他今年37岁,正是家庭中的顶梁柱,在职场上是同事眼中的工作狂,在生活中是妻子眼中的好丈夫。他一直是个充满活力的人,然而,近段时间以来,他发现自己的身体性能下降,越来越容易疲劳,工作效率大不如前。更让他苦恼的是,他出现勃起功能障碍,性生活的不协调给他原本幸福的婚姻生活蒙上了一层阴影。
工作与家庭中的双重困境对他造成了打击,他十分困惑,不知该如何面对这些问题,快乐与自信渐渐离他而去,他变得忧郁与沉默。在妻子温柔的鼓励下,他决定正视问题,去医院寻找答案,希望找回曾经的自己,重拾生活的激情。经过多方考察与慎重考虑,他向INC国际神经外科医生集团旗下世界神经外科顾问团(WANG)成员、世界神经外科学会联合会(WFNS)内镜委员会前主席Henry W.S.Schroeder教授(施罗德教授)寻求诊疗。
出人意料的是,这一切的源头竟是颅咽管瘤!幸运的是,通过施罗德教授的手术治疗,他脑部的颅咽管瘤实现了完全切除,近期在他生活中笼罩着的阴云终于消散了。

颅咽管瘤为何会引起身体性能下降与性功能障碍?一切还要从颅咽管瘤所处的位置说起。这是一种起源于拉克氏囊残留组织的良性肿瘤,大多数情况下发生于垂体柄区域,在这里有着视神经和垂体等重要结构。
颅咽管瘤生长缓慢,其症状主要通过对神经结构的压迫而表现。为人熟知的是,对视神经的压迫会导致患者出现视力问题,包括视野模糊、视力缺损等症状,甚至可能导致失明。而对垂体的压迫则会使人体的激素调节出现紊乱,从而导致患者出现多种复杂症状,这正则是让他感到疲劳与出现性功能障碍的罪魁祸首!
颅咽管瘤的典型症状
垂体腺是人体内分泌系统的核心调节器,负责分泌多种重要的激素,以维持身体各项功能的平衡。当颅咽管瘤压迫或破坏垂体腺时,会导致激素分泌的紊乱,从而对患者的生理和心理健康产生影响。
1、患者可能会注意到自身身体机能有所下降,感到体力不足,容易感到疲惫,对睡眠的需求有所增加。此外,由于激素失衡引起的水盐代谢紊乱,患者还可能会经常感到口干舌燥。
2、男性患者可能会遭遇性欲降低和勃起障碍的问题,而女性患者则可能面临月经周期紊乱和乳汁分泌异常等困扰。在这种情况下,颅咽管瘤可能会对患者的日常生活质量以及家庭关系造成负面影响。
3、激素不足还可能引发意识障碍甚至昏迷。意识障碍表现为注意力分散、记忆力下降、反应迟缓等症状。昏迷则是激素缺乏可能带来的另一个严重后果,甚至会导致生命垂危。
4、颅咽管瘤还可能导致第三脑室扩张,进而引起脑脊液积聚,从而导致患者出现与脑压迫相关的症状,如头痛、恶心和呕吐。而脑脊液潴留最终还可能发展为脑积水。
关于颅咽管瘤最佳治疗形式的问题有很多争议,目前没有大规模的研究能够无可争议地解决这一问题。从我们的角度来看,首选的治疗方法是完全切除肿瘤。因为手术可以治愈,尽管在完全切除后可能会复发。
由于这是一种良性肿瘤,部分切除肿瘤后进行放射治疗是第二选择。放射治疗的长期效果不容忽视。大手术的风险在于损伤间脑功能,可能导致身体内环境调节障碍直至昏迷。关键在于肿瘤对间脑(下丘脑)的浸润。
通常在手术过程中,肿瘤周围存在胶质带,这使得可以在不引起这些干扰的情况下完全切除肿瘤。肿瘤是否与大脑分界清楚只有在手术中才能显现,手术前无法确定。垂体柄通常无法保持功能(仅在小型肿瘤的情况下可能),因此手术后需要替代垂体激素。在颅咽管瘤手术中,内镜辅助显微外科技术已经得到了很好的应用。使用内镜,可以检查视交叉下和第三脑室内难以到达的区域。
——施罗德教授
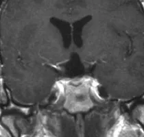
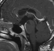
在寻找施罗德教授后,该患者向他叙述了自己的病史。他出现的主要症状包括疲劳、性能下降和勃起功能障碍,双颞侧偏盲。对于颅咽管瘤,磁共振成像(MRI)是首选的检查方法。该患者的MRI显示鞍上颅咽管瘤,肿瘤侵入第三脑室。内分泌检查显示垂体功能部分不足。


