颅咽管瘤的手术成功率高不高?风险大吗?

这可以说是很多颅咽管瘤患者关心的问题!
也是我们在临床过程当中会经常听到的一个问题。
这个问题实际上很难准确回答,
因为患者、家属以及医生
对于“成功”的界定标准都不一样……
首先我们要问一下成功率到底什么叫成功率?
到底脑瘤手术怎样才算成功呢?
不同的病情、术后的恢复情况以及大家的心理预期各有偏差,那么手术成功率自然也都差异很大。
患者眼中的“成功”手术
对于不同病情的患者来说,这些都可以说是手术成功
有些人可能认为做完之后跟术前一样,甚至比术前还要好,什么生活质量都不影响,完全生活工作学习没有问题,他认为这种程度可称之为成功手术。
也有一些人对这个疾病做了一些了解以后,这么严重的一个疾病,做完之后还能够活动,还能够生活自理,就认为挺成功的了。
还有一些,患者顺利下了手术台。术后患者顺利恢复意识清醒。术后有了相关的神经功能障碍,但是后期慢慢恢复了,也算成功。
有时候为了全切除或者多切除病变,不得已而牺牲了一些功能也算成功。
对于一些救命性手术,保住了性命,也算成功。
但是对于神经外科医生而言,什么样的颅咽管瘤治疗是比较成功的呢?
虽然有一些颅咽管瘤镜下一看确实难度很大,黏连严重,不止是和它起源的部位,甚至跟周围的血管,因为它整个颅咽管瘤起源的地方,还有一个叫做Willis环的结构,它就像闪亮红星一样,散散发光,特别耀眼。
它又被称为大脑动脉环,是指供应脑组织的动脉在脑底形成的环状结构。它是颅内较重要的侧支循环途径,将双侧大脑半球和前、后循环联系起来。

有些颅咽管瘤会跟这些血管粘的都很紧,然后周围的这些视神经、动眼神经,还有一些下丘脑垂体柄垂体相关结构,有时候粘的是严重的。
对于这种高难度颅咽管瘤手术,一开始手术能够做到发病率较小化,同时还应实现较大水平切除,以使患者获得较佳治疗效果。
然而,对于一些难度特别大的患者,可能会出现短期的副作用。如果它能够恢复的,给他一段时间几周的时间就恢复过来了,也是在可控范围内的。
所以,这个是需要医生的这种多年的临床经验和手术经验的一个总结。每个医生的技术不一样,只有你的主刀医生才可以准确评估手术成功率。一些经验丰富的神经外科医生可以评估手术切除率,甚至术后并发症发病率。
对于INC国际教授来说,手术当中还要去判断这么去完全的去切除之后的利弊平衡,利大于弊才会是进行手术的重要指征之一。
手术成功只是一步,大多颅咽管瘤的治疗不是一个手术那么简单,它是一个很长期的治疗的过程,可能需要在治疗后3-6个月内进行MRI随访以评估反应。对于术前本身就有下丘脑综合征和内分泌功能障碍的患者。
INC国际教授经典颅咽管瘤案例
80岁还能做开颅手术吗?
颅咽管瘤能全切不复发吗?
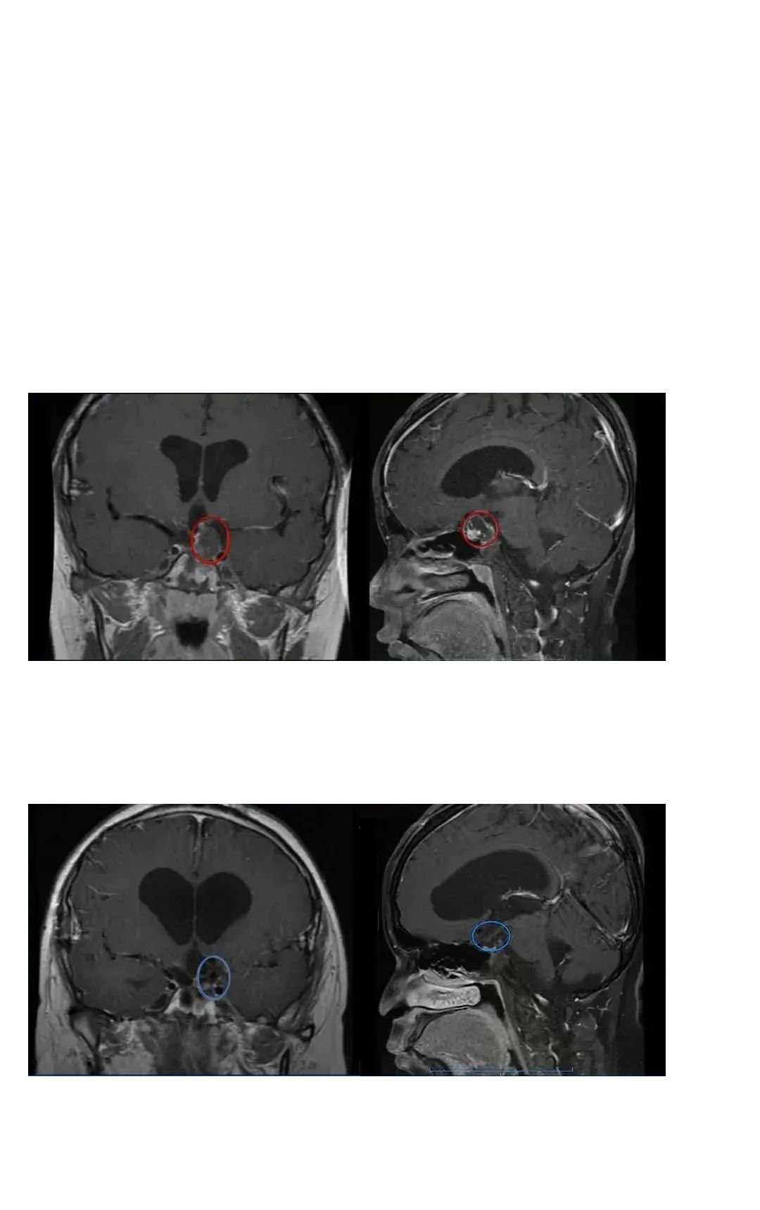
简要病史:80岁的李奶奶,2023年初开始出现短暂视物模糊以及记忆力减退等症状,在老伴的陪同下去医院检查发现:鞍上区占位性病变,颅咽管瘤可能性大。眼科检查后,确实双侧视野同侧缺损(左侧),视物模糊,可能是脑子里的这颗肿瘤造成的。
术前症状:双侧视野同侧缺损(左侧),视物模糊。
远程咨询巴教授后。巴教授表示,开颅手术中无需切除垂体柄,肿瘤切除率也会达到98-99%,手术风险低,而且视野和视物模糊在开颅术后的几周内可以得到完全恢复。为了得到更好的治疗,他们决定选择巴教授手术。
手术记录:2023年3月25日,在苏州独墅湖医院,INC巴教授顺利为李奶奶顺利全切手术。

