颅咽管瘤到底能不能全切?
还要复发多少次?
手术和放化疗多少次?
生长发育受影响,还能恢复吗?
颅咽管瘤手术后的十八岁是怎样的?

“每个人都像天上的星星,都有其光芒,不管太阳出来,月亮出来,它都依然闪烁。”——《十八岁的天空》
小杰的18岁,有过往痛苦的记忆,更有今昔重获健康、神采奕奕的自己。这一年,他战胜了折磨他16年的颅咽管瘤。曾经的16年,他经历颅咽管瘤三次复发、四次手术、一次伽马刀……头痛、癫痫反复发作,身体发育严重受损,他较后究竟是如何获得良好治疗效果的呢?
颅咽管瘤16年三次复发,严重影响发育
2005年,小杰3岁。那时的他还是一个活泼可爱的小孩子,是全家的心肝宝贝,在早教中心也深受大家的喜爱。可是有一天,他在玩闹时突然倒地抽搐,面对家人和老师的召唤毫无反应,父母意识到这是孩子癫痫发作后,立即带他去医院救治。
经过一系列检查,当地医院神经外科医生告知小杰的父母,孩子突发癫痫是因为颅内长了颅咽管瘤造成的,想要解除肿瘤带来的危害,直接合适的办法就是手术切除。但是,由于肿瘤毗邻下丘脑、视神经、垂体柄等重要结构,在手术治疗中,由于瘤腔小、术野受限,不仅肿瘤难全切,还容易伤及周边重要脑神经和组织,导致失明等严重并发症,且残余肿瘤易复发。
无论如何,小杰父母还是希望通过手术治疗的方式,尽快解除孩子的痛苦。于是,他们去了国内医院找专家为孩子做手术治疗。令人痛心的是,术中损伤了视神经,术后小杰的右眼视力严重受损,只能对光做出反应,看不到其他任何东西。即便如此,一家人想到这起码能给孩子换来几年正常的生活,也勉强算是值得的。
可是,没想到术后一年半左右,颅咽管瘤卷土重来,再次引发头痛、癫痫等问题,此时他们决心前往医院做二次手术,希望这次能将肿瘤全部切除,把复发率降到较低。幸而此次手术并未造成其他并发症,但术后两年复查影像显示颅咽管瘤二次复发。这次小杰的父母不想让孩子再动手术,在查阅了很多相关资料后,他们与医生表达了放疗的诉求,于是小杰接受了伽马刀治疗。由于病情和放疗的副作用,小杰的一度精神状态较差,并且生长发育严重受限,10岁时身高有1.2米,后来接受了生长激素以帮助成长。

“磕磕绊绊”成长的小杰在13岁那年,颅咽管瘤三次复发,且病情危急,只能尽快手术切除肿瘤,于是他接受了三次开颅手术……
颅咽管瘤治疗的关键:顺利全切
在小杰接受了三次手术、一次伽马刀后,父母就做好了心理准备,十余年的曲折治疗之路让他们不敢轻易放松,半年复查一次,希望及时知晓病变的进展和复发情况。在此期间,他们查阅了很多相关资料和国际论文,发现如果能够手术全切,那么颅咽管瘤的5年复发率将会越来越低,但是未能全部切除+放疗,五年内的复发率则越来越高。对于颅咽管瘤的治疗,归根结底,顺利全切是较重要的。

坚定了“需手术全切”的治疗理念后,小杰的父母查阅了更多的患者治疗故事,并且经病友,找到了INC旗下国际神经外科顾问团(WANG)的专家成员Helmut Bertalanffy(巴特朗菲)教授,他是国际神经外科联合会(WFNS,World Federation of Neurosurgical Societies)现任教育委员会主席,欧洲神经外科期刊《Neurosurgical Review》主编,多种脑干手术入路的提出者,这位享誉国际的神经外科专家,对于脑干、松果体、胼胝体等疑难位置病变的手术有着丰富的经验。

