
颅咽管瘤的阴霾,笼罩在安达的童年中长达5年,从7岁一直到12岁。“不敢轻易手术,怕一手术人就没了,如果只切一点,这种脑瘤也会很快复发,孩子白遭罪了……”安达的父母彻夜难眠,终究还是无法抉择,只好选择继续观察等待。
直到安达12岁时抱怨自己看不清黑板上的字,父母这才意识到,等待只会让病情一步步加重。于是,他们将目光重新投向手术,这仿佛是他们能抓住的最后稻草。
“这个肿瘤可不好切,”面对医生的摇头叹息,安达父母再一次陷入绝望,“你们看,孩子的肿瘤位置很深,现在已经对视神经产生压迫了,所以孩子才会出现视力下降。你们想要全切除,手术难度太大了,弄不好会失明,而且术后还可能导致终生的内分泌功能障碍, 严重影响生活质量。”
原来这根“救命稻草”也不是谁都能抓住的,但不幸中的万幸是,安达父母的一次勇敢,让他们紧紧抓住了!安达不仅安全全切了这个恼人的肿瘤,更在随访的7年内从未复发。期间,安达还与大部分学生一样,穿上了毕业服,顺利从高中毕业!如今,安达已经回到正常的生活节奏中。阴霾散去,阳光终至。
PART 01 被脑瘤“狂魔”蚕食的视力
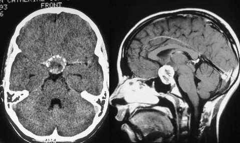
颅咽管瘤堪称脑瘤中的“狂魔”,虽然是良性肿瘤,却实在是无恶不作。它通常隐藏得很好,等到被发现时就已经体积巨大了。这样一块“巨瘤”蜗居在孩子小小的脑袋中,宛如巨石阻挡了脑脊液的正常流通循环,从而导致孩子出现头痛、呕吐等症状。
此外,还有很多颅咽管瘤患儿身材矮小、精神萎靡、面色晦暗、营养状态差、发育落后、多饮多尿……这个脑瘤“狂魔”就像寄居生物般蚕食着身体的营养和功能,并以此滋养自身。而它还有一个广为人知的爱好——喜欢“吃掉”孩子的视力。
视交叉受压
视交叉位于鞍区上方,颅咽管瘤向上生长(如向鞍上扩展)可直接压迫视交叉。常见的症状有双颞侧偏盲,如果肿瘤偏向一侧压迫视束或未交叉的纤维,则可能出现同向性偏盲。
视神经或视束受压
肿瘤向前上方生长可压迫单侧或双侧视神经,导致视力下降、中心暗点或失明。向后外侧生长可能压迫视束,引起对侧同向性视野缺损。
颅内压增高
但颅咽管瘤处于晚期,可导致视乳头水肿,进一步损害视功能,但一般少见。
血管压迫
当肿瘤压迫视路的供血血管,如垂体上动脉分支,就会导致视觉通路缺血性损伤。
肿瘤相关炎症或囊液渗出
颅咽管瘤的囊性成分可能破裂或渗漏,引发局部炎症反应,加重周围组织(包括视神经/视交叉)水肿。
不幸的是,安达到了12岁时,已经开始出现视力下降的问题,再不手术,安达很有可能逐渐失明,父母明白,此时的形势已经无法再等下去了。

可是被医生告知了手术难度,无法全切就意味着孩子往后还会多次复发,肿瘤始终如影随形,他们决定既然要手术,就必定先追求全切!于是,在朋友的推荐下,安达一家来到了加拿大多伦多大学SickKids儿童医院,找到国际知名的儿童神经外科专家James T. Rutka(鲁特卡)教授,希望他能为安达带来不一样的希望。
PART 02 成功全切,他们见证她的毕业
鲁特卡教授很快对安达的病情进行全面分析,最终确定了一个手术方案,在与安达家人进行沟通并取得同意后,一场承载着一个小女孩未来的手术正式开始了。

在手术室外等待良久,安达父母听到了一个好得不能再好的消息:“手术顺利,肿瘤已经被安全全切了!”
“太感谢您了,鲁特卡教授,真的太感谢了……”安达父母双手合十,连声感恩,孩子的未来就这样被一场手术托举。在鲁特卡教授为安达随访的7年时间里,安达不仅没有复发,还在17岁时顺利从高中毕业,她的父母也再一次对教授表达感激。

INC 国际小儿神外专家团
国际儿童神外大咖 James T. Rutka教授

教授教授发表超过500多篇高影响力论文,在临床上的研究方向以颅内肿瘤为主,对胶质瘤、纤维瘤、颅咽管瘤、室管膜瘤具有多年的临床经验,擅长清醒开颅术、显微手术和被广泛用于治疗恶性脑瘤和癫痫的国际前沿技术激光间质热疗(LITT)技术经验,对于儿童胶质瘤,尤其是高级别胶质瘤开展多项临床试验,其所在的医院加拿大SickKids是国际知名的儿童医院之一。
国际脑干手术大咖 Helmut Bertalanffy教授

教授擅长颅底、脑干病变、功能区、大脑小脑、脊髓等复杂位置的肿瘤性、血管性疾病的手术治疗,尤其擅长颅底、脑干等复杂区域病变的肿瘤切除术、神经吻合术等,脑干病变成功手术病例近千台,以精湛高超的手术技术不损伤神经功能且全切病变。巴教授历经千万个小时用超精确的物理剥除诠释了医术为何为艺术。
国际儿童神外专家 Concezio Di Rocco教授

自2014年5月起,Di Rocco教授就担任了德国汉诺威国际神经科学研究所(INI)的儿科神经外科主任。从事儿童神外事业50余年,Di Rocco教授尤为擅长小儿神经纤维瘤、癫痫、脑积水、蛛网膜囊肿、颅缝早闭、脑和脊髓肿瘤、脑和脊柱畸形(半椎体畸形,皮质发育不良,脊髓脊膜膨出,脊髓内脂肪瘤,Arnold-Chiari畸形等)难治病症方面的治疗,曾进行过12000多次神经外科手术。
- 文章标题:“脑瘤再狂又能怎?”颅咽管瘤折磨她5年,勇敢切瘤后7年未复发、顺利毕业!
- 更新时间:2025-07-17 16:22:59
400-029-0925