使用对比剂的T1加权矢状和冠状MRI图像显示鞍上和室内的颅咽管瘤(双颞侧偏盲)
在显微镜、内镜辅助观察下,施罗德教授通过前颞叶开颅手术,成功全切位于视觉神经之间的颅咽管瘤。同时,第三脑室内的肿瘤部分也在神经内镜辅助下切除。

在显微镜下通过终板切除肿瘤

在神经内镜下切除第三脑室内剩余的肿瘤
手术顺利,术后患者神经系统无新发异常表现。由于垂体功能不足,需要替代激素治疗。


术后复查MR:术后3年增强MRI显示肿瘤完全切除。
切除颅咽管瘤后,该患者的生活逐渐恢复正常。因为垂体功能不足,施罗德教授为他采取了使用替代激素的方案进行后续的治疗与改善。通过补充缺乏的激素,患者的身体情况逐渐好转,重新焕发出充沛的精力和活力。他能够重新高效地投入到工作中。与此同时,他的性功能与性欲也得到了恢复,这使得他的家庭生活重返和谐。他与伴侣之间的感情得到了进一步的加深,两人共同享受着幸福美满的生活。
通过施罗德教授的精心治疗,该患者不仅实现了颅咽管瘤的完全切除,还克服了术后激素不足的问题。这不仅是对他个人的巨大鼓舞,也为其他患者树立了信心。施罗德教授的医术和仁心,让患者重拾健康,重获幸福。
手术难点分析
该案例为侵犯第三脑室的颅咽管瘤,和垂体柄、视神经、下丘脑关系紧密,手术前已有明显内分泌功能障碍,手术难点主要在如下几方面:
1.解剖复杂性:第三脑室周围有很多重要的解剖结构,例如下丘脑、脑干、视交叉、颈内动脉、基底动脉等。手术中稍有不慎就可能损伤这些结构,导致严重的神经功能障碍,如视力损害、内分泌失调或意识障碍。
2.肿瘤大小与位置:巨大的颅咽管瘤会压迫或侵入第三脑室,导致脑积水、颅内高压等症状。肿瘤越大,切除的难度越大,特别是深入第三脑室深部时操作空间有限。
3.肿瘤性质:颅咽管瘤常含有囊性和实性部分,囊性部分可能含有大量胆固醇或蛋白质,给切除和控制出血带来挑战。实性部分与周围结构的粘连程度较高,增加了手术难度。
4.内分泌系统损伤风险:颅咽管瘤紧邻或压迫下丘脑和垂体柄,手术中易损伤这些结构,导致术后下丘脑-垂体功能障碍,出现如尿崩症、甲状腺功能减退、性腺功能减退等内分泌问题。
5.视路损伤风险:肿瘤往往位于视神经和视交叉附近,手术中需特别注意避免损伤视神经,防止术后视力丧失或进一步恶化。
6.手术入路选择:由于颅咽管瘤位于颅底和脑室深部,选择合适的手术入路(如经蝶窦入路、经额入路或经幕上-幕下入路)至关重要。不同入路有其优劣,入路不当可能增加手术并发症的风险。
7.术后并发症的预防与处理:巨大的颅咽管瘤手术后常见并发症包括脑积水、颅内感染、脑脊液漏和电解质紊乱等,术后管理和随访同样重要。
INC国际颅咽管瘤手术专家团
德国教授Helmut Bertalanffy

