中脑顶盖胶质瘤是位于中脑顶盖区的内生或外生性肿瘤,主要临床症状为脑积水所致颅高压。中脑顶盖部胶质瘤虽然在解剖病理上属良性脑干胶质瘤,但是肿瘤起源于顶盖区,外生和内生性生长可挤压、闭塞中脑导水管及其开口处,极易导致脑积水,因而需进行有效的神经外科治疗。由于解剖的特殊性,中脑顶盖部胶质瘤直径较小,因肿瘤压迫或浸润产生的局灶神经功能障碍较少见,临床症状以脑积水、颅高压为主,脑积水出现早且严重。

图:中脑顶盖胶质瘤,顶盖为主向背侧小脑生长,神经功能受损伤影响小,有明显边界,可以全切,预后好
脑干中脑解剖结构复杂,中脑约为人拇指头大小,集合了人体所有的运动、感觉、意识等重要神经核团,肿瘤的压迫、手术损伤核团则会引起不可逆性的损伤。在如此狭小的地方手术,效果更是差之毫厘、谬以千里,很多手术哪怕只是单纯中脑取点组织活检病人都得瘫痪。这就需要考验术者的经验和能力,也需要遵循神经外科手术的原则——保护神经功能前提下最大程度切除肿瘤。

脑干解剖图(含神经名称)
本文分享四位巴教授中国脑干中脑顶盖胶质瘤患者,看看他们的治疗故事。
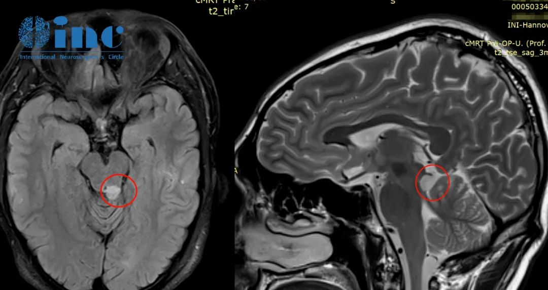
21岁男性中脑顶盖胶质瘤
肿瘤长得越大,压迫症状越多,而且又是在脑干部位。举个例子,比如坐飞机,你不用考虑飞机飞多高,什么时候应该给流等,这都是由机长决定的,你只要放心做就行。”“相信巴教授!”
——2022示范手术期间,张远接受手术前和巴教授术前谈话
患者情况
21岁的张远2018年底突然出现剧烈头痛伴呕吐症状。反复头痛已经严重影响到正常的学习和生活,在19年进行了脑脊液分流术,术前磁共振检查提示中脑导水管狭窄,但并未发现占位性病变。分流术后症状消失,张远重新回到校园。2021年2月他再次出现剧烈头痛伴呕吐,并有眼球向上运动困难,调压后症状消失。于当地医院就医检查,提示中脑顶盖占位性病变,最大直径约8mm,随后一年磁共振复查无变化。2022年8月复查磁共振提示肿瘤增大,最大直径12mm。2022年10月复查核磁提示肿瘤增大,自行测量肿瘤大小约18mm,两月内竟激增6mm!迅速增长的肿瘤,让一家人陷入恐慌,必须尽快找到能为孩子安全手术的主刀医生。

2022年12月3日,示范手术顺利完成,巴教授近全切肿瘤,术后无新发后遗症,术后第一天教授查房时,张远意识清醒,能进行交流,术前担心的昏迷、瘫痪真的没有在这个大男孩身上发生。术后一个月病理报告为2级多形性黄色星形细胞瘤,是预后相对较好的肿瘤,手术是延长预后和生存期的治疗方式,而张远的多形性黄色星形细胞瘤位置长在生命中枢-脑干,动刀手术已经实属一大难题,能得到巴教授近全切的效果已是万幸的结果。
33岁教师中脑-顶盖胶质瘤
我找了很多医生,说要么就是致残,致残率比较高;要么就是下肢瘫痪,要么就是嘴歪眼斜的;生活质量不好。在网上无意中发现了INC国际神经外科,之后我就决定跟她们沟通联系。这才知道还有国外治疗这一个门路。让我重见光明,最终我决定去找德国的巴特朗菲教授去做手术。对治疗结果相当满意,巴教授治疗后,我回到云南,去了医院复查,在他们看来是不可能完成的任务,但是巴特朗菲教授确实完成了。
——术后两年周老师重回讲台,无复发,感慨道
患者情况
33岁的周老师,因频繁头痛头晕就医核磁共振检查结果显示中脑背侧占位,病变大小约1cm,考虑为低级别胶质瘤可能大。因为病变位于脑干,手术风险极大,术中稍有差池都可能直接造成高位瘫痪,国内就医后被建议谨慎考虑治疗方案或选择保守治疗。


