28岁的琳琳在短短两个月内经历了2次脑干出血,她和家人四处求医、一起研读专业资料,最终一个沉重的共识逐渐清晰:此时手术,或许是抓住生机最后的、也是最好的机会!
可对手术风险和并发症的恐惧如潮水般涌来,该怎么办......
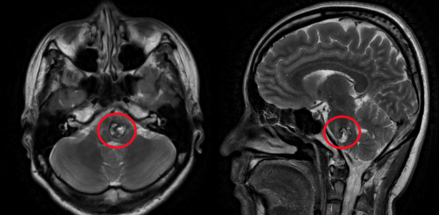
琳琳 28岁 脑干延髓海绵状血管瘤
病情阶段
28岁, 本该是生命如花般绚烂绽放的年纪。然而对于琳琳来说,命运的齿轮却在2023年的秋天骤然卡住——一颗深埋在生命禁区的脑干延髓海绵状血管瘤,正无情地吞噬着她的健康与对未来的期望。
短短不到两个月! 从最初的不适,到两次致命的脑干出血,琳琳的世界在瞬间崩塌、旋转、陷入无边的黑暗。

第一次出血(2023.09)
症状突袭:复视(一米外即现重影)、左眼转动受阻、持续疲惫嗜睡、手掌麻木。
两难抉择: 静脉止血。手术必要但因在延髓位置,手术风险大。建议控血压,绝对禁活血物。

2023年9月琳琳核磁影像
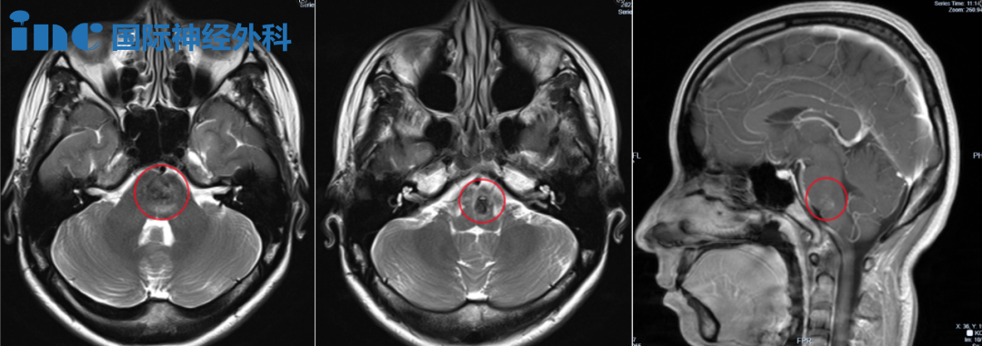
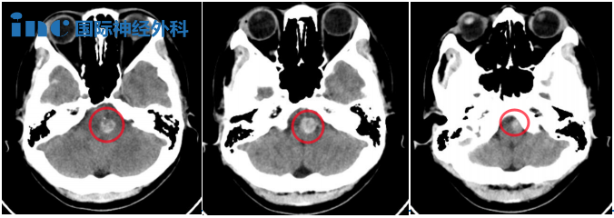
第二次出血(2023.11)
症状加剧:复视显著恶化、右手脚掌麻木、疲惫嗜睡,脑干出血量对比增多。
治疗困境:医生建议手术,但术后神经损伤风险巨大(偏瘫/呼吸障碍),暂行酚磺乙胺静脉止血。

2023年11月琳琳头颅CT
困境与曙光
琳琳跑遍多家大医院,专家只是摇头 “手术难度和风险极大” 琳琳和家人都难以承受手术带来的心理压力和负担。
当所有道路似乎都通向死胡同,当沉重的绝望几乎令人窒息,一道希望的曙光,终于刺破了阴霾——他们遇到了INC国际脑干手术大咖巴特朗菲教授。
经过INC的协调并提交病例资料后,巴教授仔细评估了琳琳的病情认为“手术是必要的”。
“我的手术能尽快安排吗?” 在经历过2次脑干出血,症状不断加剧后的琳琳就是想要尽快进行手术。当再次听到巴教授肯定的回复,琳琳的心安定了下来。


高难度手术顺利全切
手术台上,由INC巴教授主刀,中国神经外科专家密切配合,这场惊心动魄的脑干延髓手术顺利全切。
而琳琳术前两次出血导致的第六对颅神经纤维受损,无法恢复。眼球外展麻痹只能通过斜视矫正手术进行改善。

术后状况
术后即刻: 琳琳状态良好,没有新发功能障碍。面神经功能得到了完全保留,这在该位置的手术中是非常不容易实现的。
术后第1天:巴教授告诉琳琳的肿瘤已经完全切除并可以转出ICU到普通病房。
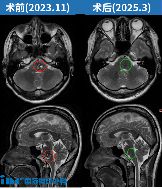
术后3个月:影像复查表示“全切海绵状血管瘤”,琳琳自己也很满意目前的恢复情况。
术后1年:琳琳进行了斜视手术,手术很成功。
术后1年4个月:巴教授进行随访,琳琳术后情况非常好,没有残留病灶,也没有出现局部形态学上的负面副作用。

琳琳是幸运的,更是果敢的! 两个月内两次脑干出血,命悬一线。她以非凡勇气做出关键抉择——在巴特朗菲教授主刀下,成功全切血管瘤,重获新生。
在保守观察的主流建议下,她勇敢破局:证明脑干手术禁区可破,精准对接顶尖专家,就能将被动等待化为主动出击!这份把握命运的果决,正是点燃生命希望的关键火种。
INC国际脑血管专家巴特朗菲教授
INC国际神经外科医生集团旗下世界神经外科顾问团(WANG)成员、世界神经外科联合会(WFNS)教育与技术委员会前主席巴特朗菲教授,作为德国汉诺威国际神经外科研究院血管神经外科主任,擅长大脑半球病变、脑干病变、脑血管疾病、脑内深层区胶质瘤、颅颈交界处的病变等的肿瘤切除术、神经吻合术以及各种椎管内肿瘤等。

同时,巴特朗菲教授收到过来自欧洲、中东、北非以及日本、中国、韩国、新西兰、南非和智利的40个国家的学术邀请,应邀出席了400多场世界各地的学术会议或在神经外科大会作为特邀发言人,对世界神经外科学科做出重大贡献,特别是颅底外科和显微外科血管病变的脑和脊髓治疗。
400-029-0925




