丘脑胶质瘤患者家属自述
“2022年9月份下旬在当地医院检查发现右侧丘脑内有一个阴影,医生建议到上级医院进一步检查,十月初到上级医院进行检查确定为右侧脑干胶质瘤,一开始并没有觉得这是多大一个疾病,十月十一号手术治疗,在手术室待了八九个小时后,又在重症监护室待了两天才觉得问题有点严重,手术后病理分析为三四期恶性高级别胶质瘤,看到这个结果我觉得瞬间天都塌了,我才刚结婚不久,家里的情况也才逐步逐步上升,现在左侧肢体几乎处于瘫痪状态,左腿勉强还能动一动,走两步,左手完全动弹不得,视力模糊,血压也不太稳定。在上级医院花费了差不多十七万多,在当地医院治疗花费了差不多十多万……”
“双侧丘脑胶质瘤,发现到现在3个月整,从一个正常人到卧床失语,不能吞咽,嗜睡,肩膀抽搐,我要怎么才能留住他?最终我父亲走了……”
“我老婆丘脑胶质瘤,手术后,一直发热,胡言乱语。还不如不手术的好,现在还在昏睡中……”
“右侧丘脑二级没全切,影响了语言思维,现在眼睛也有点影响了”
“我妈妈现在做完手术13天依然昏迷不醒,一直在ICU"
"我爸爸是左侧偏躯干丘脑胶质瘤手术动了18个小时ICU只呆了三天就脑细胞死亡,早知如此我们就会选择保守治疗,也许还有个把月"
丘脑位于大脑深处,感觉就像在地下室里藏着个小房间。它的邻居是下丘脑和中脑。丘脑被内囊覆盖了50%,有点像被包裹在保鲜膜里,行动不便。加上,小小的空间,发病范围小,所以发病率也较低。不过,一旦闹腾起来,常见的麻烦就是胶质瘤,此外还有海绵状血管瘤、室管膜瘤、脉络丛乳头状瘤、生殖细胞瘤等。
作为人体“感觉中转站”,丘脑可不简单。除了嗅觉,身体的所有感觉信息都会在这里转车,再投递到大脑皮质。如果你摸到热水,丘脑就负责把“烫!”这个信号送到大脑。它不仅帮你感知世界,还在运动、语言等方面发挥重要作用。
所以,医生们对丘脑手术都是步步小心,动刀时仿佛在精细拆炸弹,得考虑到每根神经线都可能“发火”。毕竟,一旦处理不当,可就不止是“痛感”丢失那么简单了。

丘脑的解剖与功能
丘脑长3×1.5厘米,构成间脑的大部分,可细分为3个主要核区:前核、外侧核和内侧核,以及附着于后部的丘脑枕核。内髓板由上述主要核区之间较小的板内核群组成,而外髓板为围绕每侧丘脑和网状核的白质组织。这些核区内的功能核群包括网状核、板内核、结合核、特异感觉核、效应核和边缘核。

网状核环绕背侧丘脑的背侧和外侧,形成网状结构,接收脑干网状结构的传入信号,并向其他丘脑核传递信息,而其他大部分丘脑核则投射到大脑皮层。板内核分布在内髓板,主要与视觉通路、觉醒、注意力、记忆、意识和伤害感受有关。结合核,如丘脑枕核,连接顶叶和枕叶区域,与认知功能有关。特异性感觉核分布于整个丘脑,传递听觉、视觉、体感、味觉和前庭信息。效应核协助运动功能和语言,而边缘核则与感情、情绪和欲望有关。由于这些不同的核团分布在丘脑的不同解剖区域,特定区域受损会产生不同的症状效应。

丘脑胶质瘤一定都无法手术吗?
其实不一定。丘脑的位置有点像交通枢纽,里面挤满了神经功能的“中控室”。周围还住着很多重要的“邻居”,比如控制肢体运动、视力、认知等高级功能的区域,外加脑干。如果手术时医生稍有不慎,就像在高峰期地铁里踩到别人鞋子,可能直接导致偏瘫、视力丧失、失语,甚至昏迷,后果严重。
但并不是所有的丘脑肿瘤都“动不得”。如果是有明确边界的或低级别的胶质瘤,还是可以通过手术解决的。并且,切除得越彻底,患者的预后也越好。不过,这类手术对医生的技术要求高得离谱——主刀医生得像脑内的“特种兵”,手术精度必须达到“针尖上的舞蹈”级别。
INC德国巴特朗菲教授表示丘脑已不再是手术禁区,他有着丰富的成功治疗和预后良好的案例……而Rutka教授则尤其擅长儿童丘脑胶质瘤患者的个性化综合治疗。以下是部分成功案例汇总,希望能给罹患丘脑胶质瘤的病友们信心,病魔并不可怕,只要积极治疗就一定还有希望。(点击案例标题可阅读详情):
INC国际教授丘脑胶质瘤手术纪实
52岁女士丘脑胶质瘤成功手术

