颅咽管瘤到底能不能全切? 还要复发多少次? 手术和放化疗多少次? 生长发育受影响,还能恢复吗? 经历了千辛万苦的治疗,却又功亏一篑肿瘤复发,对任何一个病患而言,都是一场噩梦。对于脑肿瘤患者亦如是,他们惧怕病情反复,但无奈的是,很多病患家庭陷入复发的魔咒。 颅咽管瘤未全切会怎样...
颅咽管瘤到底能不能全切?
还要复发多少次?
手术和放化疗多少次?
生长发育受影响,还能恢复吗?
……
经历了千辛万苦的治疗,却又功亏一篑肿瘤复发,对任何一个病患而言,都是一场“噩梦”。对于脑肿瘤患者亦如是,他们惧怕病情反复,但无奈的是,很多病患家庭陷入复发的“魔咒”。
颅咽管瘤未全切会怎样?
如果没有病魔,他将是一个健康的青春男孩,他已经和颅咽管瘤纠缠了15年之久……
2005年,小凯因癫痫发作查出“颅咽管瘤”,进行了第一次手术,但术后右眼失明了,只能对光做出反应,看不到其他任何东西。
但一年半后又复发了,后第二次手术。接着两年后又发作,这一次进行了伽马刀治疗,其后每半年进行一次MRI检查,直到2017年。
由于之前的治疗,小凯的身高发育受到影响,10岁时才有1米多高,医生决定使用生长激素帮助成长。
可怕的是,病魔再一次袭来,肿瘤再一次明显增大,于是进行第三次手术,但不久后在2019年复查MRI时,颅咽管瘤还是复发了。
小凯脑肿瘤反复发作的根源,手术后肿瘤残留过多是关键。颅咽管瘤的治疗,要全部和安全的切除肿瘤是重要的,同时必须保留神经、垂体,保障患者正常的发育生长。
第四次手术,究竟还能有多少效果?小凯父母不知道,但是他们依然想要为孩子争取更好的预后。而这一次他们找到了巴教授,肿瘤顺利全切。

小杰的术前术后MRI对比,红色为术前肿瘤位置,绿色为术后切除效果
颅咽管瘤复发”魔咒“怎么破?
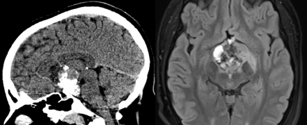
视力模糊、剧烈头痛,14岁的小K从未想过会查出颅咽管瘤。肿瘤位于视交叉后方,而且出现明显的钙化,这也是颅咽管瘤的显著特征。


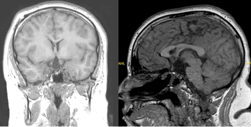
小K父母找到INC另一位儿童神经外科大咖鲁特卡教授。教授先进行VP分流术缓解脑积水。鲁特卡教授认还通过内镜经鼻入路为小K手术,不开颅顺利全切了肿瘤。

术后,小K的视力得到改善。这是小K的第一次手术,全切是良好预后的基础,他至今未复发。

小K一家与鲁特卡教授(左一)合影
对于颅咽管瘤以及其他复杂位置的脑肿瘤患者来说,手术切除难度较大,风险较高,这需要成熟的手术团队明确好安全的手术技术、手术入路等。比如有的颅咽管瘤可能更适合经鼻神经内镜切除,而有的需要开颅手术,但具体仍要根据肿瘤位置严格把控。
- 文章标题:颅咽管瘤手术未全切会如何?反复手术及放疗的尽头在哪里?
- 更新时间:2025-09-24 11:33:29
-
手术室内的分秒必争,手术室外的焦急等待 Thank you!Thank you very much!手术室外,李奶奶...
2023-03-29 22:03:46
-
儿童颅咽管瘤术后效果?儿童颅咽管瘤是一种少见的儿童肿瘤,起源于咽喉胚胎发育时期...
2023-12-29 17:01:02
-
颅咽管瘤切除手术时间?颅咽管瘤切除手术的时间取决于多种因素,包括 肿瘤的大小、...
2024-01-10 19:12:00
-
12岁的果果安静地躺在病床上,从2012年开始,医院似乎已经成为他较熟悉的地方。先是患...
2022-05-19 17:34:56
-
颅咽管瘤是一种良性肿瘤,被认为是儿童时期生长缓慢的肿瘤。既往报道因手术时肿瘤体...
2020-10-20 10:54:26
-
颅咽管瘤术后心跳快怎么回事?可能是这5点影响!手术是颅咽管瘤治疗的主要手段之一...
2023-12-18 17:17:54
-
颅咽管瘤在大脑区域发展,周围有许多关键结构,包括视觉通路、垂体、下丘脑、颞...
2020-07-02 13:49:57
-
颅咽管瘤导致的视力下降往往悄无声息,许多患者在INC国际神经外科教授接诊时,病情已...
2025-07-30 14:13:23
-
儿童颅咽管瘤能治好吗?即使颅咽管瘤毗邻关系复杂,完全切除手术难度大、创伤大、并...
2022-03-29 17:10:26
-
颅咽管瘤手术后并发症多久能好转?颅咽管瘤手术是一项复杂的手术,术后可能会出现一...
2024-01-03 17:45:47
-
颅咽管瘤严重吗栏目主要为患者科普颅咽管瘤对身体的影响,如:颅咽管瘤危害、能活多...
2022-06-03 09:19:46
-
颅咽管瘤是一种生长缓慢的肿瘤,由于治疗前后可能出现长期的生理和心理并发症,需要...
2022-07-05 22:48:42
-
颅咽管瘤是儿童下丘脑和鞍上区较常见的病变,外胚叶形成的颅咽管残余的上皮细胞,发...
2020-05-04 22:02:44
-
鲁特卡教授2026来华行程更新 1月24日 开展面对面咨询及手术交流 说起颅咽管瘤,很多人...
2026-01-13 11:04:43
-
颅咽管瘤没有切除干净多久能复发?颅咽管瘤的复发时间可以因肿瘤的特征和治疗情况而...
2023-12-29 17:31:03
-
颅咽管瘤多久会复发?颅咽管瘤的复发时间并不具有完全确定性,因个体差异而不同,无...
2023-12-27 16:56:34
-
颅咽管瘤影响身高吗?颅咽管瘤是一种发生在脑部鞍上区的肿瘤,它起源于胚胎时期的颅...
2023-12-27 16:39:33
-
做了颅咽管瘤手术后几天可以下床?颅咽管瘤手术后的具体康复时间会因个体差异、手术...
2023-12-26 16:48:01
-
颅咽管瘤是一种良性肿瘤,虽然起源于垂体到下丘脑之间的很短一节垂体柄,但它能够生...
2024-11-02 13:14:34
-
颅咽管榴是多年来引起神经外科医师较大关注的一种良性肿瘤,其完整切除和治愈的可能...
2022-06-22 17:26:54