“(术后)问医生有没有变化,结果怎么样,医生告诉我们很好,没有什么变化。回来以后谈了一个女朋友,给我们添了一个小孙子!”2022年INC视频随访中,INC工作人员曾联系过2019年中国示范手术的中脑顶盖患者峥峥进行术后3年随访。在谈到术后状态时,峥峥的爸爸开心地说到孩子的术后恢复情况,当谈到儿子为自己添了一个可爱的小孙子时,更是笑得合不拢嘴……
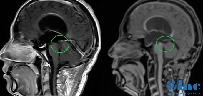
2023年5月,峥峥向巴教授发送了他新的核磁复查影像,巴教授在查看复查影像后邮件回复道:

”中脑顶盖局部情况很好。我没有看到肿瘤复发,脑干的形态很好,肿瘤的低增殖率可能让我们至少在未来几年内预估不会有复发。我建议他定期进行核磁共振复查对比,也许每隔一年半进行一次,所以下一次是在2024年底。他可以把图像发给我们重新评估。“

2019年,INC德国巴特朗菲教授曾在4月和6月两次来华进行疑难脑瘤示范手术指导,多名国内的脑海绵状血管瘤、胶质瘤、脊索瘤、垂体瘤、松果体区肿瘤患者接受了巴特朗菲教授为其实施的成功肿瘤全切术,当时年仅18岁不幸罹患脑干肿瘤的峥峥就是其中之一。
峥峥中脑顶盖胶质瘤治疗回顾
他是一名帅气的大男孩,20出头的他,对于未来充满期待,可是老天总喜欢开玩笑,一朝之间,脑干肿瘤病魔来袭,美好的校园生活就此中断,花样年华就这样被冻结……
2019年初,正在学校学习的峥峥越发感觉自己的视力越来越差,黑板的字看不清,甚至连书本上的字也开始看不清,这种情况已经持续了1年。后续峥峥又出现头晕,甚至左侧小腿发作性疼痛,不知道怎么办的他这才跟父母打电话寻求帮助。父母直接带她去了当地医院做检查。在医院做了CT之后,显示脑积水。在医生的建议下,在全麻下行侧脑室-腹腔分流术,手术顺利,术后对症治疗好转后峥峥就出院了。原本以为这就没事了峥峥,没想到2个月后再次出现头部胀痛,而且持续了半个月也没有好转。再次就诊,行MR发现:“左侧慢性硬脑膜下血肿。“峥峥再次进行手术,局麻下行左侧慢性硬脑膜下血肿钻孔引流术。好在手术顺利,术后进行了对症治疗,病情好转后出院。
此时的峥峥父母还没有意识到孩子可能面临的更大挑战。2个月后,再次复查MR示:四叠体区异常信号。四叠体是什么?孩子到底是什么病?孩子还能治的好吗?已经经历过两次手术的峥峥父母开始害怕了,他们害怕失去孩子。为了孩子,两个人在外打拼了大半辈子,孩子却要遭受这样的厄运……

”我们也不太确定孩子是什么病?而且,这个位置的病变手术非常非常难,建议先保守治疗……“面诊的医生也没有把握,这让峥峥父母有点慌了。
简单来说,四叠体即中脑顶盖,脑干顶盖包含上丘、下丘,是视觉、听觉反射中枢。脑干顶盖部易发胶质瘤,包括毛细胞型星形细胞瘤、星形细胞瘤、少突胶质细胞瘤、室管膜瘤,其中毛细胞型星形细胞瘤全切后,中位生存期可达40年。
脑干顶盖毗邻多个重要脑组织,包括中脑导水管、松果体、小脑、丘脑等。肿瘤生长压迫脑组织或手术术中稍有不慎就会造成眼球运动障碍、斜视、复视,听力下降、走路不稳等严重后果……
“不能等了,不能这样干等下去了”
“孩子这么小,未来的路还很长。医生和我说,孩子只能等,等奇迹出现。但是奇迹特别渺茫,必须为孩子找更好的医生,万一孩子有希望……”峥峥的父母在听到医生的回复后,开始为孩子寻求更好的医生和治疗。“不管怎么样,就算是砸锅卖铁,我也要把我的儿子治好!”
峥峥父母开始四处搜集能把儿子治好的信息,一则报道引起了他们的注意。《国际医生集团推进中外神经外科交流,国内复杂脑瘤患者多了新选择》,“集团近期积极组织国际专家来我国开展学术交流、技术探讨,并开展高难度手术,为国内神经外科疾病病患提供更多新的治疗选择。”……仿佛看到了新的希望,峥峥父母开始联系INC,想要咨询巴教授。

远程咨询巴教授:“有可能是低级别胶质瘤”
巴教授远程咨询回复:
“我研究了这名年轻患者2019年5月20日的医疗报告和磁共振图像。它们显示了中脑顶盖内的病变,有可能是低级别的胶质瘤。我已经成功地对许多相似的肿瘤病人进行了手术,并发表了我的研究结果和临床技术。如果患者希望阅读这本描述成人患者脑干胶质瘤的治疗出版物,我可以发送我的书章节的PDF文件。”

1手术切除率和并发症:
肿瘤可以通过显微手术安全地切除。手术的风险很低;最初,患者会出现一个向上的凝视性麻痹(所谓的帕里诺综合征),最多可持续2-3周,通常在8-10天后就会消失。
2术后复发率:
复发率取决于肿瘤的类型,只有当神经胶质瘤是高级别的(这在核磁共振检查之后排除了),病人可能需要化疗,也许也需要放射治疗。
3是否可以在苏州手术:
是的,病人可以等到6月底,然后我可以在苏州为他做手术。
巴教授国内示范手术,全程主刀成功全切肿瘤
2019年6月,巴教授在苏州为峥峥手术,肿瘤全切,无任何神经功能损伤,病理结果显示:(四叠体区)星形胶质细胞瘤(WHOⅡ级)。


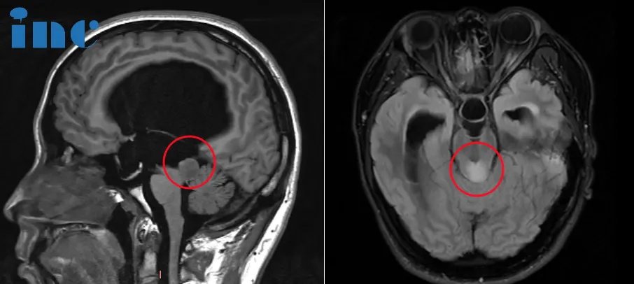
术前MRI影像

术后MRI影像

(四叠体区)星形胶质细胞瘤(WHOⅡ级)
免疫病理:瘤细胞GFAP(+),Ki-67(+,3%),P53(少量散在的+),EGFR(-),S100(+),Vimentin(部分+),Olig-2(+),IDH-1(-),NGMT(少量+),NeuN(-),ATRX(部分+),H3K27M(欠满意),Syn(+).
峥峥术后恢复良好,为了更好的预后,2个月后开始放疗,放疗计划为52Gy/26次。
术后4年,峥峥肿瘤未复发,如今的他已经脱离了稚嫩,成为了爸爸,新的角色,人生也重新开启。而成为爷爷奶奶的峥峥父母也万分感激,他们未曾想到,峥峥不仅安全全切了“人类禁区”脑干部位的胶质瘤,手术完之后还拥有的美好的爱情和幸福的家庭。
注:以上案例供学术交流,不作为个别患者的医学诊疗意见。
400-029-0925