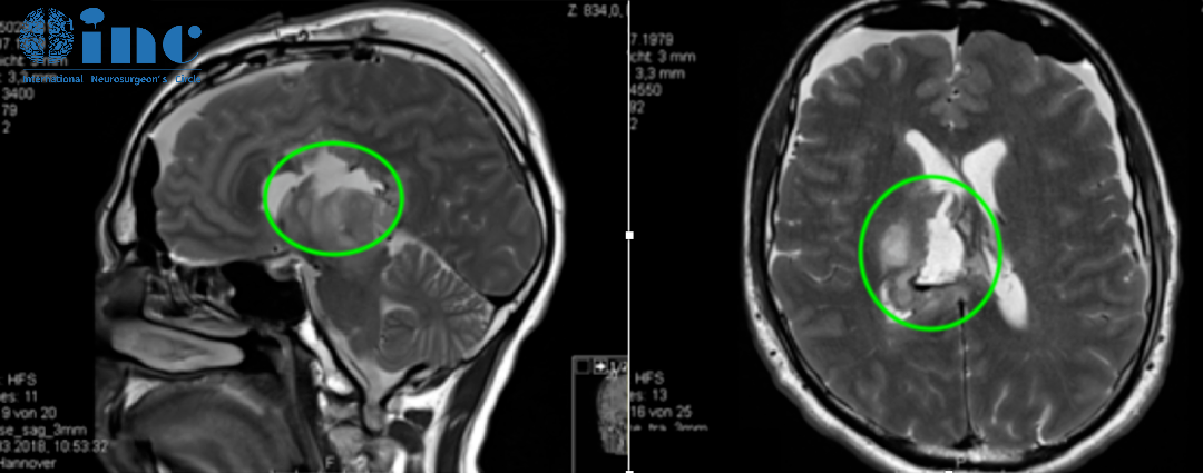
患者情况:52岁的陈女士十几年前开始出现左肩上斜方肌僵硬酸痛。近一年开始出现明显的视力、记忆力下降,经常忘记不太熟悉人的名字,偶然会有说话组织不好语言的感觉。近3个月开始出现左手腕酸痛无力。近半个月开始出现头后部下半部分与左太阳穴的位置隐痛。2022年7月,检查提示:右侧丘脑病变—低级别胶质瘤可能。
远程咨询专家:INC巴特朗菲教授
治疗过程:2022年12月1日,陈女士接受巴教授主刀的示范手术。
治疗后情况:术后影像显示,巴教授近全切肿瘤;术后第1天ICU巴教授查房,用中文轻声询问陈女士”你感觉怎么样“,陈女士面带笑容回答”我感觉很好,术前评估说的可能出现的复视、手麻都没有,感谢巴教授”。术后第4天巴教授查房,陈女士已恢复基本正常,陈女士的丈夫告诉巴教授,现在她已经可以自己下床走动。而陈女士自己表示“恢复得挺好的,没有什么不舒服的地方”。术后1年无复发,正常的工作生活。
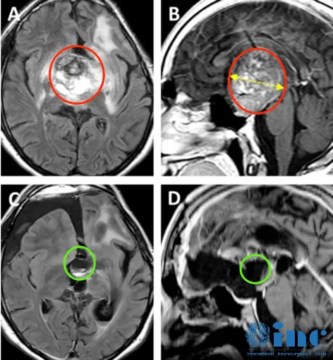
26岁足球运动员巨大丘脑占位次全切后10天出院

患者情况:在一次头部轻伤后近3个月来逐渐出现复视、肢体活动欠灵活、容易急躁,遂当地医院就诊。发现巨大丘脑占位并压迫脑干,当地医院表示,目前虽无明显肢体瘫痪症状,但是手术难度风险极大,有昏迷、失明、术后瘫痪、感觉障碍等可能,且肿瘤切除率有限。后慕名求诊于德国巴特朗菲教授。
诊断:右侧丘脑胶质母细胞瘤(胶质瘤4级),压迫右侧中脑WHO 4级,MGMT甲基化。
主刀医生:INC巴特朗菲教授
治疗后情况:在术中电生理监测(SEP和MEP)下,巴特朗菲教授采用右侧额叶旁开颅术和通过额叶纵裂经胼胝体入路,肿瘤得到次全切除。手术顺利,无围手术期并发症。术后当天拔除气管,无神经功能缺损。术后第2天转到普通病房。术后左手有轻微精细运动欠灵活,术后1周左右明显改善。术后10天出院,保持清醒,精神可,没有颅神经缺损;没有视野缺陷,肢体感觉和运动正常。

