6个月急速痴呆、10天昏迷、失禁……幕后黑手竟是深藏颅底的巨型肿瘤!
脑瘤侵袭第三脑室,包裹垂体柄,挤压视神经,紧贴下丘脑。
如此绝境,这位INC国际大咖却能实现安全全切、两年零复发!

“老年痴呆”症状背后的致命危机
“Klaus,你上个月刚说的事怎么又忘了?”
家人发现,一向精明的Klaus开始频繁忘记带钥匙、反复询问同一件事,甚至半夜在客厅茫然打转。
起初以为是老年痴呆,但短短6个月内,他的认知能力断崖式下降,更出现小便失禁、口渴狂饮却依然脱水的怪象。
直到一次突然昏迷送医,影像检查揭开了惊心动魄的真相——Klaus的大脑深处,一颗大型肿瘤正悄然侵蚀生命中枢!
病史:
61岁男性患者
6个月的进行性智力退化史,包括短期记忆减退。入院前10天,出现意识障碍、定向障碍及膀胱功能障碍。
内分泌学检查显示为尿失禁和尿崩症,有患典型的肾上腺皮质功能减退症Addison病的风险。
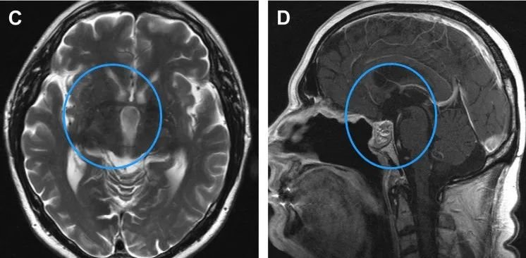
鞍上增强MRI显示,颅咽管瘤延伸至第三脑室,有实性成分(a)。视神经交叉前移(箭头标记),垂体和蝶鞍形态正常。病灶向右侧基底节区外侧延伸,且周围水肿,具有下丘脑侵犯征象。

三大核心解剖学挑战
挑战1:下丘脑侵犯
肿瘤侵入右侧基底节外侧并伴水肿,直接威胁下丘脑核团(调控体温、饥饿、激素分泌)。分离肿瘤时若牵拉或电凝过度,容易导致术后不可逆昏迷、代谢紊乱或植物状态。

挑战2:视神经与垂体柄危机
视神经交叉前移:肿瘤推挤致视神经解剖位置异常,术中易误伤,导致永久性失明或视野缺损。
垂体柄包裹/浸润:全切需切除受累垂体柄,术后多发生全垂体功能减退,需终身激素替代。

挑战3:第三脑室侵袭
肿瘤阻塞室间孔可致脑积水,切除时若损伤脑室壁,易引发脑脊液漏或室管膜炎。
Tips:三脑室肿瘤常见有星形细胞瘤、室管膜瘤,胶样囊肿、上皮样囊肿等不多见,其他继发性肿瘤是由室外侵入的肿瘤,包括如颅咽管瘤、松果体瘤等较常见。

以上种种,都是Klaus此次手术的难点所在。他的手术风险难度极高,需要主刀医生的精细操作,以及跨学科多科室的配合,面临这重重挑战,不少神经外科医生望而却步。
怀揣着摇摇欲坠的希望,Klaus的家人们找到了INC国际神经外科医生集团旗下世界神经外科顾问团(WANG)成员、世界神经外科学会联合会(WFNS)内镜委员会前主席Henry W.S. Schroeder(施罗德)教授。

他是国际神经内镜手术的高手,拥有20余年的神经外科疾病咨询与治疗经验,在国际神经内镜手术领域享有盛誉。他的专长涵盖内镜神经外科(治疗脑积水、囊肿、脑室内病变等)、内镜颅底手术、鼻内镜颅底手术等,尤其擅长神经内镜下单鼻孔垂体瘤的微创手术治疗。
施罗德教授向来主张肿瘤全切并保留神经功能是颅咽管瘤治疗的最终目标,能够帮助患者获得更高的无复发生存率,显著提高生活质量。因此,经综合评估后,他选择了神经内镜下经鼻入路为Klaus进行手术,近年来,这种手术入路已成为传统开颅手术的一项有效替代方案。
步骤图解(上):蝶骨暴露过程
(A)蝶鞍底及蝶面骨质磨除:在蝶窦腔内,使用磨钻对蝶鞍底 (SF) 和蝶面 (P) 进行蛋壳样钻孔,小心磨除骨质。此步骤旨在去除覆盖在蝶鞍和蝶窦区域的骨质,为后续操作创造空间。

