可以用药物治疗,中晚期颅咽管瘤...

  • 儿童颅咽管瘤术后较长寿命,颅咽管瘤复发了不治疗还能活多久?

    儿童颅咽管瘤术后较长寿命,颅咽管瘤复发了不治疗还能活多久?

    2022-11-29 16:03:31

    儿童颅咽管瘤术后较长寿命 颅咽管瘤是一种良性肿瘤。经过根治性手术,可以完全切除。手术期结束后,没有严重的并发症。用相应的激素代替肿瘤,患者...

  • 颅咽管瘤术后寿命40年几率大吗

    颅咽管瘤术后寿命40年几率大吗

    2023-09-14 11:01:14

    颅咽管瘤术后寿命40年几率大吗?颅咽管瘤是一种少见的神经外科疾病,手术后的预后和患者的个人情况密切相关。无法给出确切的数字,但是根据当前的...

  • 颅咽管瘤十年存活率?十年后会复发吗?

    颅咽管瘤十年存活率?十年后会复发吗?

    2023-09-14 11:32:30

    颅咽管瘤十年存活率?十年后会复发吗?颅咽管瘤是一种少见的颅底肿瘤,起源于胚胎期的颅咽管残余。对于颅咽管瘤的存活率和复发情况,有一些研究数...

  • 颅咽管瘤保守治疗可活多久?

    颅咽管瘤保守治疗可活多久?

    2024-02-01 17:33:39

    颅咽管瘤保守治疗可活多久?颅咽管瘤是一种少见的肿瘤,通常发生在儿童和青少年身上,但也可能影响成年人。这种肿瘤通常生长缓慢,并且大部分是良...

  • 老年颅咽管瘤存活率?

    老年颅咽管瘤存活率?

    2024-02-05 19:15:03

    老年颅咽管瘤存活率?老年颅咽管瘤起源于垂体细胞。颅咽管瘤可以是良性的,但也有的恶性潜力。老年人群中颅咽管瘤的发病率较低,但随着年龄的增长...

  • 鞍区颅咽管瘤还能活多久啊?颅咽管瘤能活多久?

    鞍区颅咽管瘤还能活多久啊?颅咽管瘤能活多久?

    2022-11-29 14:30:08

    鞍区颅咽管瘤还能活多久啊? 鞍区颅咽管瘤是颅内良性肿瘤。它来自胚胎期残留的鳞状上皮细胞。肿瘤大多位于鞍区。由于鞍区相邻,脑组织重要。颅咽管...

  • 儿童颅咽管瘤术后能活多少年?

    儿童颅咽管瘤术后能活多少年?

    2024-04-23 18:39:41

    儿童颅咽管瘤术后能活多少年?儿童颅咽管瘤术后能活多少年是一个复杂的问题,无法简单地给出一个确定的答案。这是因为每个患儿的身体状况、病情严重...

  • 颅咽管瘤影响生命吗?有后遗症吗?

    颅咽管瘤影响生命吗?有后遗症吗?

    2023-09-14 11:48:18

    颅咽管瘤影响生命吗?有后遗症吗?颅咽管瘤是一种少见的颅内肿瘤,它通常发生在胚胎期的颅咽管残余组织中。该肿瘤的位置和生长特性使得它对周围结...

  • 颅咽管瘤手术要开颅吗?能活多久?

    颅咽管瘤手术要开颅吗?能活多久?

    2024-04-29 13:18:27

    颅咽管瘤手术要开颅吗?能活多久?颅咽管瘤是一种起源于颅咽管上皮残余细胞的肿瘤,多发生在儿童,但也可见于成人。这种肿瘤位于颅底部,可能压迫周...

  • 颅咽管瘤5厘米无法手术能活多久?

    颅咽管瘤5厘米无法手术能活多久?

    2024-03-12 17:21:55

    颅咽管瘤5厘米无法手术能活多久?颅咽管瘤5厘米如果无法手术,生存期的长短会受到很多因素的影响,包括但不限于肿瘤的生长速度、对周围结构的侵犯...

  • 颅咽管瘤不治疗能活多久?