李奶奶的术前术后MRI对比,红色为术前肿瘤位置,绿色为术后切除效果
术前症状:双侧视野同侧缺损(左侧),视物模糊。
术后情况:术后一天ICU查房李奶奶和巴教授愉快交流,复视较术前好转。术后四天普通病房查房李奶奶复视完全好转,状态很好,可以坐起来。术后两周李奶奶恢复良好顺利出院。
术后两个月李奶奶恢复正常生活,李奶奶还特意寄来了感谢巴教授和INC的定制礼物。

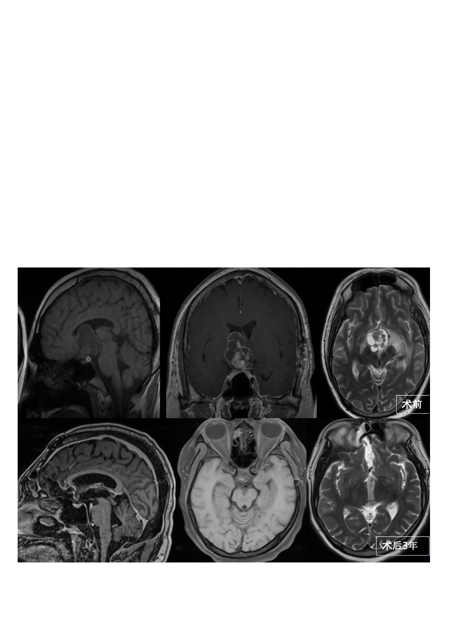
30多岁男性颅咽管瘤全切术后3年没有复发
妻儿陪伴幸福满满
病史摘要:2018年,高先生无明显原因出现精神疲劳,易入睡。在过去的一年里,他的体重增加了约20公斤。2019年6月开始多尿,每天量5000ML,伴多饮。2019年9月,发现鞍区占位,考虑颅咽管瘤。2019年9月,在当地医院行脑病变切除。术中将同侧视神经肿瘤后移,一间隙见肿瘤组织。肿瘤组织为视神经增厚。一些肿瘤沿着视交叉肿瘤较明显的部分被取下,活检。快速病理结果显示:视神经胶质瘤,更有可能考虑低级别胶质瘤。术后给予对症支持治疗,病情好转出院。患者意识清晰,双眼视力模糊,无其他不适症状。
由于肿瘤仅部分切除,高先生知道,这个肿瘤不会就此停止生长。他面临着肿瘤随时恶化增大的风险。迷茫之下,高先生夫妻两通过搜寻各种治疗信息,联系到INC国际,寻求国际专家的帮助。
手术记录:2019年11月INC德国巴特朗菲教授主刀,进行了高难度的全切手术,额基底中线开颅经终板入路全切肿瘤手术。
术后情况:手术成功,高先生的身体逐渐恢复了健康。“原先一天两次垂体后叶素3单位皮下注射,现在停了改为弥凝,其他都正常。也可以正常上班。”三年过去了,他没有再次复发。他的生活也重新回到了正常的轨道上,他能够像以前一样工作、照顾家庭,与家人一起享受生活的美好。即使一直在接受着药物治疗,高先生仍幸福无比。

