颅咽管瘤临床症状有哪些?颅咽管瘤起源于颅咽管原始发生通路上的胚胎残留上皮细胞,肿瘤沿颅咽管路径(至灰结节)生长,位置深在且多变,毗邻下丘脑、视神经、垂体柄等重要结构。大部分颅咽管瘤属WHOⅠ级肿瘤、生长缓慢,但仍有少部分肿瘤具有恶性生长特性,呈指状侵袭生长。大多数颅咽管瘤患者临床诊断时即已出现不同程度的下丘脑-垂体功能紊乱、视力视野损害或颅内高压等症状,患者一般临床状况较差,颅咽管瘤属于良性病理、恶性临床结果的肿瘤,特别是儿童如果患有颅咽管瘤,有导致一系列生长发育相关的临床症状,具体临床症状如下:
1、颅内压增高症状头痛、呕吐、视乳头水肿、外展神经麻痹、精神状态改变等。还要儿童头围增大,头部叩击呈破罐声、头皮静脉怒张等。
2、视神经、视交又受压症状可表现为视力减退、视野缺和眼底变化等,如双侧下象限盲,提示压迫由上向下;鞍内型肿瘤由下向上压迫视交叉,产生视野缺损特点与垂体瘤相同。视力减退与肿瘤直接压迫视路和颅高压引起的视乳盘水肿导致视神经萎缩有关,视路血循环障碍而致突发失明。
内分泌功能障碍肿瘤压迫垂体和/或下丘脑所致。垂体前叶4种激素的分泌减少,产生相应症状,如儿童生长激素减少导致身体发育障碍、身材矮小;促性腺就素减少致性器官发育障碍,女孩无月经、乳房不发育,男孩睾丸小、无阴毛;抗利尿激素减少出现尿崩症;泌乳素分泌异常导致闭经-泌乳综合征。
4、邻近症状海绵窦综合征、蝶窦损害致鼻出血、脑脊液鼻漏等;额叶精神症状、颞叶癫痫发作、脑干及小脑受压症状。

颅咽管瘤影像学表现有哪些?
根据颅咽管瘤与鞍隔的关系,分为鞍内型、鞍上型、鞍内鞍上型和脑室内型,其中以鞍上型比较常见,但颅咽管瘤也可以发生在Rathke囊移行的其它部位。按照颅咽管瘤实性和囊性结构比例不同,常分为囊性、囊实性和实性三类,以囊实性多见。由于颅咽管瘤囊液所含成分不同,导致MRI信号多种多样,囊性和囊实性颅咽管瘤的囊性部分平扫大多呈长T1长T2信号,短T1信号主要是由于囊内含角化蛋白、液态胆固醇或亚急性出血所致,长T2信号是由囊内胆固醇含量决定的,部分患者囊内见有结晶、附壁结节及分层现象。增强后,囊性和囊实性颅咽管瘤囊壁常见弧形或环形强化,囊液不强化,囊内结晶及附壁结节强化为其特征性征象。实性颅咽管瘤及囊实性颅咽管瘤的实性部分,多表现为等T1或长T2信号,DWI常呈现低信号,增强后明显均匀或不均匀强化,常见典型的“椒盐征”[10]。由于囊内或囊壁钙化所含成分不同,可以表现为短T1、等T1和长T1信号,但在T2WI上均呈现短T2信号。CT发现囊内斑块状或囊壁环形钙化,有助于颅咽管瘤的诊断。颅咽管瘤的MRI表现多种多样,囊性和囊实性颅咽管瘤主要表现为:囊内发现结晶或分层,囊壁弧形或环形强化,结晶及壁结节明显强化。实性颅咽管瘤主要表现为:DWI低信号、增强明显强化、典型的“椒盐征”。不典型的颅咽管瘤需依赖手术及病理检查确诊。
颅咽管瘤如何治疗?
确诊颅咽管瘤后需要尽快进行治疗,然而颅咽管瘤由于毗邻人脑两大内分泌中枢——下丘脑和垂体,附近还有视神经、颈动脉、视神经等复杂结构,稍有不慎将严重损害病人的生理功能。手术风险太大,难度较高,如果切除不干净还较易复发。所以寻求经验丰富的医生进行主刀手术,一次全切肿瘤重要。
INC德国巴特朗菲教授儿童颅咽管瘤治疗案例一则
患者情况:3岁患者在一次玩闹时突然倒地抽搐,父母立即带他就医,检查提示为颅咽管瘤,虽然这是一种良性肿瘤,但却较易复发,治疗的关键是手术全切肿瘤。一次手术并未全切且造成右眼视力受损,造成了10年艰难求医路,四次复发,三次开颅,一次伽马刀,从当地医院到医院,肿瘤依旧没有得到全切,头痛、癫痫等问题始终困扰着小患者,伽马刀治疗也让处于青春期的他发育迟缓。
赴德治疗过程:多方查询后,小杰父母找到了INC德国巴特朗菲教授,这位享誉国际的神经外科专家,较为擅长治疗疑难脑瘤,于是远程咨询巴教授是否能顺利全切肿瘤。巴特朗菲教授回复:可以顺利切除,几乎全切。收到教授肯定的回复,小杰一家在INC工作人员协调下飞往德国接受手术。手术顺利顺利全切肿瘤。
术后情况:术后2天出ICU,转至普通病房,无新发神经损伤。小杰状态清醒,能够对答如流。术后一周,便可自行下地行走。术后三个月复查,肿瘤没有复发迹象,这也让一家人完全放心下来。

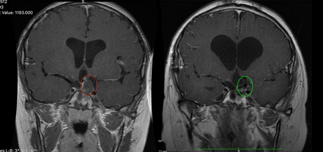
术前术后MRI对比,红色为术前肿瘤位置,绿色为术后切除效果
颅咽管瘤的复发或放疗后再行手术比一次手术更加困难,小患者妈妈感慨说:早知道有这样的全切可能,应该一台手术就由巴教授主刀,但不管怎样,现在我们都足够幸运了,感谢巴教授和INC工作人员的帮助!
- 文章标题:颅咽管瘤临床症状有哪些?颅咽管瘤影像学表现是什么?
- 更新时间:2022-05-17 17:23:48
400-029-0925


