“低级别胶质瘤有治愈的可能吗?”
我们知道低级别胶质瘤通常指WHOⅠ级和部分Ⅱ级胶质瘤,部分患者有实现长期生存甚至临床治愈的可能,但这取决于一系列关键因素。WHOⅠ级毛细胞星形细胞瘤:这是最常见且预后极好的低级别胶质瘤,多见于儿童和青年。手术全切后,很多患者可以获得长期无病生存,甚至治愈。
而,WHOⅡ级弥漫性星形细胞瘤/少突胶质细胞瘤,这类肿瘤具有“弥漫性浸润”的特点,因此手术“全切”难度大。但少突胶质细胞瘤若有1p/19q联合缺失,则对放化疗非常敏感,预后优于星形细胞瘤。
手术切除程度是最关键的可控因素,安全前提下最大化切除:在不损伤重要神经功能(如语言、运动、视觉)的前提下,尽可能多地切除肿瘤,是延长生存期的重要手段。
15个月大宝宝,延髓胶质瘤,可以手术吗?
当“延髓胶质瘤”和“15个月大的宝宝”这两个词同时出现,对任何父母来说,都如同晴天霹雳。延髓,作为脑干的重要组成部分,掌管着我们的呼吸、心跳、吞咽等最基本的生命功能,一直以来被称为神经外科手术的“禁区”。在这里动刀,风险不言而喻。
Nick,一个当时仅15个月大的男宝,最初因头部持续向左倾斜、眼球无法自如向外转动(外展神经麻痹)以及反复发作的喉炎,引起了父母的警惕。经过磁共振检查,结果显示他的左侧延髓长了一个胶质瘤,并且肿瘤已经扩展生长。

摆在面前的选择异常艰难:手术,意味着要在维持宝宝生命的中枢上进行精细操作,任何闪失都可能造成无法挽回的后果;不手术,肿瘤会继续生长,进一步压迫生命中枢。
而且,由于小孩神经系统及心肺等重要器官的发育还未完善,进行麻醉和开颅手术难度极大、风险极高,术后重症管理要求极高,对主刀医生的技术和心理都是不小的考验。
经过多方咨询和深入评估,父母最终决定迎难而上。他们了解到,虽然延髓手术风险极高,但在经验丰富的团队支持下,成功并非不可能。最终选择了由INC巴特朗菲教授主刀,在术中磁共振和神经电生理监测的双重护航下进行手术。
在术中磁共振系统和术中神经电生理监测的辅助下,巴教授为男孩进行了俯卧位下肿瘤切除全切手术(图b)

术中T1和T2MR(图c和d)显示肿瘤获得全切,无任何肿瘤残余。

通过枕后正中开颅术,暴露肿瘤。使用CUSA刀切除肿瘤,于左侧延髓外侧隐窝处发现肿瘤与后组颅神经根粘连,术中小心地将肿瘤与颅神经成功分离,颅神经成功保留,主要在处理后组颅神经时非常小心,保护吞咽功能。第九、十、十一颅神经保护得很好了。
术后两周,小Nick恢复良好,依然是那个可爱的宝宝(图g)。

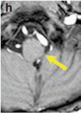
更让我们欣慰的是漫长的随访结果。术后三年,复查的增强MRI(图h)显示,肿瘤无任何复发迹象。

而当年的小婴儿,已成长为一个精神抖擞、帅气阳光的小少年(图i),没有任何神经功能障碍,快乐地享受着他的童年。


小孩开颅后对长大有影响吗?
儿童大脑最神奇之处在于其强大的可塑性,处于发育阶段的大脑在部分功能区受损时,其他脑区可能代偿其功能,这也是儿童脑瘤早期症状不明显的原因之一。但开颅手术的目标始终是精准切除病灶、最大限度保护脑功能,以降低对发育的影响。
现代神经外科已在术中应用多种设备为手术保驾护航,包括神经导航、术中神经电生理监测、术中超声、术中MRI等,不仅可以依靠科技的“慧眼”更精准识别病灶边界,还能实时指导,让医生以最小的创伤抵达病灶。
设备的应用固然重要,但是要想让大脑这艘精细的轮船安全行驶,“掌舵人”的作用更加不可忽视。对于主刀来说,丰富的临床经验和高超的手术技术都是缺一不可的。
- 文章标题:孩子确诊脑干胶质瘤,我们还有机会吗?开颅对成长有影响吗?解读预后关键可控因素
- 更新时间:2025-12-02 10:01:41
400-029-0925




