2岁的孩子,一个巨大的鞍区视路胶质瘤,让他的左眼再也看不见颜色。孩子注定要失明了吗?现实并未如此残酷,在父母的坚持下,由巴特朗菲教授主刀,经眶颧入路成功实现全切,病理为毛状黏液样星形细胞瘤。术后1年,他仍在享受着来之不易的童年,而他的小猫也始终陪伴着他度过后续的治疗时光。


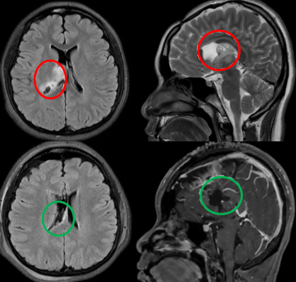
01、13岁·丘脑胶质瘤
7岁时查出脑瘤,第一次手术却只切了绿豆大小的肿瘤,无法确诊、无法二次手术、无法放疗……太多的阻碍让这一家人心力交瘁。尽管她始终无症状,肿瘤却从未停止生长,巴教授表示这正是手术的好时机。所幸,13岁时巴教授为她主刀的手术非常成功,病理为毛细胞星形细胞瘤。1年后,小女孩继续着自己热爱的球类运动,在阳光下挥洒汗水。

02、他们何以战胜低级别胶质瘤?
留意孩子的身体状况,“小题大做”有时并非坏事!
与成人相比,儿童脑瘤具有起病急、进展快、早期症状隐匿的特点。由于孩子的代偿能力很强,有些患儿正常的脑实质仅剩十分之一,却依然能表现出正常的状态。此外,年幼的他们表达能力有限,加之症状易被误认为是普通疾病(如头痛、呕吐、发育迟缓),因此误诊、漏诊率居高不下,被称为威胁儿童健康的“隐形杀手”。
当采访过部分患儿家长后,我们发现被问及第一次发现孩子的异常反应时,很多家长都会存在一定的“侥幸心理”——孩子不想去上学装病、学习压力太大、普通感冒头痛吃点药就好了、电子产品看多了……这些都让家长忽视了孩子异常背后的可怕诱因:脑瘤。
因此,家长需要时刻留意孩子的身体不适,“小题大做”有时并非坏事!尤其是出现以下这几大症状,可能需要额外前往神经外科进行相关检查:语言障碍、嗅觉障碍、视力障碍、听力下降、头晕头痛、癫痫发作、肢体乏力、行走不稳与共济失调以及垂体相关症状(男性性功能下降、不育等,女性不孕、月经不调等)。
权衡风险后尽早手术,最大程度上的安全切除!
“越早进行手术,孩子就能越快地恢复和生长,忘记这个肿瘤。”巴教授认为,对于胶质瘤来说,越早手术越好,因为胶质瘤从不会停止生长,而在无症状或症状轻微时手术,其效果远比症状严重时要好得多,切除率更高的同时也能获得更好的预后。
如果没有尽快手术,继续因为症状轻微而选择保守观察,也许等来的只是脑瘤的“致命一击”。大部分时候,孩子一旦症状严重、紧急发病,很可能会被迫“交出生命”,再也无法挽救。

快是一方面,对于孩子的手术还需要做到稳。很多家长面临另一个两难的局面:孩子的肿瘤长在脑干等危险区域,手术则风险大,不手术难以心安。这时,就需要家长保持清醒,在能力范围内多方咨询国内外的专家,综合几方建议全面衡量手术可能的风险和收益,在切除率和保功能之间做出合理选择。
“稳、准、狠”对于治疗决策而言同样适用,家长需要在权衡手术潜在风险的前提下尽早手术,追求最大程度的切除率,才能为孩子赢得更好的预后。
术后尽早运动,加快孩子的康复进程!
与成年人相比,孩子们的神经系统正处于蓬勃成长阶段,其代偿功能和自我修复能力均显著优于成人。尽管他们对手术的耐受性可能稍逊一筹,但术后的恢复速度却常常令人称奇,因此,术后尽快进行康复训练,有助于孩子功能的恢复。
手术后的康复是恢复身体功能和生活质量的关键环节。实际上,根据“加速康复外科(ERAS)”理念,想要术后康复得更快,一定要早期下床活动。神经外科医生会根据患者的个体情况,制定个性化的康复计划,包括物理治疗、康复训练、心理支持等方面。
当然,作为家长,还有一个必不可缺的部分,那就是营养支持。尽可能咨询营养专家,或制定专门的营养食谱,也可以在最大程度上提升孩子的体能和身体素质,为后续可能的治疗打好基础。
INC 国际小儿神外专家团
国际脑干手术大咖 Helmut Bertalanffy教授

教授擅长颅底、脑干病变、功能区、大脑小脑、脊髓等复杂位置的肿瘤性、血管性疾病的手术治疗,尤其擅长颅底、脑干等复杂区域病变的肿瘤切除术、神经吻合术等,脑干病变成功手术病例近千台,以精湛高超的手术技术不损伤神经功能且全切病变。巴教授历经千万个小时用超精确的物理剥除诠释了医术为何为艺术。
国际儿童神外专家 Concezio Di Rocco教授

自2014年5月起,Di Rocco教授就担任了德国汉诺威国际神经科学研究所(INI)的儿科神经外科主任。从事儿童神外事业50余年,Di Rocco教授尤为擅长小儿神经纤维瘤、癫痫、脑积水、蛛网膜囊肿、颅缝早闭、脑和脊髓肿瘤、脑和脊柱畸形(半椎体畸形,皮质发育不良,脊髓脊膜膨出,脊髓内脂肪瘤,Arnold-Chiari畸形等)难治病症方面的治疗,曾进行过12000多次神经外科手术。
国际儿童神外大咖 James T. Rutka教授

教授发表超过500多篇高影响力论文,在临床上的研究方向以颅内肿瘤为主,对胶质瘤、纤维瘤、颅咽管瘤、室管膜瘤具有多年的临床经验,擅长清醒开颅术、显微手术和被广泛用于治疗恶性脑瘤和癫痫的国际前沿技术激光间质热疗(LITT)技术经验,对于儿童胶质瘤,尤其是高级别胶质瘤开展多项临床试验,其所在的医院加拿大SickKids是国际知名的儿童医院之一。
- 文章标题:养猫、打球…摆脱胶质瘤,他们的命都是家长“争”来的
- 更新时间:2025-08-20 17:44:01
400-029-0925




