“说实话,娃一年半前才在当地手术,第一次手术没切干净,现在肿瘤残余还在一天天长大。真的家里人没有能接受的。我真的压力好大,我先生真的是我第一次看他哭的稀里哗啦的,平时对娃很严厉。我是觉得既然第二次,我能切肯定希望都要切掉,不管结果如何,作为父母我们也要尽更大的努力……”——这是一位母亲的咨询电话,孩子因癫痫查出胚胎发育不良性神经上皮肿瘤(DNET)。其实DNET是一种非常良性的肿瘤、经过全切可以获得良好效果,但为何这个孩子要面临第二次手术。
呕吐、癫痫,6岁的女儿查出脑瘤
可可8岁了,2年前的一天晚上,临睡觉前,可可突然手脚抽筋、四肢僵硬,牙齿紧紧地咬住嘴唇、口吐白沫,整个状态大概持续了几分钟才缓解。在这之前,孩子还出现了呕吐,杨女士连夜将可可送到当地医院。医院检查结果提示可可颅内多处占位,考虑是肿瘤性病变。这对一位母亲来说,无疑是晴天霹雳。

根据杨女士的回忆,当时问诊的神经外科医生仔细查看了患儿的影像资料,发现虽然存在多处占位性病变,未见弥散受限。结合临床病症,初步诊断是低级别肿瘤性病变,考虑是胚胎发育不良性神经上皮瘤或节细胞胶质瘤,建议立即手术。
第一次开颅手术,“虽然有残余,但是肿瘤1级,随访即可”
在医生的建议下,最终可可进行了开颅手术。术后病理诊断为胚胎发育不良性神经上皮瘤(DNET),WHO I级。
什么是胚胎发育不良性神经上皮瘤?
DNET患者的主要表现为难治性癫痫发作,是药物难治性癫痫的重要病因。作为一种良性肿瘤,手术切除可获得很好疗效,术后无需放疗、化疗。术后癫痫绝大多数能得到明显控制。复发性癫痫发作的主要危险因素是术前年龄>10岁和癫痫持续时间较长(>2年)。很少发生肿瘤复发甚至恶性转化。

但是可可只是切除了左侧颞叶和海马体附近的肿瘤,丘脑,基底节,大脑脚仍有残余。根据当时医生的说法,这些位置太深,手术很可能造成孩子瘫痪等,因此残留部分。然而手术后孩子出现了动眼神经麻痹、斜视、弱视,医生表示是一过性症状。确实经过经按摩和康复治疗后现已基本恢复正常,癫痫术后也未再发作。“该肿瘤属于良性肿瘤,如果手术可以全切,预后良好。虽然还有残余,但是比较少,可以先观察随访。”医生的话让杨女士悬了一个月的心终于可以放下了。

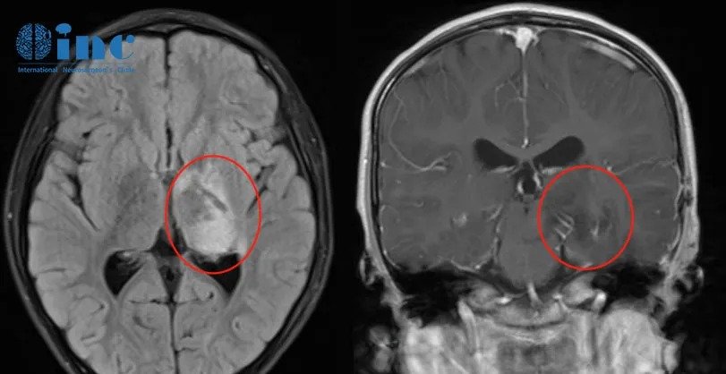
第一次术后MRI
术后2年,左侧颞叶处发现10.7cm结节,且还在增大
可可和残余的肿瘤和平共处了2年,然而复查MRI发现左侧颞叶附近有一小结节病灶增大,术前6mm,现11.1mm,已明确复发,是手术未注意的残留,但在增大。
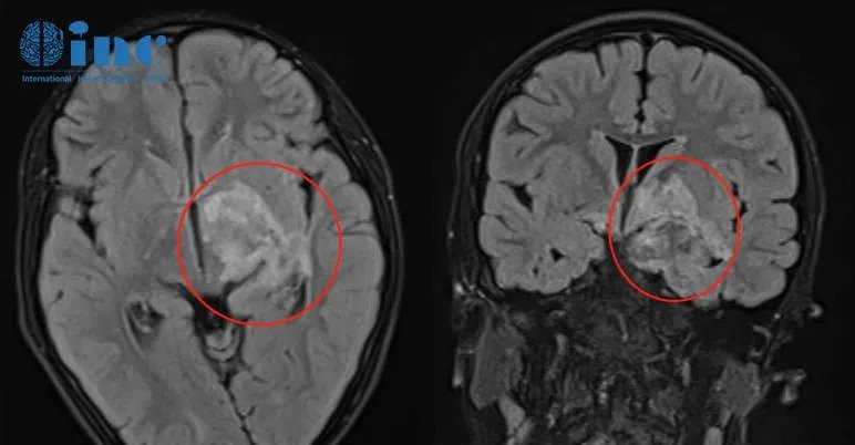
半年内该残留增加了2-3毫米,医院建议再次手术,但丘脑,基底节和大脑脚部分仍是手术风险大,无法切除。而且医生还说要把孩子的颞叶切了,杨女士慌了。没想到原本良性的肿瘤,现在却面临着2次开颅……
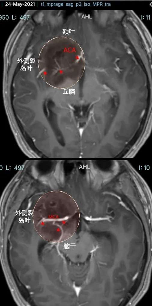
MRI显示肿瘤已延伸并浸润基底节和丘脑


