头颅咽管瘤(CP)是一种组织学上良性但临床表现为侵袭性的中枢神经系统肿瘤。在成人和儿童中,这类肿瘤约占1%,在儿童中约占1-3%。每年发生慢性粒细胞白血病的人数为0.13-2/10万。
颅咽管瘤是名不副实的良性肿瘤。因为这些肿瘤往往生长在鞍区和鞍上区,所以它们与重要的神经血管结构(包括垂体茎、视神经装置和下丘脑)有复杂的联系。从理论上说,完全切除肿瘤可以治愈颅咽管瘤。但是,颅咽管瘤与其它颅内良性病变相比,复发率更高,特别是在保留肿瘤组织的情况下。复发性颅咽管瘤更难治疗,且常常造成相当高的发病率。肿瘤切除完整是颅咽管瘤治疗的重要原则。
本文研究并评估了切除范围(EOR)对成年颅咽管瘤复发及术后内分泌、视觉和下丘脑功能的影响,目的在于明确全切术在治疗颅咽管瘤中的意义。对1994年1月至2012年12月新诊断的82例颅咽管瘤患者进行回顾性分析。全部病例均以组织学检查为基础,只有一例囊肿穿刺的影像学表现及手术发现符合CP诊断。检查医疗记录,以获取人口统计数据、症状、手术结果、术前和术后荷尔蒙水平、术前和术后视力(VA)和视野(VF)、神经系统疾病、并发症和复发。

调查数据
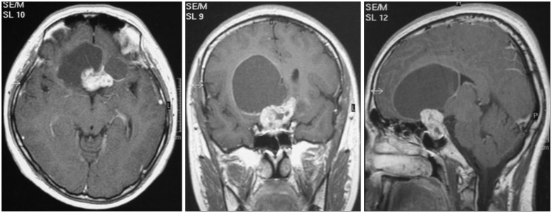
该研究包括53名男性和29名女性患者(男女比例=1.83:1),年龄中位数为42岁(15-79岁)。平均随访时间46个月(范围5-169个月)。其共同症状为视力障碍(50例;61.0%)、头痛(33例;40.2%)、精神疾病(10例;12.2%)、垂体功能减退(9例;11.0%)、全身无力(7例;8.5%)、癫痫(2例;2.4%)、意识丧失(2例;2.4%)和偶然感觉(2例;2.4%)。肿瘤的中等直径是3.0厘米(范围是1.5-7.0厘米)。核磁共振图像中,18%的肿瘤是纯肿瘤或者主要是实体瘤,20.5%是囊性肿瘤,61.5%是混合肿瘤。其中57例发生钙化(73.1%),20例发生阻塞性脑积水(24.7%)。有68个病人(82.9%)参与了三脑室。前额叶和后颅窝均有肿块扩大3例。
结果:GTR达到71例(86.6%),NTR达到7例(8.5%),STR达到3例(3.7%)。有一位病人被插入Ommaya储液槽并接受囊肿抽吸治疗。NTR和STR两组患者在11例残留肿瘤中,分别接受了立体定向放射外科治疗和放射治疗作为辅助治疗。有9例病人未接受任何辅助治疗。在年龄(p=0.791)、性别(p=0.312)、肿瘤大小(p=0.732)、下丘脑受累(p=0.345)等方面,GTR组与对照组的相关性无统计学差异。组织病理学分型(p=0.545)和脑积水(p=0.438)。但非GTR组全部肿瘤均出现钙化,各组间钙化程度有性差异(p=0.029)。
病死率和并发症。
有2例在手术后一个月死亡(2.4%)。两者均有GTR的发生,并分别死于脑出血(ICH)和导管相关菌血症(ICH)。并发症以慢性硬膜下血肿、脑膜炎和沟通性脑积水为常见,4例均有发生,占4.9%。深静脉血栓形成和/或肺栓塞(3.7%)、静脉痉挛(3.7%)、脑脊液漏(2.4%)、短暂半截或轻瘫(2.4%)、ICH(1.1%)、肿瘤床造成的出血、矢状窦上部血栓形成(1.1%)和肺炎(1.1%)造成的前额叶出血性梗塞。全部手术后并发症发生率为22.0%(其中18例为82例)。P=0.053。但是,包括ICH和梗塞在内的主要并发症仅限于GTR组,而非GTR组的并发症,如脑膜炎或慢性硬膜下出血,其发生率相对较低。在并发症中,年龄(p=0.114)、性别(p=0.343)、肿瘤大小(p=0.672)、钙化(p=0.442)、下丘脑受累(p=0.230)、脑积水(p=0.783)和茎横切(根据单因素分析,p=0.520)没有明显影响并发症的发生。
虽然颅咽管瘤通常表现为局部侵袭性,但它是一种组织学上良性的肿瘤。所以,完全切除是可以治愈的。手术切除不完全与高复发率、肿瘤复发导致较高的发病率、死亡率和重复性手术风险相关。所以我们建议手术的目标应该是完全切除肿瘤,特别是一开始手术。术后密切跟踪观察,如再次切除或放射治疗等,对复发给予治疗。在INC领导下的国际神经外科顾问团的专家成员,德国巴特朗菲教授,擅长于在困难部位切除脑瘤,他对一位多次接受放化疗和手术治疗的颅咽管瘤患者,进行了全切手术,使其免于重复治疗。如希望得到此国际专家的二诊断意见,请致电400-029-0925与教授进行远程咨询。
- 文章标题:颅咽管瘤能不能根治?外科切除会不会留下后遗症?
- 更新时间:2021-01-26 14:16:32
400-029-0925