术后MR显示肿瘤次全切除,占位效应明显解除
16岁男孩丘脑胶质瘤失明10年,近全切术后3年未复发

患者情况:16岁的Nico是个阳光开朗的大男孩,早在他4岁的时候,他就因丘脑肿瘤而做过左侧翼点入路切除手术,但手术并不彻底。在确诊为“丘脑毛细胞星形细胞瘤”后,他还做了两个周期的辅助化疗,但一切仿佛都无济于事。肿瘤在随后的10年多里中很快复发长大,Nico也出现了全垂体功能减退和严重的左侧视力障碍,几乎等于这只眼睛失明。
主刀医生:INC巴特朗菲教授
治疗后情况:术后患者治疗顺利,恢复平稳,患者继续进行全垂体功能减退的医学治疗。在术后3年的随访中,无出现任何其他新发的神经或认知功能障碍。现在的他坚强积极乐观,喜爱运动,他可以做很多他自己喜欢的事儿。
钢琴家丘脑胶质瘤手指障碍,全切术后第5天可自行行走

患者情况:作为钢琴演奏家、钢琴老师的Z女士,大约4个月前发现出右手弹奏不灵活,精细活动限制,头部右侧和右脚麻木感,也偶有视力模糊、有雾感,起初本以为是太劳累所致,却不见好转,当地医院就诊,在当地医院发现颅脑内巨大占位,考虑胶质瘤可能。
主刀医生:INC巴特朗菲教授
治疗后情况:在5-ALA荧光、术中神经导航和术中MRI辅助手术,通过左侧顶枕枕骨开颅术和显微外科肿瘤全切手术,手术顺利,无手术并发症。患者术后当天即拔出气管插管,无任何问题,转入ICU观察1天。术后第2天指标正常迁出ICU。术后第3天即在物理治疗下增加康复锻炼,下地锻炼,术后第5天即可自行站立行走。住院期间,手精细功能障碍、言语和感觉偏瘫均得到改善。右手的精细运动技能也比手术后开始时明显改善。
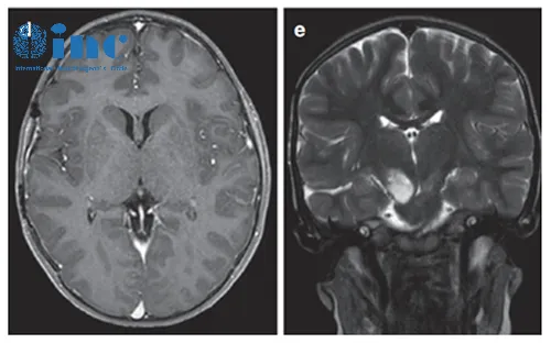
9岁男孩丘脑胶质瘤,手术+化疗效果良好
患者情况:左面部、上肢和下肢有3周的急性病史,持续轻微口齿不清三个月以上。他还有多处咖啡色的斑点和腋窝雀斑。被诊断患有注意缺陷多动障碍,这些症状可以归因于器质性病因。(下图a、b)轴位MRI造影剂及冠状面T2-WI显示一个环形增强的右侧丘脑结节肿瘤。

主诊医生:加拿大多伦多大学儿童医院(SickKids)、INCJames T.Rutka教授团队
治疗过程:Rutka教授考虑根据其病情进展制定综合治疗方案,先行经颞中回经脑室入路次全切除肿瘤,组织学为WHO I级毛细胞星形细胞瘤,BRAF重复融合状态为阴性。免疫组化检测BRAF V600E、H3K27M阴性。基因测试证实了NF1基因的变异。术后严密随访患儿术后情况。
治疗后情况:6个月后的影像显示丘脑部分切除和中脑的小肿瘤残留,因此,Rutka教授根据其病情发展量身定制辅助治疗计划,患儿对放疗反应良好。