既然这位教授能在这些疑难位置顺利切除肿瘤,那么切除颅咽管瘤更不在话下,小杰父母这样认为。于是在三次手术后不久,也是肿瘤再次复发时,他们毫不犹豫地拨通了INC的电话,带着“能否顺利全切肿瘤”的疑问选择了远程咨询INC德国巴特朗菲教授。
巴特朗菲教授回复:如果采用术中核磁共振成像,那么我可以近乎全切切除肿瘤,手术的目的是去除该区域全部可见的肿瘤部分,术中风险很低。术后可辅助质子治疗控制复发,精确的内分泌管理也是必要的。

巴教授远程回复邮件
得到这样的答复后,小杰父母放心下来,正如病友所说,教授可以将手术切除率和风险发生概率精确到百分之几,这是很多专家都无法做到的,足以看出教授的手术经验和技术。小杰父母信任教授,二天便在INC工作人员的协调下准备出国手术的相关材料,很快就抵达了德国。
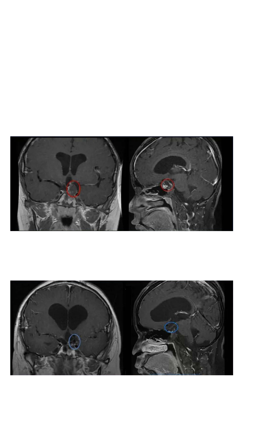
巴特朗菲教授在德国INI的术中磁共振复合手术室为小杰顺利进行了手术,肿瘤得到了全切,没有出现任何严重的神经损伤。

术后2天,小杰转出ICU,转至普通病房,左眼视力没有受到新的损伤。而且人是完全清醒状态,能够对答如流。术后一周,患者可自行下地行走,未出现任何并发症,精神状态较好,这让一家人完全放心下来。

INC巴特朗菲教授术后三个月的随访回复
小杰的家人再次联系INC,希望由巴特朗菲教授评估一下术后三个月的影像资料,INC巴特朗菲教授很快回复邮件:“我研究了患者2020年5月8日的MRI对照,无肿瘤复发,影像也无明显问题,建议6-8个月再次复查对照。”
看到孩子手术后恢复得这样好,小杰的妈妈感慨说:早知道还有这样的全切可能,应该一台手术就由巴教授主刀,孩子视力也不会受到损伤,也不用做那么多次开颅手术。但不管怎样,现在我们都足够幸运了,感谢巴教授和INC工作人员的帮助!
颅咽管瘤手术治疗总结
颅咽管瘤手术治疗有多种手术入路,入路的选择应根据肿瘤的大小、生长部位、肿瘤的钙化程度、接近脑脊液通路的便利程度来决定。小杰的主刀医生INC巴特朗菲教授会根据患者具体情况选择创伤小、预后好的手术入路,这也是能做到手术顺利全切的重要原因。
需要指出的是,颅咽管瘤的复发或放疗后行二次手术比一次手术更加困难,即使主张一次手术行根治性切除的医生也认为,再次手术危险性明显增高。毫无疑问,复发或曾接受放疗的肿瘤,手术时蛛网膜界面的定位和疤痕的分离变得更加困难。然而,当主治医师拥有高超的手术技术和丰富的经验时,这些情况也并不妨碍肿瘤的成功切除,小杰的成功手术就说明了这一事实。
颅咽管瘤到底能不能全切?
还要复发多少次?
手术和放化疗多少次?
生长发育受影响,还能恢复吗?
……

Eighteen-year-old Sky
颅咽管瘤手术后的十八岁是怎样的?
颅咽管瘤到底能不能全切?
还要复发多少次?
手术和放化疗多少次?
生长发育受影响,还能恢复吗?
……

Eighteen-year-old Sky
颅咽管瘤手术后的十八岁是怎样的?
颅咽管瘤到底能不能全切?
还要复发多少次?
手术和放化疗多少次?
生长发育受影响,还能恢复吗?
……

Eighteen-year-old Sky
颅咽管瘤手术后的十八岁是怎样的?
- 文章标题:颅咽管瘤手术风险大吗?16年3次复发,癫痫、发育迟滞,还能挽救吗?
- 更新时间:2022-08-04 14:43:00
400-029-0925




