颅咽管瘤术后内分泌紊乱严重吗?什么原因?颅咽管瘤是一种起源于胚胎期残留的颅咽管上皮细胞的良性肿瘤,通常位于鞍区,即大脑底部靠近垂体的位置。...
颅咽管瘤开颅手术后有后遗症吗?术后做什么康复训练?颅咽管瘤是一种起源于胚胎时期残留的上皮细胞的良性肿瘤,通常位于鞍区附近,即大脑底部靠近垂...
颅咽管瘤开颅手术后遗症严重吗?多久恢复好?颅咽管瘤开颅手术是一种复杂且高风险的神经外科手术,旨在尽可能安全地切除肿瘤,同时尽可能大限度地保...
颅咽管瘤术后用药要多久?会影响胎儿吗?颅咽管瘤手术后,患者通常需接受一系列的药物治疗,包括但不限于激素替代治疗、抗癫痫药、止痛药等,以管理...
颅咽管瘤手术后遗症有哪些?怎么解决?颅咽管瘤手术后遗症是患者和家属非常关心的问题,这些后遗症可能由手术过程中的多种因素引起,包括手术复杂性...
对于 颅咽管瘤 ,很多人可能并不陌生,这是一种常发于儿童的颅内肿瘤,是由颅咽管残余上皮生长的肿瘤。胚胎3周时,外胚叶首端腹侧的部分上皮向内凹...
虽然颅咽管瘤被认为是一种良性肿瘤,但其发病率和死亡率相当高,经常侵袭邻近的结构,包括蝶鞍、下丘脑、视神经和三脑室...
颅咽管瘤 术后为什么定期复查?一般的良性肿瘤只要通过手术全切,基本可以说是完全治好,术后不再复发。但颅咽管瘤通过临床观察,全切患者仍然存在...
颅咽管瘤是比较常见的良性肿瘤,占颅内肿瘤的2%~5%,在儿童中尤为常见,位居儿童颅内肿瘤的2位,约占儿童颅内肿瘤的5.6%~15%,占儿童鞍区肿瘤的54%。...
颅咽管瘤是儿童下丘脑和鞍上区较常见的病变,外胚叶形成的颅咽管残余的上皮细胞,发展起来的一种常见的胚胎残余组织肿瘤,是颅内较常见的先天性肿...
颅咽管瘤能完全根治吗?外科医生通常将肿瘤切除作为治疗的一步。据肿瘤的大小和位置,选择合适手术入路,那么术后复发了还要再做手术吗...
颅咽管瘤是由外胚叶形成的颅咽管残余的上皮细胞发展起来的1种比较常见的胚胎残余组织肿瘤,为脑内较比较常见的先天性肿瘤,特别注意是良性肿瘤啊。...
颅咽管瘤在大脑区域发展,周围有许多关键结构,包括视觉通路、垂体、下丘脑、颞叶、脑干和主要的脑血管。这种复杂的颅内环境对放射剂量的传递...
问:颅咽管瘤术后会不会复发? 答:颅咽管瘤复发率主要取决于肿瘤的切除率,儿童与成人之间无差异 (1)儿童颅咽管瘤复发的可能性 颅咽管瘤是一种少...
颅咽管瘤能完全根治吗?在颅咽管瘤累及其他脑组织的患者中,更佳治疗方法是保留下丘脑保护的手术策略,然后适当照射剂量以更大水平地减少复发和进...
颅咽管瘤手术后复发,此时应该重复手术还是放疗?复发性颅咽管瘤的治疗选择包括重复手术、放射治疗、放射外科和囊内治疗。我们报告了在1991年至20...
颅咽管瘤术后较长寿命 颅咽管瘤术后较长寿命一般为5-10年,但具体时间不能一概而论,主要是因为每个患者的病情程度和体质不同,所以寿命会有的差异...
颅咽管瘤会压迫脑内组织如垂体、下丘脑、视神经等,进而造成患者头晕头痛、恶心呕吐、视力下降以及激素分泌紊乱等症状,颅咽管瘤术后能活多久取决...
颅咽管瘤的治疗主要是手术治疗。随着显微神经外科技术的发展,颅咽管瘤的总手术切除率已超过90%,患者也获得了良好的预后。那么,颅咽管瘤术后要...
