
无症状、偶然发现,这个胶质瘤如何应对?
“我一点症状也没有,怎么会查出脑瘤呢?”
由于体检、磁共振成像(MRI)的普及,偶然发现胶质瘤的概率越来越高。很多时候,还没有明显的症状,也不影响正常的工作和生活。那么,这些患者就会问,这个低级别胶质瘤到底该怎么治?没有症状、不影响正常生活也要做手术吗?延迟治疗又会有哪些负面影响?

值得注意的是,低级别胶质瘤的进展具有不可预测性,这是一种有些“突然”的肿瘤,它可能突然长大、突然恶化……且即使恶化也可能不伴随癫痫、神经功能障碍等症状,这是大脑的代偿能力——用一个形象的比喻,大脑就像一支足球队,当某个球员(脑区)受伤下场,其他队员会调整战术、补位作战,默默扛起队友的职责。一旦到达临界值,就会“崩溃”!
2023年,INC国际教授在一项关于偶然发现的胶质瘤研究《Oncological and functional outcomes support early resection of incidental IDH-mutated glioma》中指出,对于偶然发现的弥漫性低级别胶质瘤,仍呈缓慢而持续的生长,其生长速率约 3.5 mm/年。不仅体积随时间增加,即便在无症状患者中亦可发生恶性转化。相关研究中还发现肿瘤 28 个月内体积平均增长约20cm³。
近年来,治疗理念正由“观望等待”逐步转向“预防性手术”,其理论依据是早期、彻底的手术切除有望延长总体生存。因此,当前研究推荐在保护功能下追求最大限度的安全切除。已有多项研究分别评估了接受预防性手术的此类患者的功能、癫痫及肿瘤学预后,也证实了尽早手术的重要性。切除时机越早,肿瘤体积越小,实现全切除的可能性越大,从而带来更佳的预后。

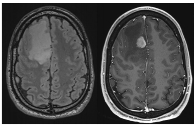
令人惋惜的是,其中 1 例极端病例迅速进展并恶性转化,最终导致患者离世。该患者由外院转诊而来,其前一年的随访资料被原主管医师判断为“未见进展”。待患者 1 年后检查时,MRI 已提示肿瘤发生恶性转化。此时患者出现全面性强直-阵挛发作……

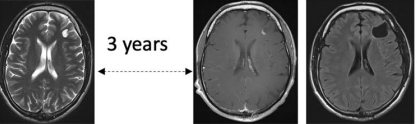
另外一例的进展也很突然:偶然查出时,选择随访,始终未见肿瘤体积增大;然而,第 3 次随访MRI却意外出现局灶性对比增强,遂决定立即手术。

“我还没有症状,先观察观察再说吧”
很多偶然发现的胶质瘤大多数没有症状,或者症状轻微,便认为情况不严重,但事实是如此吗?其实经过认真检查,发现30-50%的“无症状病人”存在认知功能障碍,如记忆、情绪、决断、判断、工作记忆等方面的障碍。此外,大脑的调节代偿功能决定了并不一定肿瘤存在就一定会引起严重的症状,因此也会出现肿瘤很大了居然也没什么症状的情况。

通常来讲,年龄越小,大脑代偿能力越强。即使在成年后,大脑也有一定的代偿能力,不过年龄越大,代偿能力相对越弱。目前,大脑功能代偿的细胞学机制并不十分清楚,当然这种代偿一旦达到临界值,关键球员透支,就可能“崩盘”,出现显著症状。
“没有什么比健康快乐更重要!”胶质瘤真的可以一直等吗?
胶质瘤手术风险“高”在哪儿?
对于现阶段没有出现症状的低级别肿瘤,许多患者及家属常常抱有,再等等再看看的心态,主要是以下几种原因:
- 1、“体检查出来的,可能不准确,说不定不是胶质瘤,有可能自己就消退了,再等等看看。”
- 2、“没有症状,说明不严重,等有症状了再说吧……”
- 3、“我现在好好的,开颅风险多大啊,要是做坏了怎么办?”
那针对这些问题,我们一个个解答。
现代影像学检查技术(如MRI、CT等)已经高度精准,能够清晰识别脑瘤的位置、大小和性质,误诊率极低。而胶质瘤自行消退的可能性很小,而且还有生长恶化的可能。
对于没有症状,上文也提到了,由于大脑强大的代偿机制,症状的出现往往滞后于肿瘤的真实进展,这让许多患者误以为“无症状即安全”。然而,脑肿瘤具有持续生长的特性,一旦错失早期干预的“黄金窗口期”,肿瘤体积增大、级别升高,就像深深扎根的树,治疗难度将成倍增加——症状越重,手术风险越高,术后功能恢复也越困难。

最后一点,其实很多患者也明白胶质瘤一线治疗手段,一直都是手术。可能是因为觉得开颅手术风险很大,或者可能是肿瘤位置特殊,所以才迟迟不敢做手术。但随着现代神经外科技术的发展,如果能找到合适的主刀医生,这个问题就会迎刃而解。
“早说做不了,我还一直等什么!”
“每次都说毛细胞星形细胞瘤一般不长,观察就行,但是后来我最后一次去找他们的时候,我和医生说症状太重,不行就做手术,他们最后和我说实话,因为做手术风险过大,所以说建议你观察……”14岁的小永一家就遇到类似的问题。

孩子查出脑干胶质瘤,头晕、头痛、梗阻性脑积水……父母永远是最焦心的,对于治疗他们也是希望尽快为孩子解除病痛。谁愿意孩子脑子里一直有一个可怕的肿瘤呢,孩子还小,肿瘤总有长大的机会。但是没人愿意为孩子做手术,为人父母恨不得自己能代替孩子受苦,可是偏偏爱莫能助,总不能自己做手术吧……
就这样一直等,这一等就是2年多,孩子的病情越来越严重。得知孩子无法再等时,他们下定决心尽一切努力为孩子争取好的治疗,保证孩子术后能够正常生活和学习。当一家人找到了巴教授,并得到了教授认为可以手术的详细评估时,最终成功手术。平安度过了术后的第一年,然后是第二年、第三年、第四年……我们也见证着他慢慢长大,成为优秀的人!
“没有什么比健康活着更快乐,我不想等!”
和小永一家不同的是,另一位在胶质瘤病友圈较受关注的周老师治疗更佳积极。四处求医,得到无法手术的回复时,他并没有等。
同样也是脑干胶质瘤,肿瘤不大,但非常棘手。做不好很可能会导致四肢截瘫,甚至不少患者术后躺在ICU里长期昏迷。北上求医,辗转各大医院,依然束手无策。

在得到巴教授可以手术的评估时,他立刻动身,最终安全全切肿瘤,术后第5天顺利出院。如今,总体恢复非常不错,他自豪地说:"我和正常人没什么两样!"
注:两则案例均来自于巴教授真实手术案例
后记
面对胶质瘤,恐惧与迷茫在所难免,但请记住——低级别胶质瘤并非不可战胜的敌人。随着现代神经外科技术的进步,通过早期科学干预,大多数患者既能有效控制肿瘤,又能良好保留生活质量。这不是一场与命运的赌博,而是一次把握主动的选择。与其在等待中煎熬,不如在行动中重获希望。勇敢拼搏的他们,正在为自己赢得无限可能!
- 文章标题:“没有症状的脑瘤怎么就恶化了?”不按常理出牌的胶质瘤早期手术是关键!
- 更新时间:2025-08-11 17:45:40
400-029-0925


