
战胜脑干胶质瘤的他们。

这些影像,你是否觉得熟悉?
对于脑干胶质瘤患者而言,这些影像再眼熟不过——病情的宣告,往往始于这一张张片子。
人生就像打扑克,总会抓到几张烂牌。而这一张张影像,就像命运发给他们的“死局”,令人焦灼,却又无法逃避。
当被告知“无法手术”,当生存的希望一点点流逝,迷茫、绝望、勇气与坚韧在他们心中交织。一张张影像背后,是一个个鲜活的生命:9岁的孩童到52岁的成人,不同年龄、不同性别,却同样被脑干胶质瘤裹挟。
“这个位置不能手术,回家等着吧。”——面对“手术禁区”,有人黯然离场,也有人创造了15年生存的奇迹。从可以手术,到长期生存,他们,是如何一步步反败为胜的?
1. 脑干胶质瘤容易“溜走”?巴教授全切为她赢得12年
35岁的Emma,中脑顶盖肿瘤,内生性生长,仿佛被脑组织严密包裹,所幸尚未突破脑干表面。

术前MRI
巴教授选择了幕下小脑上旁中央入路,面对这个“很有弹性,容易‘溜走’”的肿瘤,巴教授手持CUSA刀(超声吸引器),击碎肿瘤然后再吸走。正常脑组织完好无损,而肿瘤被成功切除。

术后,患者短暂出现了帕里诺综合征,术后8周自行缓解。最终,病理报告显示:形成菊形团的胶质神经元肿瘤(RGNT)。术后5年随访时,MRI显示肿瘤无复发。术后12年的长期随访显示,她依然状态良好!

术后MRI
2. 两路包抄全切肿瘤,她也术后11年无复发
36岁的Belle怎么也没想到,持续不断的剧烈头痛和突然出现的走路摇晃,竟是中脑顶盖外生肿瘤在作祟。这个“不速之客”已经引发了阻塞性脑积水,随时可能危及生命。在紧急进行脑室腹腔分流术后,她的症状终于得到缓解。但这个位于脑干的肿瘤,却让医生犯了难。
当找到巴教授,困难将迎刃而解。这位国际脑干大咖精心设计了两路包抄的手术方案:上方经小脑幕上入路精准切入,下方从第四脑室端部巧妙突袭,如同展开一场精妙的“围剿战”。术后影像显示肿瘤被全切,更令人欣喜的是,Belle的神经功能完全未受影响。组织病理学诊断为形成菊形团的胶质神经元肿瘤(RGNT)。

术后11年随访,肿瘤无复发。术后享受着正常人的生活。

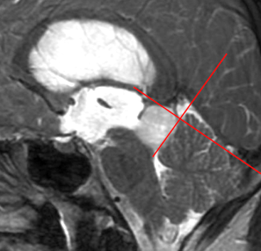
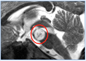
3. “一台手术,双入路”精妙手术创造15年生存希望
45岁的张先生突然遭遇剧烈头痛、喷射状呕吐,很快陷入意识模糊——这是颅内压急剧升高的危险信号!医生立即为他实施神经内镜下脑室造瘘术,暂时缓解了这场生死危机。
进一步检查发现更严峻的挑战:脑干肿瘤已从“生命中枢”向上侵袭至第四脑室。如果从小脑上部进入,手术深度难以超过2厘米,想要全切肿瘤几乎是不可能的任务!

面对这一“手术禁区”,巴教授采用“一台手术,双入路”的精准策略。通过多方位精准打击,在保护神经功能的同时,实现了肿瘤的最大程度切除,为患者赢得了生存希望!

手术入路图解

术后MRI
术后病理显示形成菊形团的胶质神经元肿瘤(RGNT),这位男士术后随访已达15年!
4. CASE脑干肿瘤男孩10年重生如今帅成这样
“花有重开日,人无再少年。”
对抗脑干胶质瘤,除了找到一位技术精湛的主刀,还需要这样的少年心气——无畏、坚韧,一往无前。
9岁的Andy,确诊脑干菊形团形成型胶质神经元肿瘤。眩晕、复视、感觉障碍……病魔的阴影笼罩着他的童年。

直到巴教授的出现,为他点亮了生的希望。在手术台上,一场与死神的较量悄然展开——精湛的医术、坚定的信念,最终撕开了命运的阴霾。
10年后,曾经的小男孩,已长成挺拔少年……

INC巴教授-脑干“无人区”突破者!
面对脑干胶质瘤这一“坏牌”,巴教授如何扭转乾坤?
INC巴教授,这位与脑干携手50年,并在这一领域已经深耕30多年的神外大咖,对于脑干手术有着他自己独到的理解。点击阅读:1974-2024携手脑干50年的“love story”「INC云端峰会」巴教授精彩分享

1.脑干不是“无人区”!
2.显微手术在局灶性脑干胶质瘤的整体管理中发挥着重要作用。
3.“低级别”胶质瘤是最佳的手术候选者。
4.在许多情况下,可以尝试并实现治愈。

可以发现,这一次我们分享的4个案例,都是形成菊形团的胶质神经元肿瘤(RGNT)——低级别良性肿瘤。对于胶质瘤这种,手术是一线治疗手段的疾病,因此,严格筛选符合手术指征的患者并施以精准的手术治疗,尤其是低级别胶质瘤患者将有望获得治愈机会。此外,对于毛细胞星形细胞瘤患者,是手术甚至还可以达到治愈效果,多数患者可以获得幸存25年之久。
那么问题来了:面对凶险的高级别胶质瘤,我们是否就束手无策?
以胶质母细胞瘤为例,很多人会质疑:“为何还要冒险手术?因为这是一种恶性肿瘤,位于脑部一个非常困难的部位。为什么要做比活检术更多复杂的干预呢?”
巴教授的临床实践给出了不同答案:在很多情况下这是可能的。手术可以明显减少肿瘤体积,他在胶质母细胞瘤和弥漫性中线胶质瘤的治疗取得了非常好的效果。一些患者的存活期甚至长达数年了。
这里必须强调巴教授始终坚持的手术黄金准则:我们追求最大程度切除肿瘤,但绝不能以牺牲神经功能为代价!当手术可能引发瘫痪、失明、面瘫等严重后遗症时,必须慎重权衡:手术能否真正让患者获益?对于病情持续恶化、危及生命的患者,手术指征明确;但若手术风险远远大于收益,手术也不是一个好的选择。
- 文章标题:劝我放弃?不!脑干胶质瘤我们也要刷新生存记录:10年、15年、20年…
- 更新时间:2025-07-15 10:51:21
400-029-0925




