
2025年INC巴教授
中国行实时报道
北京时间2025年10月19日,风雨交加、气温骤降的苏州,迎来一场关乎生命的奔赴。巴教授从北京抵达苏州,这里,多名神经外科疑难病症的患者正等待他的到来。示范教学手术,将于明日开启。

行程紧凑,巴教授一抵达,便直奔苏州大学附属儿童医院。作为江苏省科技厅省级外国专家工作室首席专家,这里有几位可爱的小勇士正等待着他为自己开启新生。

“健康长大”,是父母给孩子最朴素也最深切的愿望。然而现实有时并不如人所愿——生命既坚韧,又脆弱。这群本该无忧无虑探索世界的孩子,却被突如其来的疾病,为原本绚烂的童年蒙上一层灰暗。稚嫩的人生,被迫提前面对生命的考验。
令人动容的是,孩子们远比我们想象中更加勇敢。而在他们身后,是每一位不言放弃的父母——唯有坚持,更坚强的坚持,才能守护那束不曾熄灭的生命之光。

他们终于等到了
巴爷爷!
神经外科的艺术——在尽可能切除肿瘤等病灶的同时,保持患者的神经功能和生活质量,对于年幼的孩子来说相当重要。他们未来的路还很长,每一步精心的守护,都将为他们点亮更多人生的可能。
儿童脑瘤为何要尽早应对?
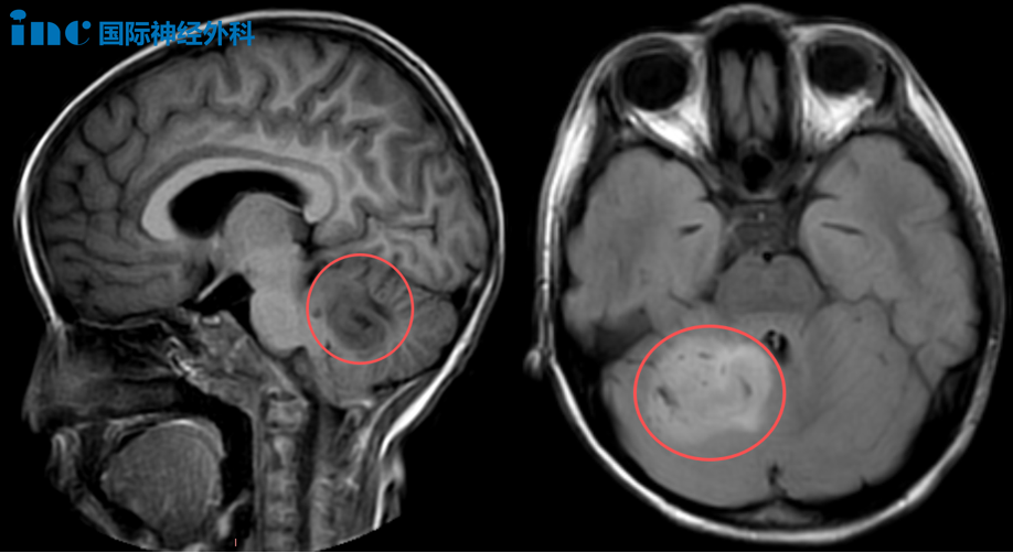
2025年9月15日,不到7岁的女孩乐乐在放学回家后,向父母抱怨起自己白天有些头晕疲乏。检查发现“小脑占位”,考虑低级别胶质瘤。尽管乐乐之后的状态有所好转,但由于病变体积较大,她仍不时头晕头痛、精神不振,总想睡觉。面对这一切,父母深知,必须尽快为孩子扫清前路上的障碍。

小脑半球堪称人体运动的"精密指挥官",掌管着同侧肢体的协调运作,确保每一个动作都精准、流畅且平衡。当这个重要区域受损时,患者就会出现典型的同侧肢体共济失调症状——动作变得笨拙不协调,出现意向性震颤,连最基本的站立行走都摇摇晃晃。此外,小脑缄默综合征(cerebellar mutism syndrome,CMS),又称后颅窝综合征,是小脑-脑干术后的常见并发症之一,发生于后颅窝肿瘤(如脑干、小脑、四脑室肿瘤)切除术后的患者,由于其特点以缄默症,即无法说话为主,因而又被称为“沉默的小脑”。
巴教授的评估为他们带来了希望的曙光,“积极一些来看,这大概率仅是低级别肿瘤。甚至可能是错构瘤。两个积极迹象是:孩子尚未出现严重临床症状,且周围未见明显水肿,因此判断这并非高级别肿瘤。手术对我来说并非难事,我能做到!”
“手术吧!”这个决定,乐乐父母做得果断而坚决。在今天的术前谈话中,巴教授再次向家长说明,孩子的肿瘤很有可能是错构瘤,如果是这样预后将会非常理想。
“希望全切,尽量保留垂体柄”
这是颅咽管瘤患儿父母的殷切希望…
颅咽管瘤,之所以可怕,不仅在于它深藏要害、手术难度极高,更在于它可能摧毁孩子的生长发育、视力、甚至生命。医生要在狭小空间内完成精准切除,0.1毫米的误差,就可能改变一个孩子的命运。即使颅咽管瘤完全切除手术难度大、创伤大、并发症发生率高,手术仍是颅咽管瘤主要的治疗手段。

12岁男孩涛涛今年8月因头痛查出颅咽管瘤,20mm×15mm×27mm大小的病变已经让脑干受压后移,压迫到视交叉后方的视路系统。
颅咽管瘤手术首要目标是安全、彻底地到达并切除肿瘤;其次,要尽可能保留垂体柄。垂体柄是连接大脑下丘脑与垂体腺之间的重要通道,垂体腺负责分泌激素,而下丘脑则像汽车的刹车和油门,负责调控激素分泌的节奏,例如早晨皮质醇的分泌量高于下午,这种精细的调节正是下丘脑的功能,因此垂体柄的完整性非常重要。第三个目标是在不损伤视神经等关键结构的前提下,尽量实现肿瘤的全切除,以防止术后复发。如果能够在保护垂体柄和视神经的同时实现完全切除,那将是理想的手术结果。
今天的面对面交流中,巴教授再次强调,手术将在尽可能全切肿瘤的同时保留垂体柄。就患儿目前的肿瘤尺寸来看,实现全切并保留垂体柄的可能性较大;若肿瘤继续增大,手术难度与风险也将随之增加。巴教授也关注到患儿术前的激素水平整体尚可,仅早晨皮质醇值略偏低。面对患儿父母对孩子寿命的深切担忧,他表示:“颅咽管瘤不是恶性肿瘤,不会影响孩子的正常寿命。”
中外专家携手
守护儿童健康!
"孩子就交给巴教授了!"这不仅是一份信任,更是一份生命的托付。一切都会好起来的!小小的他们总是希望无论是脑瘤,还是开颅,都只是人生道路上的一个“小小的坎”。而如何跨过这道坎,不仅需要自身的坚强与勇气,更是需要父母的强大托举。
苏州大学附属儿童医院神经外科主任王杭州教授曾在专访中这样称赞巴特朗菲教授——“真正的刀痴,特别专注于持续学习,都有很长的时间进行解剖研究,对于新技术出现的接受吸纳所用,对神经外科执着的热爱,加上数十年的临床经验积累,才会有今天的这样一个成就——尤其在高难度脑瘤手术。“
苏州大学附属儿童医院作为INC国际教授合作的国内三甲医院之一,也是其多次来华开展儿童疑难脑瘤手术的示范基地。
400-029-0925