术后6个月显示肿瘤次全切除
3岁男孩巨大丘脑胶质瘤,手术+化疗效果良好
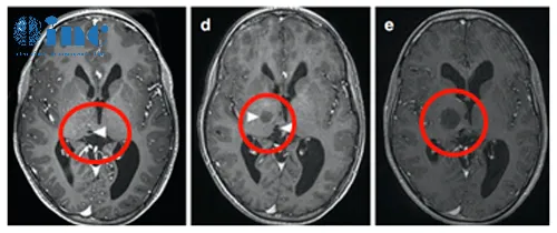
患者情况:3岁患儿因呕吐和巨脑畸形就医。CT及MRI显示右侧丘脑病变伴钙化及后三脑室梗阻,引起脑积水。
主诊医生:INC世界神经外科顾问团成员、加拿大多伦多大学儿童医院(SickKids)James T.Rutka教授团队。
在8岁、11岁和13岁时,James T.Rutka教授成功地利用第三脑室内窥镜切开术治疗脑积水,且影像显示肿瘤增大和多发肿瘤囊肿(箭头状),并逐渐出现左上肢震颤。

患儿在13岁时进行了神经导航和超声引导下的活检,证实为脑瘤为WHO I级,毛细胞星形细胞瘤。肿瘤囊肿持续扩大,患儿发展为急性偏瘫。

术后MRI显示囊性占位接触,脑室慢慢恢复正常。四个月后,由于患儿的偏瘫没有改善,Rutka教授为其行经胼胝体半球间入路及肿瘤次全切除术。这一次手术后,患儿偏瘫改善,生长和智力发育正常,近期随访显示脑瘤未复发。免疫组化检测RAFV600E突变免疫无阳性,H3K27M阴性。

术后MR显示肿瘤次全切除,无复发
丘脑胶质瘤手术关键在哪里?
胶质瘤的治疗原则是手术加放化疗的综合治疗,这同样也适用于丘脑胶质瘤,当然对每一个病人还需要具体分析,一定要准确施治,即个体化的精准治疗。手术是治疗丘脑胶质瘤的第一关,也是非常重要的一环,手术的结果,直接关系到下一步的疗效和病人的愈后。
常用的手术入路有以下五种:
①前方入路:即经过单额额中回皮质造瘘,进入到侧脑室额角,适用于丘脑前方或肿瘤主体在丘脑前方的肿瘤。
②经胼胝体一侧脑室入路:切开胼胝体中部,进入侧脑室的额角及体部,切除丘脑前部或中部的肿瘤,适用合并脑积水伴侧脑室额角及体部明显增大的患者。
③侧脑室三角区入路:颞顶枕开颅,经皮质造瘘直达侧脑室三角区,适用于丘脑后部或侧方的肿瘤。
④翼点入路:适用于丘脑侧前方的肿瘤,肿瘤通常距离岛叶皮质较近或突入侧裂沟内。
⑤纵裂胼胝体穹窿间入路:适用于丘脑内侧后方突入三脑室内的肿瘤。

神外常见手术入路
术前的第一步,就是搞清楚肿瘤跟周围正常脑组织的“关系网”。像是探案一般,医生得通过功能性MRI和纤维束成像这些“高科技侦查工具”,确认肿瘤是不是挤占了正常脑组织的地盘。这样才能选好手术的“入场路线”。
手术的关键就是两个字:精准!先得找到肿瘤,再巧妙避开重要的脑功能区域。定位肿瘤可以通过解剖结构,也可以借助术中导航系统,像开车时用GPS一样。而一旦锁定目标,接下来就是尽可能全切肿瘤,尤其是高级别的胶质瘤,切不干净就可能引发术后血肿或脑积水,这可不是闹着玩的。
一个特别需要注意的点是,丘脑有一些正常的引流静脉,手术时必须特别小心保护好它们。如果引流静脉受损,可能会导致严重的脑水肿,甚至危及生命。
丘脑胶质瘤的手术难度极高,如何全切除肿瘤同时保护脑组织的功能呢?
丘脑胶质瘤的手术难度确实非常高,风险也比较大。因为它往往容易合并脑积水,对于合并脑积水的丘脑胶质瘤一定要预处理,脑积水可先行脑室外引流并缓慢释放脑脊液,让脑组织适应。这就像给脑子“放水减压”,为手术扫清障碍。
切除肿瘤时,对那些血供丰富的高级别肿瘤,吸引器可以帮忙快速清理肿瘤,但一定要轻柔,还得确保周围止血干净利落。至于电凝止血工具,别滥用!太猛了可能会烧伤神经,术后恢复起来就难了。
注:以上案例供学术交流,不作为个别患者的医学诊疗意见。
- 文章标题:丘脑胶质瘤手术案例|昏迷、瘫痪与死亡的背后,国际教授如何破解?
- 更新时间:2024-12-17 16:25:20
400-029-0925