18岁男孩颅咽管瘤16年3次复发,癫痫、发育迟滞,
再次手术还能挽救吗?
病史摘要:2005年,3岁的小杰是全家的心肝宝贝,但在一次玩闹时突然倒地抽搐,父母立即带他就医,检查提示为颅咽管瘤,虽然这是一种良性肿瘤,但却较易复发,治疗的关键是手术全切肿瘤。
为了孩子尽快恢复日常生活,小杰父母决定手术治疗。然而一次手术并未全切且造成右眼视力受损,更造成了小杰的10年艰难求医路,四次复发,三次开颅,一次伽马刀,从当地医院到医院,肿瘤依旧没有得到全切,头痛、癫痫等问题始终困扰着小杰,伽马刀治疗也让处于青春期的他发育迟缓。
治疗过程:多方查询后,小杰父母找到了INC德国巴特朗菲教授,这位享誉国际的神经外科专家,较为擅长治疗疑难脑瘤,于是远程咨询巴教授是否能顺利全切肿瘤。巴特朗菲教授回复:可以顺利切除,几乎全切。收到教授肯定的回复,小杰一家在INC工作人员协调下飞往德国接受手术,手术顺利顺利全切肿瘤。
术后情况:术后2天出ICU,转至普通病房,无新发神经损伤。小杰状态清醒,能够对答如流。术后一周,便可自行下地行走。术后三个月复查,肿瘤没有复发迹象,这也让一家人完全放心下来。颅咽管瘤的复发或放疗后再行手术比一次手术更加困难,小J的妈妈感慨说:早知道有这样的全切可能,应该一台手术就由巴教授主刀,但不管怎样,现在我们都足够幸运了,感谢巴教授和INC工作人员的帮助!

35岁男性颅咽管瘤视盲、认知下降
INC福教授全切术后即明显好转
病史摘要:颅咽管瘤,已经压迫三脑室及视神经,导致步态紊乱和认知障碍,视野缺损,全垂体功能减退伴轻度高泌乳素血症。严重影响到正常的工作与生活,手术高难度、。

手术记录:福洛里希教授结合患者实际病情制定了个性化的手术切除方案,保障肿瘤全切并较大水平保护了神经功能。
一阶段,通过经神经内镜经鼻入路进行视交叉和神经减压,从而为后续治疗做准备。然而随着肿瘤的加速生长,新的视觉缺陷出现和对下丘脑和三脑室的压迫影响,需要再次手术切除。二阶段,经后岩骨入路(或称后迷路经天幕入路)可以很好地暴露肿瘤和周围解剖结构(三脑室的底部和壁,分支血管,视神经等)。

