得了脑瘤,开颅还是不开颅,这是个问题。
自现代神经外科奠基人Harvey Cushing以来,颅咽管瘤的治疗始终是神经外科领域的重大挑战。治疗的核心目标不仅在于实现肿瘤的长期控制,还需尽可能保障患者视觉、垂体及下丘脑功能,同时兼顾良好的神经心理结局与生活质量。

颅咽管瘤起源于Rathke囊或颅咽管残留的胚胎上皮细胞,属于WHOⅠ级良性肿瘤,却常行“恶性”之事:但由于其毗邻下丘脑、视神经、垂体柄等关键结构,一旦侵犯视神经可能导致失明,累及垂体和下丘脑则可能引发生长激素分泌障碍、身体与智力发育迟缓、尿崩症甚至精神人格障碍等严重后果。阻塞性肿块效应可能导致视神经乳头水肿和视神经盘萎缩,最终可能导致视力丧失。
目前的两大主流术式——开颅手术和经鼻内镜手术,正面临重要的权衡:目前已有研究对比经颅与经鼻入路治疗颅咽管瘤的效果:经鼻入路在改善视觉预后方面表现更优,但术后脑脊液漏风险较高。两种术式之间,真的存在优劣差异吗?
INC世界神经外科顾问团成员教授、国际神经内镜联合会前主席Henry W.S.Schroeder教授在其发表在《Neurosurgical Review》上的《Quality of life and olfactory function after suprasellar craniopharyngioma surgery——a single-center experience comparing transcranial and endoscopic endonasal approaches》的论文中,教授所在的德国格赖夫斯瓦尔德大学(Greifswald University)神经外科专家组通过对该医学院接受手术治疗的所有鞍上颅咽管瘤患者进行病例随访和分析。

结论发现,鞍上颅咽管瘤经鼻入路和经颅入路的总体生活质量、鼻腔生活质量和嗅觉功能是相同的。鼻内入路与较好的视力结果、较低的尿崩症发生率和较低的肥胖率相关,但术后脑脊液漏的风险较高。

当生命遭遇颅内的“不速之客”,是选择开颅,还是另辟蹊径?两位年龄、病情各不相同的患者,却因同一种疾病——颅咽管瘤,走到了命运的十字路口。
60岁男性颅咽管瘤延伸到三脑室,经鼻微创巧拆颅內“炸弹”
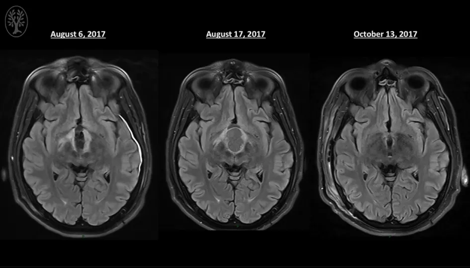
61岁的男性患者,6个月来出现了进行性的智力退化,包括短期记忆减退,诊断为颅咽管瘤,且肿瘤延伸至第三脑室,侵犯下丘脑。入院前10天,他开始出现意识障碍、定向障碍及膀胱功能障碍。内分泌学检查显示为尿失禁和尿崩症。随后,施罗德教授采用内镜经鼻入路,不开颅,成功实现全切。
术后,他的神志及认知功能恢复很快,而且体重保持稳定,但仍需激素替代治疗。术后两年,颅咽管瘤未复发,水肿完全消退。

图1:施罗德教授在内镜下行全切术,包括已被肿瘤浸润破坏的部分垂体柄。术后2年未见肿瘤复发。水肿完全消退(C)。图像(D)也显示了采用鼻中隔皮瓣重建颅底。
正值壮年却被肿瘤缠上,开颅手术“双镜联合”实现全切
而另一位正值壮年的35岁男性,也遭遇了类似的惊心时刻。正值壮年,却没想到从某天开始,他总是摔倒,还伴随视力下降。为了查清身体出现问题的根源,他及时前往医院检查,然而令他没想到的是,本以为“及时”就能避免情况恶化,检查结果却给了他当头一棒:脑袋里的颅咽管瘤已然长到巨大!
颅咽管瘤的表现通常是隐匿的,患者和临床医生很难早期识别症状。部分患者在出现明显症状时就很有可能已经错过时机了,这也是颅咽管瘤难以实现全切的原因之一。

INC国际神经外科医生集团的世界神经外科顾问团(WANG)成员、世界神经外科联合会(WFNS)颅底手术委员会前主席Sebastien Froelich教授(福教授)在仔细研讨后,最终制定了一个个性化的手术切除方案,保障了肿瘤全切并较大程度保护了神经功能。

▼第一阶段:内镜经鼻手术对视交叉和神经进行减压

▼第二阶段:后岩骨入路开颅全切肿瘤

在第一次手术后,他的全垂体功能减退情况得到明显控制,步态不稳和认知障碍有所好转,视力功能有所提升,术后未发生脑脊液泄漏。在第二次手术肿瘤得以全切后,他的视力与视野已恢复到了正常状态,没有出现颅神经麻痹的症状,认知功能也有所提升,垂体功能都已回归正常水平。

图1后视交叉性颅咽管瘤患者肿瘤术前(A,C)和术后(B,D)矢状位增强MR对比,显示肿瘤全切
INC福教授制定的分期手术方案保障了肿瘤全切并保护神经功能,术后配合辅助放射治疗,他的术前症状得到很大改善,已经可以如常工作,生活质量也得到很大改观。
选择开颅还是经鼻内镜,需考虑以下因素
1、肿瘤的累及范围,若肿瘤居于中线,外侧在颈内动脉分叉部以内,则适合经蝶手术;若肿瘤明显向侧方生长,则建议开颅手术;少数肿瘤累及分叉部外侧,范围较小且该部分为囊性的病灶,经蝶手术也有全切机会。
2、手术通道:经蝶手术主要利用垂体与视交叉间的间隙,若术前矢状位磁共振提示该通道空间充分,则可经蝶手术;针对三脑室型颅咽管瘤,该通道狭小,部分学者采取视交叉上间隙亦可切除肿瘤,但手术难度较高。
3、肿瘤毗邻关系,若肿瘤完全包饶血管、神经等重要结构,或开颅术后复
发者与周围结构黏连复杂,则经蝶手术难度更大,选择开颅手术可控性更高。
4、肿瘤质地、血供等因素,对实质性、质地韧、血供丰富的肿瘤,经蝶手术需要更高的手术技巧,应根据术者自身经验进行选择。
要根据肿瘤具体位置、大小及其与周边脑组织的关系,制定个体化手术入路,大而复杂的肿瘤可能需要联合不同入路手术。主刀医生的手术技术、手术团队的配合程度、术中高精尖医疗辅助设备的应用等,都是影响肿瘤切除程度和患者预后的重要因素。
得了颅咽管瘤,不管是选择开颅手术还是经鼻内镜手术,建议寻求在该手术领域具有丰富成功经验的专家进行,这是保障术后生活质量和相关功能的重要因素。
- 文章标题:脑瘤开颅还是从鼻子“钻”进去切?同为颅咽管瘤,他们的选择是……
- 更新时间:2025-08-25 18:17:53
400-029-0925




