在儿童神经外科领域,造釉细胞瘤性颅咽管瘤(AC)是个特殊的狠角色它虽被归为低级别恶性肿瘤,却因紧邻视路、垂体、下丘脑等关键结构,让治疗陷入...
作为小儿神经外科领域的国际大咖,INC旗下世界神经外科顾问团成员James T.Rutka教授早在2008年的《Initial Management of Childhood Brain Tumors:Neurosurgical Considerations》...
颅咽管瘤靶向治疗是什么意思?颅咽管瘤占儿童脑肿瘤的5%-10%,约占儿童鞍区肿瘤的54%。面对这样一个虽属良性却位置险要的肿瘤,传统手术与放疗虽有效...
INC国际儿童脑瘤大咖、世界小儿神经系统专业杂志《Childs Nervous System》现任主编Concezio Di Rocco教授发表研究《Molecular pathogenesis of craniopharyngioma:switching from...
尽管脑肿瘤各有各的棘手,但对于儿童来说,有这样一种肿瘤,不仅有着比其他脑肿瘤更高的复发率,即使成功切除,患儿也可能陷入肥胖、内分泌失调等...
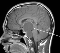
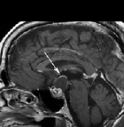
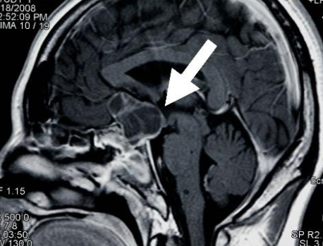
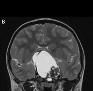
【颅咽管瘤赴德手术案例】颅咽管瘤三次手术后反复发作,赴德手术终获全切,术后半年未复发。经历了千辛万苦的治疗,却又功亏一篑肿瘤复发,对于任...
INC旗下国际神经外科顾问团(WANG)专家成员James T. Rutka教授在论文中表示:了解鞍区和鞍上区解剖是选择颅咽管瘤较好手术入路的关键...
颅内颈动脉位于视神经的外侧。颈动脉常突出于蝶窦外侧壁,视神经管突出于蝶窦上外侧,三叉神经二分支突出于蝶窦下外侧。视神经、动眼神经、颈动脉...
颅咽管瘤是一种来源于胚胎残余组织的良性肿瘤,颅咽管瘤约占儿童全部脑瘤的6%。任何年龄的人都有可能被诊断为颅咽管瘤,但在5到14岁之间较容易被诊...
即使在外科手术,放射治疗和激素补充后,颅咽管瘤也会增加死亡率。本文利用先前使用不同设计的研究以预判近年来降低死亡率的可能趋势...
颅咽管瘤是一种良性肿瘤,但神经外科之父哈维威廉斯库欣(Harvey Williams Cushing)曾经将颅咽管瘤描述为较可怕的颅内肿瘤,从那时起人们就充分认识到了...
目前, 颅咽管瘤 (CP)的治疗主要是手术和放疗(RT)。然而,在过去的几年里,我们对这些肿瘤的分子病理学的理解有了的进展,这可能为特定的靶向治疗奠定...
颅咽管瘤 是起源于神经上皮的肿瘤,由鳞状细胞沿原颅咽管道长出。它们的发病率在每10万人年0.5至2.5之间,不因性别或种族而有所不同。颅咽管瘤占全部...
颅咽管瘤是一种少见的脑部肿瘤。它们较常见于5-14岁的儿童。这些肿瘤约占儿童脑瘤的6%。美国每年有100-200例儿童颅咽管瘤。颅咽管瘤的10年生存率为80-...
6岁儿童长期无精打采,竟是肿瘤所致 小金(化名)6岁时,开始间断性的出现无力、厌食情况,跟小朋友们一起玩的时候也无精打采。家长以为是孩子有情绪...
CTNNB1基因突变可使β链蛋白磷酸化和降解受阻,导致细胞核质内β链蛋白沉积,进一步激活WNT/β-连环蛋白(β-catenin)信号转导通路,导致肿瘤发生。多数釉...
儿童颅咽管瘤是一种少见的、鞍区或鞍旁区胚胎性畸形的低级别组织学恶性肿瘤。由于颅咽管瘤与视交叉、脑垂体和下丘脑在解剖学上的邻近关系,其不良...
Nana,今年10岁,但是已经看不见这个国际了。那是2014年12月,在几周的时间里,她的视力迅速恶化。她在家里附近的医院接受了核磁共振检查,结果显示肿...
儿童期颅咽管瘤 是少见的,蝶鞍或鞍旁区域的胚胎发生畸形,伴有低度组织学恶性肿瘤。颅咽管瘤由于接近视交叉,脑垂体,经常影响儿童的生活质量(...
颅咽管瘤能完全根治吗?外科医生通常将肿瘤切除作为治疗的一步。据肿瘤的大小和位置,选择合适手术入路,那么术后复发了还要再做手术吗...
颅咽管瘤是一种少见的中枢神经系统(CNS)良性肿瘤,被认为是由Rathke氏囊的残余物引起的,靠近垂体。它们在全部原发性中枢神经系统肿瘤中所占比例小于...
