44岁女性莱娜,长期反复的癫痫发作已经让她苦不堪言,检查发现右侧脑室内见一巨大肿瘤正在扩散。
术前MRI

脑肿瘤相关性癫痫是癫痫的一个类型,通常由颅内肿瘤本身或其占位效应导致病灶周围的神经细胞异常放电而诱发,癫痫发作只是脑肿瘤的一个临床症状,故患者还可以表现为意识障碍,肢体活动、感觉和自主神经功能障碍等。此类癫痫发作的开始是局灶性发作,随后可能保持局灶性发作或继发全面性发作。
从第一次癫痫开始,他们开始生活在“颤抖之痛”里。癫痫的发作无法预判,在学校、在街道、在商场……肿瘤切除是有益于癫痫控制的重要因素。幸运的是,INC巴特朗菲教授为莱娜全切肿瘤。许多像她一样的脑瘤继发癫痫患者,在成功切除肿瘤后,生活回归平静。
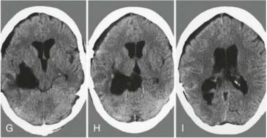
G-I:术后CT证实肿瘤已全切。

反复癫痫发作上不了学
顶叶低级别胶质瘤如何解决?
“孩子今天在学校再一次发作了癫痫,她回来告诉我们不愿意上学了,然后把自己关进房间里,而我们做父母的只有心痛,孩子才这么小,不该遭受这一切,我们多想替她承担……”
花季女孩,却深受癫痫折磨,频繁出现右侧手脚向后僵直,头向后仰,失去平衡的现象,每次发作时长大概半分钟到1分钟左右,检查出“大脑左顶叶深部占位”。由于癫痫发作频繁,正在上学的孩子生理和心理上遭受着双重打击。四处求医,均表示:“肿瘤压迫肢体运动功能区,并且靠近血供丰富的矢状窦,肿瘤难以全切,且术后肢体偏瘫可能性极高,对于术后恢复程度没有太大把握。”当巴教授为她顺利全切肿瘤,这个女孩也赢来的新的生活。

上班突发癫痫
额叶低级别胶质瘤1个月解决
一切如常的莫女士在上班时突发癫痫,抽出、晕倒。被送入院后,查出右额叶低级胶质瘤。这个胶质瘤已经在运动功能区旁,随着肿瘤的生长,一旦压迫到主运动功能区,很可能导致运动功能障碍。“医生建议保守治疗,如果手术,最大的风险是瘫痪致残,让我觉得看不到未来。”
“我,从昏倒后开始检查到教授安排手术,1个月时间果断决定。术后一个月左右,完全正常的一个工作学习。后面还带着带着家人去了很多的地方进行游玩……所以现在的状态可以说比原来还要好。”

反复癫痫会损伤大脑吗?
2017年国际抗癫痫联盟(ILAE)将癫痫发作初步分为局灶性癫痫发作、全身性癫痫发作以及不明发作。根据癫痫发作的原因、类型、次数、症状轻重以及持续时间,对大脑所产生的影响也不一样。
癫痫每发生一次,神经细胞就会过度释放电流,同时也会给患者的脑部神经造成伤害,损伤神经细胞。尤其是癫痫的强直阵挛症状或者大发作,这样的发作类型出现次数越多,造成的大脑损伤就越严重。
足够的证据表明,癫痫持续状态长达30分钟后,癫痫活动本身会导致神经元的丢失,进而发生脑损伤。此外,癫痫引起的脑损伤程度和患者的年龄、发育阶段紧密关联。成人和青少年的大脑比新生儿和婴儿的大脑更容易在癫痫发作后受损。
简而言之,癫痫对患者的影响是多种因素综合作用的结果,这些因素包括起病年龄、癫痫病因、发作类型、发作频率、严重程度、是否及时规范的治疗等,分析癫痫对大脑的影响,必须根据个体特点全面分析。
什么样的脑瘤容易导致癫痫?
该如何治疗?
在脑肿瘤的患者中经常可见癫痫发作,发生率不一,例如幕上的海绵状血管瘤、胶质瘤、神经节细胞瘤和胚胎发育不良性神经上皮瘤等,癫痫发生率较高,而幕下的肿瘤,癫痫发生率较低;对于其中的某些人而言,癫痫发作也往往是他们的首发临床症状,因此也常常被认为是脑肿瘤患者的早期预警信号。
在原发性脑肿瘤患者中,低级别肿瘤比高级别肿瘤更常见癫痫发作。在一项纳入1028例原发性脑肿瘤患者的病例系列研究中,低级别胶质瘤、间变性胶质瘤和胶质母细胞瘤患者的癫痫患病率分别为85%、69%和49%。其他不太常见的低级别肿瘤类型的癫痫发作发生率似乎也很高。例如,节细胞胶质瘤和胚胎发育不良性神经上皮肿瘤患者的癫痫发作发生率超过80%。
癫痫发作风险可能相对较高的临床情况包括肿瘤累及致痫性较高的区域(如运动皮层,额叶、颞叶和顶叶区的肿瘤)或肿瘤同时累及大脑和柔脑膜。

癫痫发作本身就是原发性与继发性脑肿瘤患者出现并发症和死亡的一个重要原因,需要积极治疗。无论患者能否通过药物治疗得到充分控制,对导致癫痫发作的肿瘤进行治疗,都可能减轻癫痫发作。
专家们普遍认同,在可行的情况下对原发性脑肿瘤行肉眼全切,且切缘无肿瘤细胞(clear margins)。一项对910例低级别胶质神经元肿瘤(神经节瘤和DNET)患者的系统评价发现,80%的患者在肉眼下全切肿瘤后癫痫发作得到缓解。

无癫痫脑瘤患者可以使用药物预防吗?
对于无先前癫痫发作史的原发性或转移性脑肿瘤患者,通常不推荐预防性使用抗癫痫发作药物。
2021年美国神经肿瘤学会(Society of Neuro-Oncology,SNO)和欧洲神经肿瘤协会(European Association of Neuro-Oncology,EANO)更新的指南再次推荐,临床医生不应对未曾出现癫痫发作的新诊断脑肿瘤患者预防性使用抗癫痫发作药物。
- 文章标题:反复癫痫发作会损伤大脑吗?脑瘤导致的癫痫怎么办?
- 更新时间:2025-09-22 11:30:20
400-029-0925