赴德治疗过程:2020年成功接受手术,诊断为左侧脑干(中脑顶盖区)的低级别胶质瘤。手术过程:半坐位,经显微镜下全切肿瘤,术中全程电生理监测,手术顺利无神经缺损。术后第1天迁出ICU,回到普通病房,周先生可在普通病房自行用餐,术后第2天,周先生在医护人员的帮助下下床行走。术后第5天,周先生顺利出院。在这样的“手术禁区”,不但没有发生严重的、不可逆的神经损伤甚至可以说几乎没有什么症状,并没有在ICU多留,术后第五天竟然就能出院了,“就像做了个小手术一样”。
14岁中学生中脑-顶盖胶质瘤
“一定要抢时间,不要最后弄得和走独木桥、走高跷一样,那没必要,还是尽量可以提早一些……复查非常好,中考体育40分满分,英语口语30分,手术之前身高1.7,回来就长到1.8几,运动能力比术前更强了!你们帮助了很多人,希望你们能帮助到更多人!”
——小永爸爸术后感谢INC

国内知名高中校长为小永颁发录取通知书
患者情况
2020年11月,14岁的小永因患脑干-中脑顶盖部位的毛细胞型星形细胞瘤住进医院,MRI影像检查发现松果体区占位伴幕上脑室扩张积水,病灶有明显强化生长迹象。2年前父母带他去过国内多家知名医院,可是得到的治疗意见都是:“手术风险太大,无症状时不必着急手术。”父母因此一直没敢给孩子选择手术治疗,直到孩子的病情越来越严重,影像检查发现小永的脑干-中脑顶盖占位伴幕上脑室扩张积水,再不进行手术,孩子可能会面临着更大的风险……
治疗过程:小永父亲在医生朋友的推荐下联系到INC德国巴特朗菲教授进行国际诊疗咨询。巴教授表示,小永已有很明显的手术指征,如果能及时接受手术,脑脊液通道可以通过肿瘤的切除而得到恢复。小永父母决定带孩子赴德国接受巴教授的手术治疗。术中教授在保全患者正常功能神经和脑干等重要脑组织的前提下,完成肿瘤近全切手术,术后无新发永久性后遗症。

20岁男性中脑-顶盖胶质瘤
患者情况
2019年初,正在学校学习的峥峥越发感觉自己的视力越来越差,这种情况已经持续了1年。原本以为只是近视的他没当回事,但他的不适感非但没有减轻,反而出现头晕,甚至左侧小腿发作性疼痛。在医院做了CT之后,显示脑积水。在医生的建议下,在全麻下行侧脑室-腹腔分流术,手术顺利。没想到2个月后再次出现头部胀痛,而且持续了半个月也没有好转。再次就诊,行MR发现:“左侧慢性硬脑膜下血肿。“峥峥再次进行手术,局麻下行左侧慢性硬脑膜下血肿钻孔引流术。好在手术顺利,术后进行了对症治疗,病情好转后出院。2个月后,再次复查MR示:四叠体区异常信号。
治疗过程:2019年6月,巴教授在苏州为峥峥手术,肿瘤全切,无任何神经功能损伤,病理结果显示:(四叠体区)星形胶质细胞瘤(WHOⅡ级)。

术后情况:峥峥术后恢复良好,为了更好的预后,2个月后开始放疗,放疗计划为52Gy/26次。术后4年,峥峥肿瘤未复发,如今的他已经脱离了稚嫩,成为了爸爸,新的角色,人生也重新开启。
结语:手术医师及团队水平是影响手术结果的关键因素
手术是胶质瘤治疗的一线手段,也是决定胶质瘤预后不同的重要因素及后续放化疗效果的基础,规范及时的首次手术治疗是关键。

临床经验分析表明,手术切除的程度与预后密切相关,目前手术原则仍是在安全的前提下最大范围地切除肿瘤,应寻求适合的手术入路,保障首次手术全切。术后为保障治疗效果,控制肿瘤生长,部分脑肿瘤患者可选择辅助放化疗。为明确肿瘤的治疗效果,必须定期进行临床和影像学随访。

中脑顶盖部胶质瘤临床罕见,病理级别相对良性,进行积极的显微外科治疗能取得较好的效果,而手术之难又让多少医生望而却步。神经外科医疗技术不断创新发展,脑干肿瘤终将被克服,获得良好预后的患者只会越来越多。对于患者而言,当罹患如此让人绝望的疾病,重要的也是不放弃希望,避免徘徊犹豫期间进行的一些不必要的治疗措施,甚至是不可逆转的手术,成功的手术只有一次机会。建议首先寻求更好的机会,选择医院重在主刀医生的选择,手术医生的能力、技术水平和成功案例,说不定下一个转弯处就出现新的生机。
- 文章标题:【中脑顶盖胶质瘤手术集】可致人昏迷的“拇指盖”大小之地,INC巴教授尽全切造生机
- 更新时间:2024-11-29 16:45:12
400-029-0925