颅咽管瘤手术后的血管痉挛虽然很少见,但已有报道。关于可能的病因的假设,包括手术期间的大血管处理和肿瘤囊肿液体溢出,不能解释术后后期发生的...
颅咽管瘤约占全部脑瘤的6%,多发于儿童和中老年人,因此对其行颅咽管瘤切除术难度更高,因为颅咽管瘤术后并发症对他们的伤害往往更大...
颅咽管瘤(CP)是一种少见的鞍区和鞍旁区上皮性肿瘤,组织学级别较低(WHO级)。它们约占成人全部原发性颅内肿瘤的1%,占儿童的1.2-4%,是后者较常见的鞍区肿瘤...
12岁的果果安静地躺在病床上,从2012年开始,医院似乎已经成为他较熟悉的地方。先是患上颅咽管瘤进行了手术,可是术后不到两年就复发还出现了尿崩症...
颅咽管瘤是一种生长缓慢的肿瘤,由于治疗前后可能出现长期的生理和心理并发症,需要由多学科团队进行治疗。通过这篇综述,我们希望为临床医生提供...
颅咽管瘤手术后至少需要2到3周才能恢复正常,完全恢复可能需要更长的时间。颅咽管瘤与其他颅内肿瘤不同,是一种良性肿瘤,但具有恶性肿瘤的生物学...
颅咽管榴是多年来引起神经外科医师较大关注的一种良性肿瘤,其完整切除和治愈的可能性取决于我们对肿瘤与下丘脑、垂体柄和视器之间的复杂关系的认识...
颅咽管瘤能治好吗?颅咽管瘤是儿童常见的颅内肿瘤,占儿童颅内肿瘤的5.6%~15%,占儿童鞍区肿瘤的54%。组织学分类为WHO I级肿瘤,根治性切除是优选治疗。...
颅咽管瘤术后活了60年要注意这6点,颅咽管瘤是一种少见的颅底肿瘤,手术切除后,患者需要进行术后维护和随访,以确保长期的存活和良好的生活质量。...
颅咽管瘤手术后吃什么东西有帮助,颅咽管瘤手术后用高蛋白和高维生素食物有帮助,也可在医生的指导下口服营养神经药物,如甲钴胺胶囊、维生素B1片...
颅咽管瘤手术后尿崩多久可以治愈?颅咽管瘤是一种常见的胚胎残余组织肿瘤,常由外胚叶形成的颅咽管残余上皮细胞发育而来。它是颅内较常见的先天性...
颅咽管瘤手术后出现胡言乱语是一种可能的并发症,这可能是由于手术过程中对周围神经或脑组织的损伤所致。下面将详细介绍关于颅咽管瘤手术后胡言乱...
颅咽管瘤术后三年禁忌?颅咽管瘤术后三年内,患者需要特别注意避免一些可能引起并发症或加重病情的禁忌行为。以下是一些常见的禁忌事项: 1.剧烈运...
颅咽管瘤手术需要多长时间? 颅咽管瘤手术,颅咽管瘤手术需要3到5个小时左右。 颅咽管瘤通常位于鞍区,是一种常见的颅内良性肿瘤,可导致视力障碍、...
颅咽管瘤术后危险期有多久?三年禁忌?颅咽管瘤手术是一项复杂的手术过程,患者在手术后需要不同的护理和康复。术后危险期是指手术后一段时间内患...
颅咽管瘤是一种良性先天性肿瘤,起源于胚胎期细胞。所谓颅咽管,是通过这种颅咽管在胚胎期脑腔和口腔连接的。 孩子出生后,颅咽管闭合,但颅咽管残...
颅咽管瘤手术后的尿崩可以治愈吗? 颅咽管瘤术后尿崩症一般可以治愈。颅咽管瘤是一种良性肿瘤,但手术后垂体柄受损,尿崩症是不可避免的。如果患者...
颅咽管瘤手术后老是睡觉 颅咽管瘤术后嗜睡是术后常见的情况。颅咽管瘤由于生长部位的不同性,会影响患者的神经内分泌功能。由于激素的波动,患者会...
颅咽管瘤手术后的眼睛恢复期通常为一个月。如果患者在手术过程中出现并发症,恢复时间可能相对较长,可能需要1至2个月才能恢复。如果患者有严重的...
做了颅咽管瘤手术后几天可以下床?颅咽管瘤手术后的具体康复时间会因个体差异、手术切除范围和手术后情况而有所不同。在手术后的初期几天,通常需...
