让我们来聊聊颅咽管瘤这个有点“棘手”的小东西。想象一下,你的大脑里有个不请自来的“客人”,它就是颅咽管瘤。这个“客人”虽然是个良性的,但因为它住在一个“黄金地段”,周围都是重要的“邻居”,比如视神经、垂体柄、下丘脑等,所以请它离开可不是件容易的事。现在,我们有两种方式来请这位“客人”离开:
1开颅手术:
这就像是直接打开大脑的大门,让外科医生能够直接看到这个“客人”并试图请它离开。这种方法就像是大张旗鼓的派对,动静大,但是有时候可能会打扰到周围的“邻居”。
2经鼻内镜手术:
这种方法则像是通过一个秘密通道(鼻子)悄悄接近这个“客人”。内镜就像是一根魔法棒,能够让外科医生在不打扰太多“邻居”的情况下,尽可能地请这位“客人”离开。这种方法更像一个悄悄的惊喜派对,尽量不引起太大的骚动。
国际颅咽管瘤大咖施罗德教授,就像是这个领域的派对策划专家。他的研究表明,虽然经鼻内镜手术在某些方面(比如新发的垂体功能减退症)表现得更好,但也可能带来更高的脑脊液漏和尿崩症的风险。这就像是说,虽然悄悄的惊喜派对可能不会太打扰邻居,但也许会有意外的“惊喜”发生。
所以,选择哪种方式来请这位“客人”离开,需要根据这位“客人”的具体情况和它所在的“位置”来决定。尤其重要的是要有一个像施罗德教授这样的经验丰富的派对策划专家来主持大局,确保派对(手术)能够顺利进行,让这位不请自来的“客人”优雅地离开。
颅咽管瘤,作为一种起源于垂体至下丘脑区间的良性肿瘤,尽管其起始点仅限于垂体柄的一小段,却能发展出多种形态、质地和生长路径的病变。它主要出现在鞍区,但也可能在鞍内、鞍上、鞍后以及第三脑室内发展,会侵袭到这些区域的所有或部分。根据其所在的解剖位置,颅咽管瘤可能呈现为囊性、实性或囊实性,并且可能会出现钙化现象。

其发病高峰出现在6至10岁的儿童、26至30岁以及41至45岁的成人,且男性患者数量通常超过女性。患者可能会经历头痛、视力受损,以及由于中枢性尿崩症引起的多饮多尿等症状。在儿童中,可能会观察到生长发育迟缓,而在成人中,则可能出现性功能障碍和下丘脑综合征(如体温调节异常、水盐平衡失调等问题)。
颅咽管瘤的起源和位置决定了其周围的重要解剖结构,包括视神经、垂体柄、下丘脑,以及颈内动脉和基底动脉的分支等,特别是基底动脉、后交通动脉和大脑后动脉、脑干与肿瘤的关系可能会非常密切。
视神经与视觉功能相关,垂体柄与内分泌系统相连,下丘脑则影响患者的认知能力和术后的内分泌功能,而脑干被视为人体的“生命中枢”,颈内动脉和基底动脉等主要血管负责全身的血液供应,手术中一旦损伤这些重要结构,可能会导致灾难性且不可逆转的神经功能损害。
因此,颅咽管瘤的手术治疗是当代神经外科领域面临的一项具有挑战性的难题,需要综合考虑手术入路的选择、肿瘤切除的难度以及术后可能出现的并发症等。目前,针对鞍上区颅咽管瘤的开颅手术方法包括额下入路、翼点入路、经胼胝体入路,或是这些方法的组合。
在过去的几十年里,随着神经技术的迅猛发展,神经内镜下经鼻蝶手术入路在神经外科治疗中占据了重要地位。对于鞍上颅咽管瘤的治疗,神经内镜经鼻蝶手术已经成为传统开颅手术的一种替代方案。
INC国际神经外科医生集团旗下世界神经外科顾问团(WANG)成员、世界神经外科学会联合会(WFNS)内镜委员会前主席Henry W.S.Schroeder教授在其论文《鞍上颅咽管瘤手术后的生活质量和嗅觉功能——比较经颅和内镜鼻内入路的单中心经验》中,与其所在的格赖夫斯瓦尔德大学(Greifswald University)神经外科团队,对在该医学院接受手术治疗的鞍上颅咽管瘤患者进行了病例跟踪和数据分析,总结出开颅手术与经鼻内镜手术对患者生活质量、嗅觉、视力以及垂体等功能的差别。