颅咽管瘤是由鞍区或鞍上区Rathke囊的残余细胞形成的肿瘤,具有囊性和实型成分。虽然它们是良性的,WHO为I级,但由于该病难以治愈,使得它们的生长行为...
颅咽管瘤是一种良性肿瘤(肿瘤),来自于鞍区及其周围(鞍旁区域)的胚胎组织。蝶鞍区位于颅底的中央,主要包括垂体,人体的主腺和蝶鞍,颅骨中的...
颅咽管瘤是一种少见的脑肿瘤,每年影响每50万人至200万人中的一个。这些肿瘤通常是良性的(非侵袭性的),仅报道了少数恶性(侵袭性)颅咽管瘤病例...
颅咽管瘤是什么病?事实上,这是一种比较常见的颅内肿瘤,发病率为0.5-2/100万人,约有半数发生于儿童和青少年,为发病一高峰期,成年人多见于40-60岁...
颅咽管瘤 有不复发的吗?颅咽管瘤是一种生长缓慢的良性脑瘤,发生在脑下垂体(脑下垂体是位于大脑底部的一个小的内分泌腺,它产生几种重要的激素)和下...
颅咽管瘤的较佳治疗方案一直存在争议,包括两种基本疗法:一种是诊断时尝试达到完全切除的积较手术治疗,另一种是较保守的手术方法,应用放疗(ra...
颅咽管瘤在大脑区域发展,周围有许多关键结构,包括视觉通路、垂体、下丘脑、颞叶、脑干和主要的脑血管。这种复杂的颅内环境对放射剂量的传递...
早在20世纪90年代,哈维·库欣(Harvey Cushing)就将颅咽管瘤称为“较可怕的颅内肿瘤”,因其病情复杂、被发现时肿瘤往往已经生长较大,不同的发病部位...
很多患者都关心颅咽管瘤能完全根治吗,实际上,这与颅咽管瘤的治疗方式和治疗效果关系密切,一些幸运患者在手术中肿瘤得以全切,其生存时间往往可...
颅咽管瘤较佳治疗时机,颅咽管瘤是一种少见的脑肿瘤,通常在垂体和下丘脑附近形成。它们是良性的(不是癌症),不会扩散到大脑的其他部位或身体的其...
颅咽管瘤能完全根治吗?在颅咽管瘤累及其他脑组织的患者中,更佳治疗方法是保留下丘脑保护的手术策略,然后适当照射剂量以更大水平地减少复发和进...
颅咽管瘤是一种良性肿瘤,被认为是儿童时期生长缓慢的肿瘤。既往报道因手术时肿瘤体积较大,根治性手术效果较差,死亡率和发病率较高...
在一项大的系列研究中,60%~93%的患者10年没有复发生存,10年生存率达64%~96%,与颅咽管瘤复发相关的较有意义的因素是手术切除范围。颅咽管瘤到底能完全根...
囊内干扰素可以延缓儿童囊性颅咽管瘤的疾病进展,并有可能延长手术或放疗的时间,但与其他治疗方式相比显示出良好的毒性,这是这一发展年龄组的重...
不做手术行不行?,相信这是每个将要手术或者需要手术的患者都关心的问题。普通人都是恐惧手术的,很多患者认为手术风险较大,对于各种疾病都希望能...
INC国际神经外科医生集团旗下组织国际神经外科顾问团(WANG)成员、国际神经外科学院(WANS)主席、 美国神经外科医师协会(AANS)官方期刊《Neurosurgical Focus》 现...
由于儿童处于生长发育期,放射治疗带来的晚期并发症随着病人存活时间的延长越来越引起了人们的关注,而且妨碍了放射治疗在治疗儿童肿瘤中的应用。...
颅咽管瘤好发于成人及儿童两个高峰期,儿童多出现视力下降,由于儿童不会表述,所以难以发现,发现后肿瘤已经很大了。对于成人,肿瘤导致头痛,甚...
颅咽管瘤手术后复发,此时应该重复手术还是放疗?复发性颅咽管瘤的治疗选择包括重复手术、放射治疗、放射外科和囊内治疗。我们报告了在1991年至20...
我们回顾了包括低级别星形细胞瘤在内的常见非恶性小儿脑瘤的流行病学、组织病理学、遗传学、临床表现、神经影像学和治疗(如小脑星形细胞瘤和视神经...
颅咽管瘤是起源于神经上皮的肿瘤,由鳞状细胞沿原颅咽管道长出。它们的发病率在每10万人年0.5至2.5之间,不因性别或种族而有所不同。颅咽管瘤占全部...
INC德国Schroeder教授关于神经内镜经鼻入路治疗颅咽管瘤的解析 INC国际神经外科医生集团、国际神经内镜联合会执行委员会主席Henry W. S. Schroeder教授关于神经...
颅咽管瘤治疗较新进展,尽管是低级别肿瘤,颅咽管瘤可引起后遗症由于它们的接近度和侵入视交叉和下丘脑-垂体轴倾向。其相对良性的组织学适合手术切...
颅咽管瘤治疗方法有哪些?颅咽管瘤是蝶鞍和鞍旁区域的胚胎肿瘤。由于双峰年龄分布,颅咽管瘤可在儿童和成年期间表现出来,并伴有直接肿瘤浸润和随...