儿童期颅咽管瘤是少见的,蝶鞍或鞍旁区域的胚胎发生畸形,伴有低度组织学恶性肿瘤。颅咽管瘤由于接近视交叉,脑垂体,经常影响儿童的生活质量(QOL),以及下丘脑。较明显的不良反应是严重的下丘脑肥胖,这对长期幸存者的生活质量有负面影响。长期预后的好转需要开发以风险综合的方式进行多学科应用的神经外科和放射肿瘤治疗策略。由于疾病的少见性和有限的手术方案,跨国合作和多学科综合治疗策略,已经带来治疗效果的改进。

头痛恶心仍然是颅咽管瘤的主要临床表现
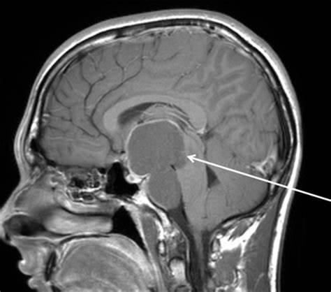
诊断时颅咽管瘤的临床表现通常以颅内压升高的非特异性症状(如头痛和恶心)为主。进一步的主要表现包括视力障碍(62-84%)和内分泌缺陷(52-87%)。对颅咽管瘤患者的预诊断历史的研究表明,较初的症状通常在诊断之前很久就出现了。相比之下,体重增加往往是较晚的表现,通常是在诊断儿童颅咽管瘤的平均年龄8-9岁之前不久。
头痛,视力障碍,生长速度下降以及多饮和/或多尿的临床组合在鉴别诊断中应引起对垂体肿瘤的怀疑。对不同蝶鞍和/或鞍旁质量的儿科患者发生严重肥胖的危险因素进行多因素分析,诊断时的肥胖程度,儿童颅咽管瘤的组织学诊断以及下丘脑累及蝶鞍旁质量是严重肥胖发展的独自危险因素。
小儿颅咽管瘤的手术治疗策略:显微外科+神经内镜
儿童期出现的颅咽管瘤通常延伸至鞍上区,在大多数情况下,需通过显微外科经颅入路切除。对于地形和解剖原因,蝶手术具有不会干扰下丘脑功能的优点。除了经典的前外侧入路外,神经内镜手术在颅咽管瘤的神经外科治疗中也越来越受欢迎。
对于局部定位良好的肿瘤,优选的治疗方法是尝试完全切除并保留视力,下丘脑和垂体功能。对于局限性肿瘤,是否仍应尝试完全切除还是计划进行有限切除(活检,部分切除或小计切除)存在争议。由于手术引起的缺陷(主要是下丘脑)的风险以及尽管显然已完全切除的婴幼儿复发率很高,许多专家对这些情况下的计划性根治性手术持批判性看法。
不完全切除后,将残余肿瘤节目进展的患者71-90%,而进展的不完全切除,随后放疗后率为21%,在5年的随访。对3年无事件生存率(EFS)的分析显示,频繁发生的早期事件,例如在一次手术后的较初3年中,不完全切除后的肿瘤进展和完全切除后的肿瘤复发。在观察到的低EFS率的危险因素的多因素分析中,完全切除后复发的风险比不完全切除后低80%。此外,接受放射治疗的患者与未接受放射治疗或未接受放射治疗的患者相比,进展风险降低了88%。
神经内镜经鼻微创手术在颅咽管瘤治疗中发挥重要作用--更少的并发症和更高的存活率
在《Craniopharyngioma: neuroendoscopic transnasal surgery》中报道2000年至2016年研究学者对92例颅咽管瘤患者进行内镜经鼻手术治疗,总共进行了125次手术,表示尿崩症是61%的患者术后常见的并发症,但通过对内镜经鼻手术的患者在1年的随访中只有2例患者出现持续性尿崩症。
与此同时Fahlbusch等报道了168例颅咽管瘤患者14年来的手术治疗。经颅和经鼻切除肿瘤的比例分别为45.7%和85.7%,经鼻全切后5年的存活率是86.9%,10年的为81.3%。部分切除后5年存活率为48.8%,10年存活率为41.5%。在3年的回访期间,颅咽管瘤的死亡率和发病率分别为5%和22.2%。

Symon等人的研究表明,经验丰富的外科医生在颅咽管瘤大体全切除后取得更好的结果的重要性。
国际经鼻神经内镜技术的先行者--国际神经外科联合会(WFNS)颅底手术委员会主席Sebastien Froelich教授
国际神经外科联合会(WFNS)颅底手术委员会主席Sebastien Froelich教授擅长神经内镜鼻内入路的颅底肿瘤切除,针对垂体瘤、脊索瘤、复杂脑肿瘤等采取神经内镜下微创手术。神经内镜始于20世纪初,1960年开始用于治疗更多神经外科疾病,1998年神经内镜技术应用更加成熟和广泛,在神经外科疾病的诊断和治疗等方面发挥了重要作用。近年来,这种创口小、并发症少、术中出血量少且能达到高准确切除率的手术方式尤受患者青睐。
Sebastien Froelich教授结合多年的手术经验又改良和了具有革命性的神经内镜“筷子”手法,使得手术操作由两人变为一人,解决了手术过程中存在的配合问题,也很大水平上提高了手术效果和准确度。这在神经外科内镜经鼻手术领域做出了较大的贡献,国际各地医生纷纷效仿和学习。此外,Sebastien Froelich教授还提出了克服脊索瘤的颅底基础方法、鼻内镜和下鼻甲联合皮瓣修复扩大鼻内入路后大面积颅底缺损的手术方法,这对于颅底脊索瘤的治疗、对于患者的预后具有的进步意义。
国际神经外科联合会(WFNS)颅底手术委员会主席Sebastien Froelich教授来华参会,国内脑瘤患者面对面咨询征集中
12月20-22日,由首都医科大学附属北京天坛医院、苏州市医学会共同主办的“2019中国颅底大会”将在苏州举行。本次大会主席为北京天坛张俊廷教授、张力伟教授,执行主席为北京天坛贾旺教授和苏州大学附属一医院陈罡教授,届时将邀请国内外神经外科相关领域专家学者到会交流。INC国际神经外科医生集团旗下国际神经外科顾问团成员法国Sebastien Froelich教授作为国际神经外科联合会(WFNS)颅底手术委员会主席、国际神经内镜及颅底手术教授将受邀出席此次大会。参会之余,面向国内有需求的颅底脊索瘤、垂体瘤、颅咽管瘤、脑膜瘤、胶质瘤、海绵状血管瘤等患者,在INC国际神经外科医生集团中国代表处,Sebastien Froelich教授现场咨询专场即将开启,想要获取相关病情国际前沿治疗资讯及国际水平手术方案的患者可以抓住这个与国际手术教授面对面咨询病情的绝佳机会。目前报名通道已开启,收费模式,限额5名。
- 文章标题:小儿颅咽管瘤的手术治疗策略
- 更新时间:2019-12-05 18:29:34
400-029-0925