擅长领域:专研复杂脑瘤手术30余年,擅长大脑半球病变、脑干病变、脑血管疾病、脑内深层区胶质瘤、颅颈交界处的病变、听神经瘤、面神经鞘瘤等的肿瘤切除术、神经吻合术以及各种椎管内肿瘤切除术,拥有上千台脑干手术量,以精湛高超的技术手法和安全前提下高切除率手术而闻名世界,在中国患者群中被尊称为“巴教授”。
专注脑干、颅底等复杂手术30多年、上千台成功脑干手术记录:包括拥有上千台成功脑干手术记录,包括800台脑干胶质瘤成功案例、近400台脑干海绵状血管瘤成功案例等。大部分脑干肿瘤手术患者,术后ICU观察一天,气管插管不超过1天,术后很少有肢体瘫痪、颅神经损伤急需呼吸机支持、长期卧床的患者,这无疑是成功的高难度手术直接有效的证明。除了脑干,其他神经外科疑难的位置,如颅底、功能区、颅颈交界处、脊髓等也拥有众多成功手术病例,近几年他还为中国的患者进行了多台成功的疑难手术。
法国教授Sebastien Froelich

世界神经外科联合会(WFNS)颅底手术委员会前主席
法国巴黎Lariboisiere大学医院神经外科教授兼主席(2013年至今)
巴黎狄德罗大学医学院神经外科教授(2011年至今)
斯特拉斯堡大学医学院神经外科教授(2008年-2011年)
欧洲颅底学会执行委员会成员
法国斯特拉斯堡IRCAD Neuro-ENT-Skull基础课程主任
台湾IRCAD神经-ENT-Skull基础课程主任
福洛里希教授是国际知名的神经外科内镜手术专家。早在2011年,福洛里希教授团队就曾使用神经内镜经单鼻孔入路成功夹闭颅内前交通动脉瘤,这在世界神经外科领域内具有创新性。而后,福洛里希教授结合多年的手术经验又提出了具有重要意义的神经内镜“筷子”手法,使得手术操作由两人变为一人,很好地解决了手术过程中存在的配合问题,由此提高了手术效果和准确度。
福洛里希教授对于脊索瘤、脑膜瘤、垂体瘤、颅咽管瘤等都有大量的临床治疗经验,多采取神经内镜下颅内高难度位置的微创手术。他尤其擅长神经内镜鼻内入路的颅底肿瘤切除。他提出了克服脊索瘤的颅底基础方法、鼻内镜和下鼻甲联合皮瓣修复扩大鼻内入路后大面积颅底缺损的手术方法,这对于颅底脊索瘤的治疗、对于患者的预后具有重要意义。
德国教授Henry W.S.Schroeder

世界神经外科学会联合会(WFNS)内镜委员会前主席
欧洲神经内镜学会前主席
德国神经内镜和神经导航协会前主席
德国格赖夫斯瓦尔德大学(Greifswald University)神经外科教授兼主席
德国颅底外科学会科学委员会成员
Henry W.S.Schroeder教授是德国格赖夫斯瓦尔德大学(世界非常古老的大学之一,有三位诺贝尔奖校友)神经外科教授及主席,还是德国神经外科协会、神经外科医师大会、美国神经外科协会的成员。其主要研究领域包括垂体瘤、脑膜瘤以及其他颅内肿瘤的神经内镜手术、显微神经外科手术和显微颅底手术。
Henry W.S.Schroeder教授是国际神经内镜手术的高手,他拥有20余年的神经外科疾病咨询经验,擅长领域包括内镜神经外科(脑积水、囊肿、脑室内病变);内镜颅底手术(脑膜瘤、前庭神经鞘瘤、表皮样囊肿);鼻内镜颅底手术(垂体瘤);微创神经导航脑颅内手术;周围神经手术;癫痫手术等,擅长神经内镜下单鼻孔垂体瘤的微创手术治疗。经其神经内镜手术治疗的垂体瘤、脑膜瘤病例切除率高、治愈率高、复发率较低。
- 文章标题:性欲减退背后的真相:竟是颅咽管瘤在作祟!
- 更新时间:2024-12-10 17:09:20
400-029-0925