颅咽管瘤术后昏睡多长时间?多久能恢复到正常?颅咽管瘤手术后的昏睡时间和恢复时间会根据手术的具体情况、患者的个体差异以及术后并发症的发生而...
颅咽管瘤术后脾气暴躁?颅咽管瘤术后可能出现脾气暴躁、情绪波动和骂人等问题,这往往是由手术对患者的身体和心理状态造成的影响所致。下面将详细...
颅咽管瘤术后内分泌功能受损,一辈子无法生育 经常头痛、视力下降严重、内分泌失调,例假也不来了。核磁共振检查发现脑袋里长了个颅咽管瘤。位置长...
颅咽管瘤术后鼻漏是怎么导致的?颅咽管瘤术后鼻漏的发生可能与以下几个因素有关,包括手术创伤、鼻腔解剖学变化和神经结构受损等。 1.手术创伤:颅...
颅咽管瘤的术后护理,颅咽管瘤术后护理是一个复杂的问题,一个是医院护理,另一个是出院后的家庭护理。较好分两个层次回答。就医院颅咽管瘤的起源...
颅咽管瘤术后内分泌能恢复正常吗?颅咽管瘤(Craniopharyngioma)是一种发生在颅底鞍区的肿瘤,通常与垂体和下丘脑的功能有关。手术是治疗颅咽管瘤的主...
颅咽管瘤复发还能活多久? 颅咽管瘤复发,具体能活多久通常无法评估,因为颅咽管瘤复发不危及生命。患者的生存时间和年龄、身体体质和病情的严重程...
颅咽管瘤是一种常见的先天性良性肿瘤,但不是遗传性肿瘤在WHO分级中为Ⅰ等级是较良性的肿瘤。颅咽管瘤的来源是残余组织Rathkes囊,Rathkes囊是胚胎发育...
颅咽管瘤常见于儿童青少年,容易影响激素水平,生长发育等。全切除手术难度大,留给医生手术的空间小,只有4毫米左右,医生在术中,一旦出现0.1毫米...
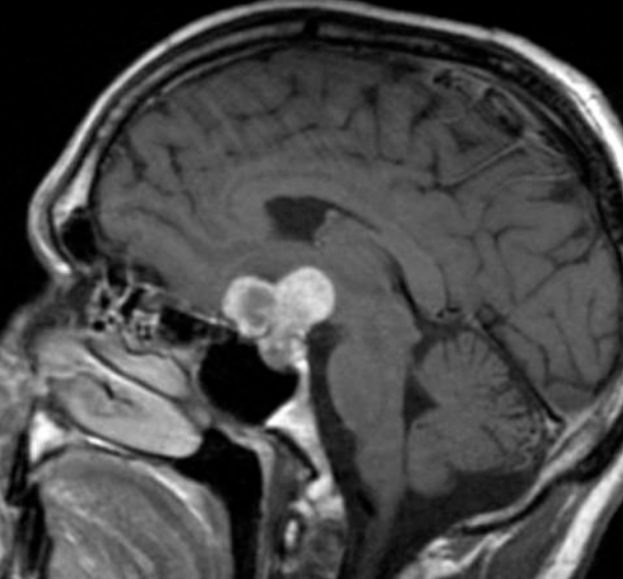
颅咽管瘤是什么?不同解剖部位的颅咽管瘤可以是囊性、实性或囊性,有些肿瘤可能有一些钙化。 颅咽管瘤发生的主要部位是鞍区,也可以在鞍区、鞍区、...
颅咽管瘤术后鼻子流黄黄的水?颅咽管瘤是一种较为不同的肿瘤,位于鼻腔和颅咽管区域。手术是常见的治疗方法之一。术后鼻子流出黄黄的水可能是以下...
颅咽管瘤术后头晕恶心浑身无力?颅咽管瘤手术是一种复杂的手术,术后可能出现一些并发症,包括头晕、恶心和体力不佳等症状。这些症状的出现可能是...
颅咽管瘤术后并发症昏迷了怎么办?颅咽管瘤术后可能会出现并发症,其中包括昏迷。昏迷是一种严重的意识障碍,需要及时采取措施进行处理。以下是在...
链接/Links: 北京天坛医院 | 首都医科大学宣武医院 | 复旦大学华山医院神经外科 | 脑胶质瘤 | 脑海绵状血管瘤 |