图1后视交叉性较大颅咽管瘤患者肿瘤术前(A,C)和术后(B,D)矢状位增强MR对比,显示肿瘤全切。

图2术中图像:(A)在经后岩骨入路时,横窦-乙状窦连接处的后部移位,为颞叶与后颅窝之间的手术通道(白色箭头)。(B)脚间池蛛网膜的初步解剖分离,肿瘤的暴露。内窥镜辅助可以对手术床进行详细检查(C),以便更好地了解周围的神经血管解剖结构(D)。CN,颅神经;L视神经N,左视神经;R视神经N,右视神经。
术后情况:术后威尔视力、视野恢复正常,没有颅神经麻痹症状,认知功能好转,垂体功能恢复正常。术后配合辅助放射治疗,术前症状得到很大好转,可以如常工作,生活质量得到很大改观。
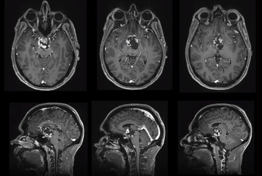
61岁男性颅咽管瘤意识障碍
INC国际内镜手术教授成功手术切除
INC之德国Henry W.S.Schroeder(施罗德)教授曾在论文中交流了这样一则病例,这位61岁的男性患者有6个月的进行性智力退化史,包括短期记忆减退。入院前10天,患者出现意识障碍、定向障碍及膀胱功能障碍。内分泌学检查显示为尿失禁和尿崩症,有患典型的肾上腺皮质功能减退症Addison病的风险,施罗德教授为其行内镜下颅咽管瘤切除手术。

图14。鞍上增强MRI显示,肿瘤延伸至三脑室,有实性成分(a)。视神经交叉向前移位(箭头)。垂体和蝶鞍似乎正常。由于T2病灶周围水肿和反转恢复图像液体衰减并右侧基底神经节外侧延伸,怀疑下丘脑侵犯(B)。施罗德教授在内镜下行全切术,包括已被肿瘤浸润损害的部分垂体柄。术后2年MRI未见肿瘤复发(C,D)。水肿完全消退(C)。图像(D)也显示鼻中隔皮瓣重建颅底。
![图15为打开蝶骨的阶段。(A)蝶鞍底(SF)和蝶面(P)在蝶腔内的蛋壳样钻孔。(B)去除薄骨层。(C)全骨切除后显露硬脑膜的全景图,并标记视神经(ON)、颈动脉(CA)和海绵窦内上方(SIS[星号])的位置。(D)鞍上间隙硬脑膜开口。(E)海绵窦内上方凝固。(F)海绵窦内上方截面。](https://www.incsg.cn/uploads/allimg/240130/1-240130101404954.jpg)
图15为打开蝶骨的阶段。(A)蝶鞍底(SF)和蝶面(P)在蝶腔内的蛋壳样钻孔。(B)去除薄骨层。(C)全骨切除后显露硬脑膜的全景图,并标记视神经(ON)、颈动脉(CA)和海绵窦内上方(SIS[星号])的位置。(D)鞍上间隙硬脑膜开口。(E)海绵窦内上方凝固。(F)海绵窦内上方截面。
![图16为硬膜内操作阶段。(A)锐性分离蛛网膜。(B)暴露鞍膈上区。可见垂体柄(PS)、后交通动脉(PCoA)、垂体上动脉(SHA)、视神经(OT)和肿瘤(T)。(C)切除肿瘤。双手用抓钳和解剖钳进行囊外剥离。垂体柄向左侧偏。(E)切换到30°内窥镜顺利实现交叉后肿瘤去体积(视交叉[OC])(F)将一大块肿瘤从三脑室移至蝶骨腔。(G)完全切除肿瘤后然后检查三脑室背侧部分(脉络膜丛[CP],缰连合[HC],后连合[PC])。(H)使用45°内窥镜检查三脑室前部(脉络丛(CP),穹窿[F],门室孔(FM)和丘脑间粘合(MI))。](https://www.incsg.cn/uploads/allimg/240130/1-2401301014203H.jpg)
图16为硬膜内操作阶段。(A)锐性分离蛛网膜。(B)暴露鞍膈上区。可见垂体柄(PS)、后交通动脉(PCoA)、垂体上动脉(SHA)、视神经(OT)和肿瘤(T)。(C)切除肿瘤。双手用抓钳和解剖钳进行囊外剥离。垂体柄向左侧偏。(E)切换到30°内窥镜顺利实现交叉后肿瘤去体积(视交叉[OC])(F)将一大块肿瘤从三脑室移至蝶骨腔。(G)完全切除肿瘤后然后检查三脑室背侧部分(脉络膜丛[CP],缰连合[HC],后连合[PC])。(H)使用45°内窥镜检查三脑室前部(脉络丛(CP),穹窿[F],门室孔(FM)和丘脑间粘合(MI))。
术后这名患者经历了短暂的神志不清,但神志及认知功能恢复很快,而且体重保持稳定。需要激素替代。术后两年颅咽管瘤未复发,水肿完全消退。
内镜还是开颅?颅咽管瘤应该如何治疗?
颅咽管瘤可从垂体-下丘脑轴的任何一点发生并沿此轴发展,肿瘤可从位于蝶鞍到大脑的三脑室,大约50%的肿瘤起源于三脑室底水平的漏斗和/或灰结节区域,主要向三脑室发展。患者可出现头痛、视力损害和由中枢性尿崩症导致的多饮多尿等症状,儿童可出现发育迟缓,成人可出现性功能障碍和下丘脑综合征(如体温调节紊乱、水电平衡紊乱)。

