小俊虽然只有13岁,却早已经历3次颅咽管瘤复发。
“为了保功能,每次只能切一部分,可是不全切迟早又会复发,孩子简直太遭罪了,仿佛陷入恶性循环……”
对于无数颅咽管瘤患儿和家庭来说,小俊的遭遇只是其中的一个缩影,背后却是无数家庭的无奈。
这个难缠、反复的脑瘤,成为很多人的噩梦。它生长缓慢,是难以通过明显症状被察觉的“隐匿杀手”;它位于脑深部,手术入路难以轻易抵近;它与垂体、下丘脑、视交叉关系紧密,全切和保功能大多数时候成了一道单选题;它复发率高,甚至可能需要终生的内分泌管理……

对付这种脑瘤,有哪些治疗手段?如何避免术后可能出现的并发症?为了解决儿童颅咽管瘤的治疗困境,INC儿童脑瘤大咖James T. Rutka(鲁特卡)教授曾发表一则研究,并详细阐述了颅咽管瘤的治疗现状及预后。
颅咽管瘤四大“热知识”
01.临床表现
颅咽管瘤患儿受到影响的临床症状通常与内分泌功能障碍有关,由于肿瘤生长缓慢,他们在确诊前症状通常已经存在一年或以上。据报道,有93%的儿童无法正常发育成长,通常是由甲状腺功能减退或生长激素缺乏导致的。还可观察到视力丧失、头痛、呕吐、昏睡、性格冷漠、大小便失禁、精神沮丧、记忆力减退和精神改变。
02. 好发部位
颅咽管瘤通常起源于鞍上区垂体柄(与视交叉毗邻),小部分肿瘤起源于蝶鞍内,极少数起源于视觉系统或第三脑室内,通常发生在Rraske囊的上皮残余物中。
尽管这些病变的组织学外观是良性的,但它们是局部侵袭性的,手指状的附件会侵入邻近的关键结构,如视神经、垂体、下丘脑、第三脑室和血管。其成分主要是囊性的,而在大约30%的情况下,会发现一个带有一个或多个囊肿的小型实体瘤。

03. 鉴别诊断
CT和MRI都可用于诊断。脑部CT通常显示囊性肿块伴钙化。脑积水在放射学上并不罕见。MRI精确显示了肿瘤块,其总体形态及其与血管和主要颅内动脉的关系。对比增强通常可明确囊壁,并可以观察到肿瘤的实体部分。

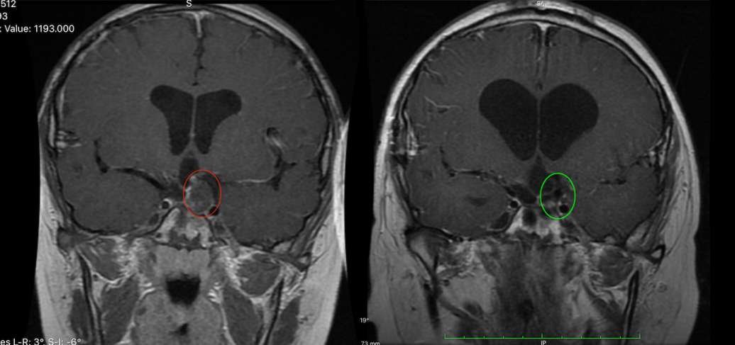
图为小俊手术前后对比,肿瘤顺利切除
04. 治疗方法
手术是治疗颅咽管瘤的主要手段。颅咽管瘤的手术治疗,应在充分保护垂体-下丘脑功能及视路结构的前提下积极追求全切除,这是保证患者无瘤长期生存的基础。颅外入路、经颅入路、经颅经脑入路等均被用于肿瘤切除。手术医生应该根据不同分型的颅咽管瘤,在不同入路的优势和使用不同入路的代价之间进行权衡,选择更佳预后的入路。
颅咽管瘤虽然是良性肿瘤,但位置深在,毗邻重要神经血管结构,部分患者手术难度较高。因此,三维适形放疗、立体定向放疗、Ommaya囊植入并核素内照射、化疗等治疗方式仍然在广泛使用。
其中,Ommaya储液囊通常用于排泄胆囊部分,一般将其放置在开放手术或立体定向手术中,通常涉及使用神经内窥镜或术中成像。
鲁特卡教授在另一则研究中称,患有颅咽管瘤的儿童可能会因扩大的手术和/或放疗而出现严重的并发症。Ommaya 储液囊植入(ORI)到囊性肿瘤中是一种微创方法,可立即减压,并避免额外的伤害。

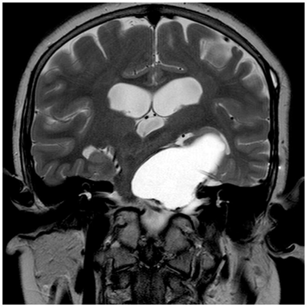
囊性颅咽管瘤用Ommaya储液囊保守治疗,上图为置入Ommaya储液囊之前

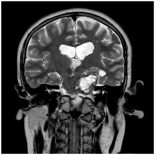
囊性颅咽管瘤用Ommaya储液囊保守治疗,上图为置入Ommaya储液囊之后以及反复拍打之后,囊肿大小明显减少
立体定向放射外科手术和分段立体定向放射治疗正越来越多地用于小儿颅咽管瘤的治疗,从而提高了肿瘤控制率。此外,使用钇90或磷32进行腔内照射也是囊性颅咽管瘤的一种选择。据报道,使用这种技术使囊性颅咽管瘤得到良好的长期控制效果。
内容来源:Nejat F, El Khashab M, Rutka JT. Initial management of childhood brain tumors: neurosurgical considerations. J Child Neurol. 2008 Oct;23(10):1136-48.
INC 国际小儿神外专家团
国际儿童神外大咖 James T. Rutka教授

教授教授发表超过500多篇高影响力论文,在临床上的研究方向以颅内肿瘤为主,对胶质瘤、纤维瘤、颅咽管瘤、室管膜瘤具有多年的临床经验,擅长清醒开颅术、显微手术和被广泛用于治疗恶性脑瘤和癫痫的国际前沿技术激光间质热疗(LITT)技术经验,对于儿童胶质瘤,尤其是高级别胶质瘤开展多项临床试验,其所在的医院加拿大SickKids是国际知名的儿童医院之一。
国际脑干手术大咖 Helmut Bertalanffy教授

教授擅长颅底、脑干病变、功能区、大脑小脑、脊髓等复杂位置的肿瘤性、血管性疾病的手术治疗,尤其擅长颅底、脑干等复杂区域病变的肿瘤切除术、神经吻合术等,脑干病变成功手术病例近千台,以精湛高超的手术技术不损伤神经功能且全切病变。巴教授历经千万个小时用超精确的物理剥除诠释了医术为何为艺术。
国际儿童神外专家 Concezio Di Rocco教授

自2014年5月起,Di Rocco教授就担任了德国汉诺威国际神经科学研究所(INI)的儿科神经外科主任。从事儿童神外事业50余年,Di Rocco教授尤为擅长小儿神经纤维瘤、癫痫、脑积水、蛛网膜囊肿、颅缝早闭、脑和脊髓肿瘤、脑和脊柱畸形(半椎体畸形,皮质发育不良,脊髓脊膜膨出,脊髓内脂肪瘤,Arnold-Chiari畸形等)难治病症方面的治疗,曾进行过12000多次神经外科手术。
- 文章标题:颅咽管瘤多次复发怎么办?13岁男孩的治疗希望竟来自……
- 更新时间:2025-08-08 15:57:29
400-029-0925



