9岁的池池热爱冰球
他还凭借自己的努力参加了很多冰球比赛
然而,在一次比赛中
他突然双眼发黑
此后更是一发不可收拾
头痛、视野模糊……
因为一个颅咽管瘤
他的运动和生活全都按下暂停键

所幸,在鲁特卡教授的手术后
池池的肿瘤被安全切除
他又能重返热爱的赛场了!

当生活的歌谣再次播放
池池的人生也被重启
术后近3年
池池寄来一封贺卡
照片上的他仍然在冰球场上驰骋!
颅咽管瘤:撕开它的良性伪装
颅咽管瘤,虽是良性肿瘤,却被称为“最可怕的颅内肿瘤”,主要原因就在于肿瘤毗邻垂体柄、下丘脑等重要结构,位置深、手术难度大、并发症多,患儿的预后也较差,且易复发。
这种良性脑瘤很难通过一次手术彻底摆脱,即使手术治疗后也需要内分泌学科、内科等医生的长期随访。时至今日,颅咽管瘤仍是儿童和成人极为难治的脑肿瘤之一。
尽管如此,颅咽管瘤诊治中国专家共识(2024版)仍然指出,颅咽管瘤的治疗策略始终是通过全切除肿瘤,彻底治愈患者。手术仍是颅咽管瘤主要的治疗手段,在充分保护垂体-下丘脑功能及视路结构的前提下积极追求全切除,是保证患者长期生存的基础。
同时,由于颅咽管瘤大多数是囊性的,内含黄褐色内燃机油样囊液,只有10%左右为完全实质性,因此在手术方法上也有了更多新选择……
手术治疗:多种新方法带来更多希望
01 Ommaya囊

1963年,Ayub Khan Ommaya发明了“Ommaya囊”,目的是为了给脑感染和癌症患者提供更好的脑室内治疗通道,避免连续腰椎穿刺引起的不适感。但如今,Ommaya囊常用于中枢神经系统化疗给药以及脑脊液采样。
Ommaya囊由一个蘑菇形的自密封储液囊和一根引流管组成,导管可通过颅骨的小孔到达侧脑室,储液囊的圆顶可以用来进行多次自密封穿刺。随着高分辨率成像技术和神经导航技术的进步,Ommaya囊的应用范围及治疗有效性也在不断提高。
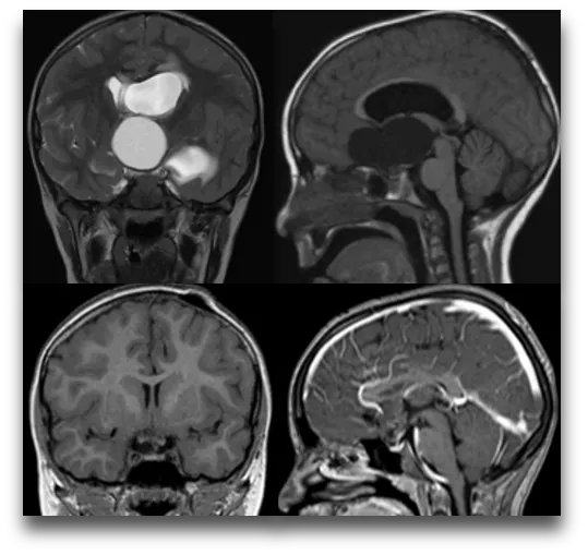
2022年,鲁特卡教授发表研究称,患有颅咽管瘤的儿童可能会因大范围的切除手术或放疗而出现严重的并发症。将Ommaya储液囊植入到囊性颅咽管瘤中是一种总体发病率较低的微创手术方法,可立即减压,并避免额外的伤害,患儿的内分泌功能也得以保留。

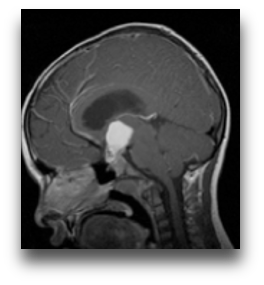
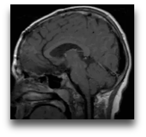
下面这个案例来自鲁特卡教授曾接诊过的一位9岁患儿。她因头痛及视野受限被诊断出一个巨大囊性颅咽管瘤,在经过VP分流术并植入Ommaya储液囊后,肿瘤体积明显缩小,在MRI上几乎看不到。

02内镜经鼻入路(EEA)

此外,在鲁特卡教授近期来华开展学术沙龙时,曾特别提到儿童颅咽管瘤治疗中的另一种方法——内镜经鼻入路手术,并认为该入路具有良好的治疗效果而逐渐成为优选方法。

有没有可以不开颅就切除颅咽管瘤的方法?内镜经鼻手术提供了可能。内镜下经鼻入路切除颅咽管瘤相较于开颅手术有着独特的优势,在提高切除率和视力改善方面也可能优于经颅入路,且不会引起脑牵拉引起的组织损伤。
2023年的一项研究也指出,近年来颅咽管瘤的内镜经鼻入路(EEA)已被证明是广泛切除颅咽管瘤的安全选择,与经颅入路(TCA)相比,这一入路对视神经的损害较小,并且对垂体的可视化效果非常好。EEA有着更高的视力改善率(41.96%vs 25%)及更低的复发率(15.50%vs 21.20%)。说明EEA切除颅咽管瘤与更好的视力保留和肿瘤切除范围相关。

然而,EEA所产生的脑脊液渗漏仍然是重要的问题之一,尽管这种并发症发生率随着时间的推移有所改善。开颅和经鼻两种手术方案都是安全的。但是值得注意的是,与另一种技术相比,一种技术的选择应根据患者和肿瘤解剖结构、激素功能和既往治疗情况量身定制,并为每个手术病例制定具体手术方案。
*内容来源:Figueredo LF,Martínez AL et al.Current Role of Endoscopic Endonasal Approach for Craniopharyngiomas:A 10-Year Systematic Review and Meta-Analysis Comparison with the Open Transcranial Approach.Brain Sci.2023 May 23;13(6):842.
Rutka JT et al.Preservation of endocrine function after Ommaya reservoir insertion in children with cystic craniopharyngioma.J Neurooncol.2022 Sep;159(3):597-607.
*案例均来自Rutka教授演讲分享
- 文章标题:冰球运动员重返赛场!治疗颅咽管瘤,国际上有了新方法,不开颅成优选?
- 更新时间:2025-08-26 17:22:38
400-029-0925