颅咽管瘤病变的起源及部位决定它周围的重要解剖结构,包括视神经、垂体柄、下丘脑、还有颈内动脉的分支,基底动脉的分支,基底动脉、后交通动脉和大脑后动脉跟肿瘤的关系可能会密切,此外还有脑干等。视神经跟视力有关系,垂体柄跟内分泌有关系,下丘脑决定病人认知能力和术后内分泌功能,脑干则是人体的“生命中枢”,颈内动脉、基底动脉这些大血管总管人体血液运输,手术切除过程中一旦损伤这些重要结构,可能导致灾难性、不可逆的神经功能损伤。
颅咽管瘤选择开颅还是内镜,需考虑以下因素
1、肿瘤的累及范围,若肿瘤居于中线,外侧在颈内动脉分叉部以内,则适合经蝶手术;若肿瘤明显向侧方生长,则建议开颅手术;少数肿瘤累及分叉部外侧,范围较小且该部分为囊性的病灶,经蝶手术也有全切机会。
2、手术通道:经蝶手术主要利用垂体与视交叉间的间隙,若术前矢状位磁共振提示该通道空间充分,则可经蝶手术;针对三脑室型颅咽管瘤,该通道狭小,部分学者采取视交叉上间隙亦可切除肿瘤,但手术难度较高。
3、肿瘤毗邻关系,若肿瘤完全包饶血管、神经等重要结构,或开颅术后复发者与周围结构黏连复杂,则经蝶手术难度更大,选择开颅手术可控性更高。
4、肿瘤质地、血供等因素,对实质性、质地韧、血供丰富的肿瘤,经蝶手术需要更高的手术技巧,应根据术者自身经验进行选择。
而对于大型复杂的颅咽管瘤,单一开颅和内镜手术无法做到肿瘤完全切除时,就需要考虑显微镜开颅+内镜手术联合手术入路,一次或分阶段手术,从而达到顺利全切肿瘤的目的。
INC国际神经外科医生集团总结,随着内镜设备、器械和经鼻手术技巧的不断进步和提高,国内外越来越多的神经外科医疗中心开始使用内镜经鼻手术方法切除颅咽管瘤。近年来,随着手术经验的积累和手术相关设备的进一步改进,内镜经鼻切除颅咽管瘤的适应范围不断扩大,手术质量稳步提高。得了颅咽管瘤,不管是选择开颅手术还是经鼻内镜手术,建议寻求在该手术领域具有丰富成功经验的专家进行,这是保障术后生活质量和相关功能的重要因素。
INC颅眼管瘤手术教授
德国Helmut Bertalanffy教授

擅长领域:专研复杂脑瘤手术30余年,擅长大脑半球病变、脑干病变、脑血管疾病、脑内深层区胶质瘤、颅颈交界处的病变等的肿瘤切除术、神经吻合术以及各种椎管内肿瘤切除术,拥有上千台脑干手术量,以高超的技术手法和顺利前提下高切除率手术而,在中国患者群中被尊称为“巴教授”。
法国Sebastien Froelich教授

擅长领域:擅长神经内镜鼻内入路的颅底肿瘤切除,针对垂体瘤、脊索瘤、颅咽管瘤等复杂脑肿瘤等采取神经内镜下颅内高难度位置的微创手术。其的内镜手术“筷子”操作方式不止提高了肿瘤的切除率,更是使肿瘤患者有了更好的预后效果。
德国Henry Schroeder教授
擅长领域:内镜神经外科(脑积水、囊肿、脑室内病变);内镜颅底手术(脑膜瘤、前庭神经鞘瘤、表皮样囊肿);鼻内镜颅底手术(垂体瘤、颅咽管瘤等);微创神经导航脑颅内手术;周围神经手术;癫痫手术等,擅长神经内镜下单鼻孔垂体瘤的微创手术治疗。
- 文章标题:颅咽管瘤可怕吗?INC国际教授实例交流——了解它,不再恐惧它
- 更新时间:2024-01-30 10:06:51
400-029-0925