(B)薄骨层清除:彻底清除步骤 (A) 中形成的薄骨层。确保蝶鞍底和蝶面区域清晰可见,无骨质遮挡。

(C)硬脑膜暴露及重要结构识别:在完成骨质去除后,小心暴露硬脑膜。仔细识别并确认以下重要结构的位置:视神经 (ON)、颈内动脉 (CA)、海绵窦内上方 (SIS,图中以星号 [*] 标记)

(D)鞍上间隙硬脑膜开口:在鞍上间隙区域,小心地打开硬脑膜。此步骤为后续操作提供进入鞍上区域的通道。

(E)海绵窦内上方电凝处理:对海绵窦内上方 (SIS) 区域进行电凝处理。此步骤旨在减少该区域的出血,为后续操作提供清晰的视野。

(F)海绵窦内上方充分暴露:在完成电凝处理后,进一步暴露海绵窦内上方 (SIS) 区域。确保该区域清晰可见,为后续手术操作提供充分的操作空间。

步骤图解(下):硬膜内手术操作阶段
(A)蛛网膜锐性分离:使用锐性器械仔细分离蛛网膜。此步骤旨在清晰地暴露鞍膈上区的结构,为后续操作提供清晰的视野。

(B)鞍膈上区暴露及结构识别:暴露鞍膈上区,并识别以下重要结构,垂体柄 (PS)、后交通动脉 (PCoA)、垂体上动脉 (SHA)、视神经 (OT)、肿瘤 (T)。

(C)肿瘤切除,膜外钝性剥离:使用钝性器械在肿瘤外包膜外进行剥离,逐步切除肿瘤。注意观察垂体柄 (PS) 的位置,本例中垂体柄受肿瘤压迫向左侧偏移。

(E)切换至30°内镜观察:切换使用30°内镜,观察视交叉 (OC) 后方的肿瘤情况。此步骤旨在更清晰地观察肿瘤与周围结构的关系,特别是视交叉后的部分。

(F)大块肿瘤切除:将一大块肿瘤从第三脑室移至蝶骨腔进行切除。此步骤需要谨慎操作,避免损伤周围重要结构。

(G)肿瘤完全切除后第三脑室背侧部分检查:在肿瘤完全切除后,仔细检查第三脑室背侧部分,包括脉络膜丛 (CP)、缰连合 (HC)、后连合 (PC),确保无肿瘤残留。

(H)使用45°内镜检查第三脑室前部:使用45°内镜检查第三脑室前部,观察以下结构,脉络丛 (CP)、穹窿 (F)、室间孔 (FM)、丘脑间粘合 (MI),确保无肿瘤残留,并评估周围结构的完整性。

术后,Klaus曾经历短暂的意识模糊期,然而他的神志和认知功能迅速恢复,体重也保持稳定。术后两年内,未见肿瘤复发迹象。MRI检查结果显示,他的水肿已完全消退,且鼻中隔皮瓣成功重建了颅底。

INC国际垂体瘤手术大咖

推荐阅读:
突发脑出血、视力仅0.03…花季少女用8年青春对抗垂体瘤,她终于成功了!
良性又令人害怕?垂体瘤侵袭视神经、压迫脑室,一次全切手术迎来新生!
如果您也有想要分享的经历或者无法解答的疑惑,欢迎留言。
- 文章标题:从昏迷到新生:INC国际大咖全切第三脑室巨瘤,两年零复发!
- 更新时间:2025-06-19 18:00:14
400-029-0925