发表于《Neurosurgical Review》(神经外科评论)上的论文《Quality of life and olfactory function after suprasellar craniopharyngioma surgery-a single-center experience comparing transcranial and endoscopic endonasal approaches》
研究结果显示,术后出现的新发垂体前叶和垂体后叶功能减退在经鼻内镜手术组(E组)中的发生率较低。在一般生活质量、鼻窦功能和嗅觉功能方面,两种手术方法的结果相似。相比之下,经鼻内镜手术组(E组)在视力改善、尿崩症和肥胖的发生率上表现更佳,但与此同时,该组发生脑脊液漏和尿崩症的风险较高。
INC国际教授Henry W.S.Schroeder

世界神经外科学会联合会(WFNS)内镜委员会前主席
欧洲神经内镜学会前主席
德国神经内镜和神经导航协会前主席
德国格赖夫斯瓦尔德大学(Greifswald University)神经外科教授兼主席
德国颅底外科学会科学委员会成员
Henry W.S.Schroeder教授是德国格赖夫斯瓦尔德大学(世界非常古老的大学之一,有三位诺贝尔奖校友)神经外科教授及主席,还是德国神经外科协会、神经外科医师大会、美国神经外科协会的成员。其主要研究领域包括垂体瘤、脑膜瘤以及其他颅内肿瘤的神经内镜手术、显微神经外科手术和显微颅底手术。
开颅手术
在经颅手术中治疗鞍上颅咽管瘤时,翼点入路和额外侧入路是首选方案。该研究中所有手术均由经验丰富的Henry W.S.Schroeder教授亲自执行。对患者进行全身麻醉后,仰卧位,头架固定,头部伸展旋转到对侧,以颧骨为最高点。皮肤切口通常位于发际线后方。开颅手术后,关键的手术步骤是打开侧裂池以释放脑脊液。特别需要注意的是,在处理侵犯视交叉和下丘脑的肿瘤时,需通过视神经、视交叉或颈内动脉之间的间隙来切除肿瘤。若肿瘤侵犯脑室内,则可以切开终板,利用神经内镜辅助手术,从而提升手术视野的清晰度,减少对视神经和视交叉的操作。
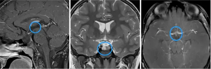
案例
一名7岁的男童表现出垂体功能减退的症状,包括体重减轻、生长发育停滞、身体状况不佳以及疲劳感。在就诊前四周,他持续诉说头痛和呕吐,经过评估,被诊断为全垂体功能减退。

a–c图MR成像显示囊性病变对比增强,高度怀疑颅咽管瘤

d图中,肿瘤(T)为通过右侧额外侧入路,暴露右视神经(ON)e图中,肿瘤包膜是用刀切开,f图显示钙化的肿瘤部分已被肿瘤切除

g图中,使用镊子的双向牵拉技巧解剖分离肿瘤;h图中,肿瘤(T)在30°神经内窥镜视野下正常显微镜难以显示;i图中,最终检查显示肿瘤全切除和视神经完整保留(ON)

j、k、l图显示,肿瘤得到全切,术后2年无复发,目前孩子在接受激素替代疗法
经鼻内镜入路
经鼻内镜切除鞍上颅咽管瘤的手术也均由Henry W.S.Schroeder教授完成,其中13例患者的手术得到了耳鼻喉科医生的协助。患者在全身麻醉后采取仰卧位(倾斜30°)并固定,手术的关键步骤包括双侧下鼻甲和中鼻甲的偏侧化,以及鼻中隔皮瓣和鼻后部切除隔片的制备,以形成反向皮瓣。在59%的患者中,由于鼻腔狭窄,切除了右侧中鼻甲。手术进入蝶骨阶段,首先切除蝶骨平台,接着磨除后组筛窦以充分暴露蝶骨内的结构,并切开蝶骨粘膜。之后,通过在鞍底上方钻孔,显露蝶鞍区、鞍膈及其邻近平面。颈内动脉和近侧视神经管通常没有覆盖物。在完成上部海绵窦的凝固后,进行V形硬膜切开。切开鞍膈以暴露垂体柄,接着切开蛛网膜,识别垂体分支动脉。对肿瘤进行内减压,并小心分离周围的神经血管结构。在全垂体功能减退的患者中,肿瘤通常会包绕侵犯垂体柄;而在垂体功能正常的情况下,应尽量保留垂体柄。颅底使用脂肪、纤维蛋白胶和鼻中隔皮瓣进行填塞和封闭。如果打开了第三脑室,需要放置腰椎引流管5天。
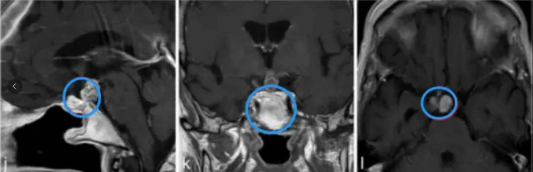
案例
一位84岁的女性出现了视力下降的症状。经过检查,发现她双眼的视力均有减退,并且存在视野缺损。然而,对其进行内分泌评估后,结果显示其垂体功能保持完整。