    颅咽管瘤不治疗能活多久?

    2024-04-18 17:07:30

    颅咽管瘤不治疗能活多久? 颅咽管瘤不治疗能活多久是一个复杂的问题,它涉及许多因素,如肿瘤的大小、生长速度、位置以及患者的年龄、整体健康状况...

  • 做过颅咽管瘤手术的人能活多久?

    做过颅咽管瘤手术的人能活多久?

    2024-04-10 18:34:24

    做过颅咽管瘤手术的人能活多久?颅咽管瘤是一种较为少见的良性肿瘤,多发生于脑下部的颅咽管区域。手术是治疗颅咽管瘤的主要方法。患者术后能活多久...

  • 颅咽管瘤3cm能活多久

    颅咽管瘤3cm能活多久

    2023-09-14 13:37:48

    颅咽管瘤3cm能活多久?颅咽管瘤是一种少见的肿瘤,通常起源于咽鳞管的残留组织。评估一个人患有3cm颅咽管瘤能够活多久是困难的。颅咽管瘤的生存率取...

  • 颅咽管瘤手术后复发后能活多久?

    颅咽管瘤手术后复发后能活多久?

    2024-03-27 18:27:36

    颅咽管瘤手术后复发后能活多久?颅咽管瘤手术后复发后能活多久是一个复杂的问题,因为每个患者的具体情况都有所不同,无法一概而论。患者的生存时间...

  • 颅咽管瘤的预后及生存率?

    颅咽管瘤的预后及生存率?

    2024-02-06 16:35:44

    颅咽管瘤的预后及生存率?颅咽管瘤的预后及生存率因多种因素而异,包括肿瘤的大小、位置、是否能够完全切除、患者的年龄、健康状况以及治疗方式等...

  • 颅咽管瘤复发就活不长吗?

    颅咽管瘤复发就活不长吗?

    2025-01-09 15:09:32

    颅咽管瘤复发就活不长吗?颅咽管瘤复发并不意味着患者生存期就会很短,其生存期受到多种因素的综合影响,包括复发肿瘤的特征、治疗方式的选择和有效...

  • 颅咽管瘤活检能确诊吗?花多少钱能治好?

    颅咽管瘤活检能确诊吗?花多少钱能治好?

    2024-07-11 17:50:42

    颅咽管瘤活检能确诊吗?花多少钱能治好?颅咽管瘤是一种源自胚胎时期残留的细胞的良性肿瘤,常发生在儿童和年轻人中,但也可能在成年人中发现。这些...

  • 颅咽管瘤预后好不好?颅咽管瘤不治疗生存期

    颅咽管瘤预后好不好?颅咽管瘤不治疗生存期

    2022-12-13 13:39:27

    颅咽管瘤预后好不好 1、手术效果和预后。过去肿瘤手术切除率低,致死致残率高,复发率高。近30年来,微手术为保护正常脑组织、争取肿瘤全切除、减少...

  • 颅咽管瘤术后寿命有多长?

    颅咽管瘤术后寿命有多长?

    2023-12-23 15:50:38

    颅咽管瘤术后寿命有多长?颅咽管瘤是一种较为不同的颅内肿瘤,发生在颅咽管(也被称为Rathke囊)区域。由于颅咽管瘤的位置复杂,病情的严重程度和治...

  • 颅咽管瘤有不复发的吗能活多久

    颅咽管瘤有不复发的吗能活多久

    2024-05-16 14:09:14

    颅咽管瘤并非全部病例都会复发,部分病例经过适当的治疗和护理后可以保持长期不复发,与患者的生存期没有直接关系。 颅咽管瘤是一种潜在复发的肿瘤...

  • 颅咽管瘤复发了还能活多久?需要马上手术吗?

    颅咽管瘤复发了还能活多久?需要马上手术吗?

    2023-09-13 18:26:16

    颅咽管瘤复发了还能活多久?需要马上手术吗?颅咽管瘤是一种少见的中枢神经系统疾病,它是由于胚胎发育过程中颅咽管的残余组织异常生长而形成的。...

点击查看更多