
7岁男孩巨大小脑-脑干胶质瘤赴德术后2年半随访
“with no tumor remnant,no recurrence and no bad sideeffect of surgery"
他们都是父母的宝贝——9岁的孩童小脑肿瘤术后脑瘫,11岁年轻生命脑干肿瘤手术后并发症不幸离世,临床上不乏这些因为手术失败而导致病人出现严重并发症乃至死亡的案例,在脑子里动手术,需要极为慎重,而脑干、小脑这些疑难部位更是犹如刀尖上起舞……
那些成功寻得生机的患者们是无比幸运的,一名7岁小脑-脑干低级别胶质瘤幸运儿辰辰,在顺利全切手术2年多时,辰辰父母发来感谢:辰辰现在没有症状,已经如常上学,希望INC工作人员传达自己的谢意,再一次感谢教授为孩子做了这样一个完美的手术!

教授随后邮件回复“我非常高兴能够看到这个核磁复查结果,没有肿瘤残留,没有复发,也没有手术的不良副作用。这也与男孩没有症状的情况相对应。”

一次无悔的选择让身患脑胶质瘤的辰辰重回健康,手术很成功,辰辰的肿瘤获得全切,术后病理结果为who一级的毛细胞型星形细胞瘤,这代表着预后很好,可以长期生存,可以同正常孩子一样生活。
在2021年5月,巴教授来华疑难手术示范期间,辰辰妈妈还专程来到教授国内手术示范医院苏州大学附属儿童医院复诊及表达感谢,期间她还接受了INC采访,将自己的治疗故事分享给与其遭遇相似的家庭。
辰辰的新生之路纪实,爱跨山海,母子同心
一场交通事故,竟查出脑瘤
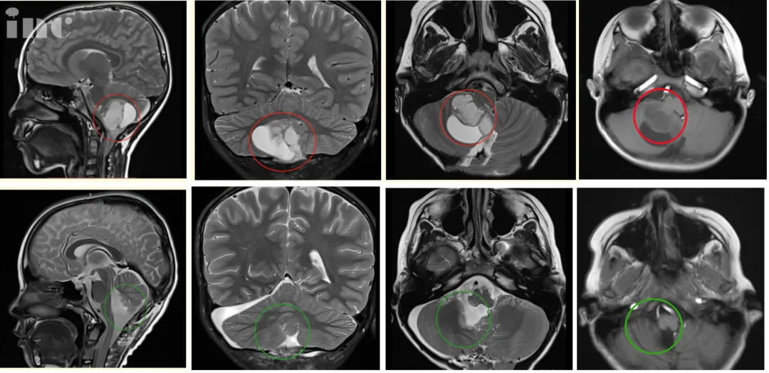
2020年末,6岁的辰辰在一场小小的交通事故后总是抱怨头晕,为明确有没有大脑损伤,担心后遗症,辰辰妈妈带他到医院做了核磁共振,结果竟然查出“小脑占位”,右侧小脑半球见40mm*37mm大小异常信号,邻近四脑室受压变窄,脑干受压,中线结构局部左移。医生给出诊断,考虑可能是低级别的星形细胞瘤。

辰辰的占位已经压迫四脑室和脑干,中线结构也开始左移。脑干是生命的中枢,几乎管辖着生命的一切。肿瘤压迫脑干,意味着生命中枢受到威胁。然而想要安全手术铲除肿瘤难度更大,手术稍有不慎就可能出现瘫痪、长期昏迷等严重后果。一场意外竟然发现了孩子脑子里长了这么一个严重的肿瘤,辰辰妈妈百感交集,趁着孩子还没有其他更严重的症状,她决心趁早积极治疗。试想,如果当初没把孩子头晕的情况放在心上,孩子的症状一定会继续加重,到最后很可能恶化危及生命。
远程咨询回顾
自从得知孩子患病以后,辰辰父母从最开始的互联网信息查询到加入了各种病友群,最后为了得到更专业的信息,查阅外文专业资料,了解与辰辰病情相关的知识。“我们从来都没想过会学习神外知识,可是辰辰患病以后,我们想拼命学习关于这个病的一切知识。”最终辰辰父母了解到对于脑干位置,INC德国巴特朗菲教授非常擅长。因为是疑似低级别,预后也会更好。于是马上联系INC国际神经外科医生集团开启了远程咨询这位国际脑干专家。

在INC专业的医学顾问的帮助下,巴教授了解到了辰辰的情况并邮件详细回复了辰辰妈妈的疑问:“MR显示非常典型的小脑良性肿瘤,最常见的是毛细胞性星形细胞瘤。患儿需要手术。完全切除肿瘤后,这个患儿几乎可以达到从肿瘤中康复。切除率必须达到100%,我将尽一切努力实现这一重要目标。”
既然可以手术切除,且巴教授手术成功率非常高,一家人没有过多犹豫,决定找巴教授主刀手术。
成功手术经历回顾
术者:德国Bertalanffy教授及其手术团队
诊断:小脑毛细胞星形细胞瘤,侵犯右小脑扁桃体、双中央小叶、脑桥臂,脑干受压移位。
手术:正中枕下开颅术+显微镜下肿瘤全切术,手术顺利,术中无并发症。
术后情况:患者在术中神经电生理检测护航下,于显微镜下全切肿瘤,术后MR复查确认了肿瘤全部切除,无残余,肿瘤囊肿部分也予以“开窗”、囊壁切除,双极电凝彻底烧灼基底,保护周边正常脑组织,脑干得到充分减压,对中脑的挤压/移位压力明显减少,小脑组织大部分复位。
术后当晚,拔除气管插管,无相关并发症,术后第二天,CT扫描显示术后表现正常,无出血、水肿等并发症。此后,被转入普通病房,开始了康复治疗,后逐渐恢复了活动力。术后第三天,可下床搀扶行走。

术前术后影像对比:术后MR复查显示肿瘤全部切除,无残余,脑干得到充分减压,对中脑的挤压/移位压力明显减少,小脑复位。

出院的当天,辰辰在酒店楼下开心的玩雪
回国后,辰辰的妈妈多次致谢INC,她说:“辰辰术后恢复状态很好,很多医生都看不出他做过手术,是INC和巴教授让孩子有机会继续感受这个世界的美好!”

谈及给同类脑瘤患儿父母的建议,辰辰妈妈表示:当得知孩子得了脑瘤,具体结合自己的病情和家庭经济情况,为了提高长期生存和更佳的生活质量,作为父母想尽办法寻求更好的治疗方案,这样可以不用为自己的选择而后悔,可以更大程度地挽救自己孩子的生命!
INC儿童疑难脑瘤患者:
“小小孤勇者”们战胜病魔、健康成长
脑瘤虽然罕见,每一个与肿瘤抗争的孩子,他们的勇气却不罕见。无论是挺过外科手术,还是化疗、放疗,亦或是结疗后面对生活,孩子们的顽强意志和家长们不顾一切拯救孩子的决心都令我们格外感动。除了辰辰,INC也接触过很多不幸罹患疑难脑肿瘤的孩子,肿瘤位置不仅有脑干、小脑,还包括了视神经、脊髓、延髓等疑难位置。他们大多国内四处就医无果,然而父母绝不放弃一丝希望,清晰的治疗思路、深思熟虑的治疗决策让他们与巴爷爷相遇,一颗颗微弱的火苗在许许多多“大朋友”的呵护下重燃起来,在成长的道路上勇敢向前,努力长大……未来的他们有着无限的可能。
- 文章标题:巨大小脑-脑干胶质瘤全切术后2年半无复发、无后遗症
- 更新时间:2024-11-29 18:29:41
400-029-0925




