怎样的脑瘤,竟让看过的医生都皱眉直呼“棘手”?侵犯大脑多个关键结构、牵扯到的神经血管不计其数、生长位置刁钻且深在、肿瘤体积巨大……令许多医生摇头叹息,不敢贸然接手——手术一个不小心就可能让这个年幼的孩子丧命!就在如此山穷水尽之际,也许是老天眷顾,最终,这个孩子奇迹般得救了——两位国际闻名的小儿神外大咖巴特朗菲教授及Concezio Di Rocco教授强强联手,默契配合,成功切除肿瘤,为孩子的长期生存提供了有力的支持!
脑干、丘脑…这个肿瘤侵袭广泛
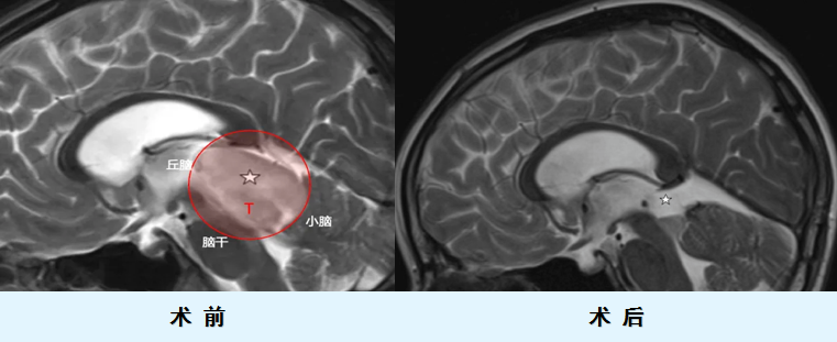
11岁的欢欢因连续的头痛和复视被诊断出一个巨大的中线肿瘤,侵袭丘脑、中脑顶盖(四叠体),从小脑延伸到松果体,并侵犯间脑,压迫双侧外展神经,眼底检查还发现伴随双侧视乳头水肿。


侵袭如此广泛的肿瘤,手术难度可想而知——四叠体即中脑顶盖,毗邻多个重要脑组织,包括中脑导水管、松果体、小脑、丘脑等。肿瘤生长压迫脑组织或术中稍有不慎就会造成眼球运动障碍、斜视、复视,听力下降、走路不稳等严重后果……丘脑更是深入大脑,几乎干系着人体80%以上功能,很长时间内丘脑手术都被视为“禁区”。
正是因为清楚在这片“危险三角区”动刀的难度有多大,许多医生都认为“太过于棘手”,手术风险高,不敢贸然对欢欢家人承诺手术的安全性。万般无奈之下,他们只好另寻高明。
2位国际大咖强强联手,成功歼灭

来到德国汉诺威国际神经学研究所(INI)小儿神经外科,欢欢一家仍然十分忐忑,可这已经是他们抱有的最大希望。幸运的是,在巴特朗菲教授及Concezio Di Rocco教授的联合会诊下,他们一致认为:“可以安全地手术!”
就这样,欢欢被推进手术室,两位国际知名的神外大咖强强联手,共同为这个不幸的孩子创造一次新生的机会。
整个手术方案大致分成两步,首先,为了解决脑积水问题,两位教授先进行了内镜脑室造瘘术,然后采用枕下正中小脑上入路进行手术,最终成功切除肿瘤。

尽管术中得到的组织切片提示为毛细胞星形细胞瘤(WHO Ⅰ级),但是进一步的组织学切片显示,神经节细胞发育不良,多核,胶质和神经节部分有丝分裂活性,且Ki67为2-10%,BRAF (V600E)突变。最终,确诊为高级别的间变性神经节胶质瘤(WHO III级)。
术后,欢欢短暂地出现一过性垂直性眼震,但在手术后的14天内完全恢复,并开始了后续的质子治疗和替莫唑胺治疗。这一台由两位国际大咖联手的手术获得极大的成功,也让欢欢能以较好的身体素质开展后续的辅助治疗。
为何得救?早期手术很重要!
回顾欢欢的治疗历程不难发现,对于儿童胶质瘤患者来说,早期手术往往能达到较好的手术效果和预后,也能最大程度铺垫后续可能的辅助治疗。
巴特朗菲教授:“胶质瘤从不停止生长”

“越早越好。实际上胶质瘤从不停止生长,等待会让肿瘤变得越来越大。从根本上说,尽早行动是非常重要的,因为在开始的时候,我们可能会看到一个相当小的肿瘤,我们有很好的完整切除的可能性,尽管破坏了已经存在的脑组织,手术仍然是可能的,其结果将与小肿瘤不一样。所以早期手术基本上是非常重要的。”
Di Rocco教授:“早期诊断大多可治愈”

“儿童脑肿瘤患者的预后情况比成人好。所以,如果能早期得到诊断,儿童患者大多数可以“治愈”。在当前术中磁共振、术中CT、术中神经电生理监测、术中神经导航等术中同步影像技术的一体化应用下,手术的每一刀都能定位精准,这能避免损伤脑内正常组织,有效减少出血和术后并发症,切除效果也在逐年进步。”
* 该案例来源:Lüdemann W, Banan R, Hartmann C, Bertalanffy H, Di Rocco C. Pediatric intracranial primary anaplastic ganglioglioma. Childs Nerv Syst. 2017 Feb;33(2):227-231.
INC 国际小儿神外专家团
国际脑干手术大咖 Helmut Bertalanffy教授

教授擅长颅底、脑干病变、功能区、大脑小脑、脊髓等复杂位置的肿瘤性、血管性疾病的手术治疗,尤其擅长颅底、脑干等复杂区域病变的肿瘤切除术、神经吻合术等,脑干病变成功手术病例近千台,以精湛高超的手术技术不损伤神经功能且全切病变。巴教授历经千万个小时用超精确的物理剥除诠释了医术为何为艺术。
国际儿童神外专家 Concezio Di Rocco教授

自2014年5月起,Di Rocco教授就担任了德国汉诺威国际神经科学研究所(INI)的儿科神经外科主任。从事儿童神外事业50余年,Di Rocco教授尤为擅长小儿神经纤维瘤、癫痫、脑积水、蛛网膜囊肿、颅缝早闭、脑和脊髓肿瘤、脑和脊柱畸形(半椎体畸形,皮质发育不良,脊髓脊膜膨出,脊髓内脂肪瘤,Arnold-Chiari畸形等)难治病症方面的治疗,曾进行过12000多次神经外科手术。
国际儿童神外大咖 James T. Rutka教授

教授发表超过500多篇高影响力论文,在临床上的研究方向以颅内肿瘤为主,对胶质瘤、纤维瘤、颅咽管瘤、室管膜瘤具有多年的临床经验,擅长清醒开颅术、显微手术和被广泛用于治疗恶性脑瘤和癫痫的国际前沿技术激光间质热疗(LITT)技术经验,对于儿童胶质瘤,尤其是高级别胶质瘤开展多项临床试验,其所在的医院加拿大SickKids是国际知名的儿童医院之一。
- 文章标题:令医生直呼“棘手”的高级别胶质瘤,两位国际大咖强强联手歼灭!
- 更新时间:2025-08-07 14:30:08
400-029-0925