巴教授邮件回复详情:我可以为这个孩子提供第二次手术

INC德国巴特朗菲教授咨询结果部分截图
我们衷心祝愿可可的手术一切顺利,早日摆脱病痛,重回健康快乐的童年。同时也向每一位为孩子奋战到底的父母致敬,你们的不放弃,正是孩子生命中最坚实的力量。
像可可这样的病例,巴特朗菲教授曾成功主刀过多台类似的高难度手术,这无疑为这个家庭带来了更多的信心和希望。
INC巴特朗菲教授DNET手术案例分享
巨大基底节区DNET术后3年无复发
18岁少年考入大学开始崭新人生!
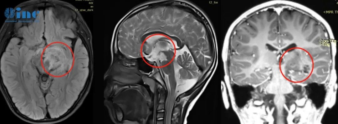
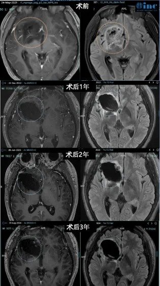
病史摘要:16岁小磊(化名)在一次全身体检中查出脑瘤,最终确诊为“右额、颞、基底节区、侧脑室前角区占位病变:胶质瘤可能性大”……肿瘤主要位于基底节部位,属于大脑功能区,目前手术风险极大,巨大占位压迫岛叶、和血管神经关系密切,切除肿瘤时极易造成脑组织神经血管损伤,90%以上会术后出现神经损伤如瘫痪、记忆障碍等,在这个位置手术不容有失,否则面临的可能是终身的瘫痪,生活不能自理。
小磊术前MRI影像显示右额、颞、基底节区、侧脑室前角区巨大占位(胶质瘤),压迫丘脑,从右额白质延伸到岛叶和基底节前部,部分浸润丘脑和右下丘脑,并向颅内延伸到前连合和室间孔。

肿瘤血管丰富包裹大脑前动脉、大脑中动脉及其分支等。

巴教授手术情况:巴教授近全切肿瘤,手术过程中未出现并发症。手术做完当天,小磊成功拔管并转入ICU。术后第2天,意识清醒,无新发神经系统损伤。转回神经外科普通病房,并在康复治疗师的指导下开始活动。小磊很快就开始独立行走。

术后第12天,小磊就出院了,出院时他与手术前的状态一样,意识清楚、反应灵敏、定向准确、无新的神经功能障碍。
术后病理:DNET,全切后预后良好
小磊的术后病理报告

术后3年复查无复发

第一刀没切干净,癫痫严重影响成长
10岁男孩的新生之路
病史摘要:2018年,10岁男孩小欧(化名)查出功能区位置胚胎发育不良性神经上皮瘤(DNET),由于有一部分就是位置不太好——基底节。为了不损伤孩子将来的生活质量,第一次在当地开颅手术只切除了部分肿瘤。术后2年,癫痫却找上了门。从一开始一年两三次,到一个月五六次,癫痫发作频率的提升逐渐让小欧远离了正常的生活和校园,药物也无法控制。于是,小欧母亲将希望寄托于二次手术。这一次,她找到巴教授。

巴教授手术情况:巴教授成功切除了小欧肿瘤。手术室外,巴教授为小欧家人带去了这一好消息,并表示手术结果很好,小欧不需要住ICU,可以直接转入普通病房。
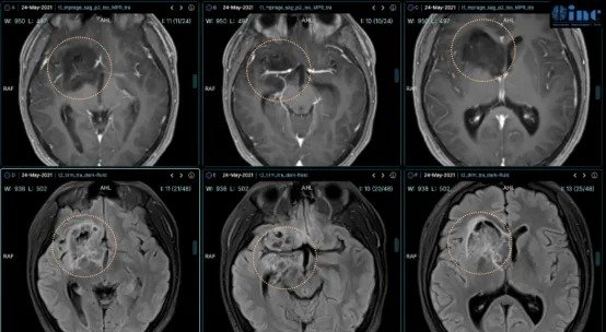
▼术前术后影像资料:

术后情况:手术1年多后,复查核磁显示肿瘤的切除效果非常理想,局部血管及其他重要结构均得到完整保留。巴教授也为小欧如今的状态感到高兴。如今,小欧的癫痫发作频率明显减少,在随访时,他还可以用流利的英语与巴教授对话,像一个“小大人”般描述自己目前的身体状况,聪明又懂事,令一旁的父母深感欣慰。
患者故事详细记录可阅读:当儿子陷入脑瘤与癫痫的双重噩梦,救他的竟是二次开颅……
参考资料:
Sandberg DI,Ragheb J,Dunoyer C,et al.Surgical outcomes and seizure control rates after resection of dysembryoplastic neuroepithelial tumors.Neurosurg Focus 2005;18:E5.
Vogt VL,Witt JA,Delev D,et al.Cognitive features and surgical outcome of patients with long-term epilepsy-associated tumors(LEATs)within the temporal lobe.Epilepsy Behav 2018;88:25.
Nolan MA,Sakuta R,Chuang N,et al.Dysembryoplastic neuroepithelial tumors in childhood:long-term outcome and prognostic features.Neurology 2004;62:2270.
Ray WZ,Blackburn SL,Casavilca-Zambrano S,et al.Clinicopathologic features of recurrent dysembryoplastic neuroepithelial tumor and rare malignant transformation:a report of 5 cases and review of the literature.J Neurooncol 2009;94:283.
- 文章标题:手脚抽筋、口吐白沫,当心孩子癫痫极有可能是这种脑瘤的征兆…
- 更新时间:2025-12-05 13:43:34
400-029-0925