a–c图中,MR成像显示鞍上部分实性,部分囊性对比增强病变,高度可疑的颅咽管瘤。

d图中,经鼻内镜手术入路暴露。视神经的隆起(ON)可以看到总颈动脉(C)和鞍状硬脑膜(S)。e图表示切除之后肿瘤隆起,肿瘤上表面暴露在30°内窥镜下观察。右前A2节段可见脑动脉和右视神经(ON)。f图中,从视交叉切开肿瘤,使用镊子双向牵拉分离暴露(视神经ON)、A1和前脑动脉的A2段(A1,A2)。

g图表示背侧肿瘤表面,垂体柄浸润(ST,在虚线)被可视化处理眼动脉(O),后交通动脉P1段(P)和后交通动脉(箭头)。h图表示肿瘤切除后,左视神经内出现严重的压迹(箭头),由于肿瘤对神经的压迫和A1区段引起的可以看到大脑前动脉(A1和A2)。i图中,最终检查显示垂体后叶浸润(ST)后部、交通动脉(箭头)、岩上段颈内动脉(C)和动眼神经(O)的肿瘤残留(T)

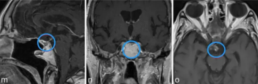
j-l图表示,在3个月后复查MR检查,显示术后垂体柄处有肿瘤少量残留。

m-o图显示,磁共振成像分期立体定向放射治疗后22个月,显示肿瘤明显缩小。病人经氢化可的松和甲状腺激素的替代治疗恢复良好。
在决定是选择开颅手术还是经鼻内镜手术时,应考虑以下因素:
1肿瘤的位置和扩展范围:
如果肿瘤位于中线,且外侧未超过颈内动脉分叉部,则适合经蝶手术;若肿瘤明显向侧方生长,则建议开颅手术;对于少数累及颈内动脉分叉部外侧、范围较小且呈囊性病变的肿瘤,经蝶手术也有可能实现全切。
2手术通道:
经蝶手术主要利用垂体与视交叉间的间隙,如果术前矢状位磁共振成像显示该通道空间充分,则可进行经蝶手术;对于位于第三脑室的颅咽管瘤,因该通道狭窄,部分学者采取视交叉上间隙亦可切除肿瘤,但手术难度较高。
3肿瘤与周围结构的关系:
如果肿瘤完全包绕血管、神经等关键结构,或者开颅手术后复发的肿瘤与周围结构粘连复杂,经蝶手术的难度会增加,此时选择开颅手术可能更为可控。
4肿瘤的性质和血供:
对于实质性强、质地较韧、血供丰富的肿瘤,经蝶手术需要更高的技术技巧,应根据手术医生的经验进行选择。
随着内镜设备、器械和经鼻手术技巧的持续发展,内镜经鼻手术方法来切除颅咽管瘤的比例在上升。近年来,随着手术经验的累积和手术设备的进一步改进,内镜经鼻切除颅咽管瘤的适应范围不断扩大,手术质量稳步提高。对于颅咽管瘤患者而言,无论是选择开颅手术还是经鼻内镜手术,都建议寻找在相应手术领域拥有丰富成功经验的专家进行操作,以促进术后生活质量和相关功能恢复。
注:以上案例供学术交流,不作为个别患者的医学诊疗意见。
- 文章标题:国际颅咽管瘤大咖施罗德教授手术对决:“开颅”与“不开颅”的较量
- 更新时间:2024-12-04 17:12:28
400-029-0925
.gif)



