引言:丘脑长肿瘤为什么不能手术?并非全部的丘脑肿瘤都不能手术,有边界存在或低级别胶质瘤是可以手术的、并且切除程度越大,预后越好。但这类手术,对主刀医生要求较高。因...
引言:丘脑长肿瘤为什么不能手术?并非全部的丘脑肿瘤都不能手术,有边界存在或低级别
胶质瘤是可以手术的、并且切除程度越大,预后越好。但这类手术,对主刀医生要求较高。因为丘脑本身就是很多关键神经功能的神经核团所在,周边也几乎都是重要功能区,如肢体运动、视神经传导通路,高级认知神经功能及脑干。术中失之毫厘,都可能伤及关键功能,给患者造成毁灭性打击、偏瘫,视野缺损,失语,昏迷等。INC德国
巴特朗菲教授表示丘脑已不再是手术禁区,他有着丰富的成功治疗和预后良好的案例,丘脑等功能区肿瘤个人手术量1000+台,脑干肿瘤个人手术量1000+台……
“后悔为母亲手术”:一名丘脑胶质瘤患者家属自述
“由于肿瘤位于右颞叶深处丘脑旁(位置不好),手术后目前左手不能动,左腿能搀扶走。每次看到她这样,会后悔帮她手术,有时想当时没有手术,直接放疗,会不会不影响肢体,但是不手术母亲的情况可能也会随着肿瘤的增大越来越严重……”我的母亲,一名丘脑胶质瘤患者,由于头晕、癫痫发作就诊。检查后确诊为右颞叶深处靠近丘脑处胶质瘤。就诊多家医院,有的医生说是低级别,有的医生说是高级别。医生告诉我母亲的核磁报告显示胶质瘤,具体有以下特征:明显强化,边缘为著。由于这一点,医生门诊时认为高级别。
哪怕手术,8个月会复发。这个医生很直白,没有任何安慰与委婉,实际上哪怕四级也有存活期很长的。当时,我是让父母出去,一个人和医生面谈的,听到他的言语,那一刻掉入深渊,哭了一会。医生看着我,我没有说话,平复了会之后,医生问我是否手术。并告知我位置不好,有偏瘫风险,但是我还是决定手术了。时至今日,依旧很迷茫,我也一直怀疑当时的这个决定是否正确,后悔没有为母亲找到更好的医院和医生……
胶质瘤位置深,长在丘脑,真的无法手术吗?
什么是丘脑?丘脑又称背侧丘脑,是间脑中较大的卵圆形灰质核团,位于三脑室的两侧,左、右丘脑借灰质团块(称中间块)相连。丘脑位置深在、靠近功能区,有许多重要的神经核团,加上其本身及周围结构重要、复杂,丘脑位置的手术有肢体瘫痪、感觉障碍等风险大。由于位置深在且毗邻重要功能区,丘脑肿瘤手术切除一直是神经外科的难题。
“丘脑位置可不能碰,不手术还能多活几天,一手术那可是凶多吉少”——罹患丘脑胶质瘤,患者的耳边多充斥着这种声音……胶质瘤的治疗原则是手术加放化疗的综合治疗,为何到了丘脑,很多医生就不建议手术了呢?甚至即使手术了术后却比术前更差。其实,丘脑胶质瘤可以手术切除,只是位置深,手术风险相对较高而已。但是只要术者掌握良好的解剖学知识,选择正确的手术入路,熟练的显微神经外科手术操作,可帮助术者降低上述并发症的发生。同为丘脑胶质瘤的钢琴家Z女士,幸运太多,不仅顺利全切,而且可以重回舞台!
钢琴家患丘脑胶质瘤,手细致功能障碍,生命乐章如何重新奏起?
什么是生命?对于钢琴家来说,手是生命,乐章是生命。不幸的是,作为钢琴演奏家、钢琴老师的Z女士,大约4个月前发现出右手弹奏不灵活,细致活动限制,头部右侧和右脚麻木感,也偶有视力模糊、有雾感,起初本以为是太劳累所致,却不见好转,当地医院就诊,在当地医院发现颅脑内较大占位,考虑胶质瘤可能。医生与她交谈时:我们不能确定您仍然可以弹钢琴。Z女士意识到她可能要放弃钢琴,但是她依旧乐观。
即使是无法正常演奏乐曲,Z女士仍坚持弹钢琴。住院检查期间,病房里就有一架钢琴,每次演奏一会儿,任何想听的个人都可以听。当时不是为了练习,只是弹钢琴是能够使她感到快乐的事情。
为了能够继续弹奏钢琴、为了延续生命,Z女士而后辗转多处,得知德国Helmut Bertalanffy(巴特朗菲,国内病人尊称“巴教授”)在这领域的丰富成功经验,成功联系并进行了二意见咨询,得到可以手术全切的回复后,一家人带她前往巴特朗菲教授所在的德国汉诺威INI国际神经学研究所进行手术治疗。手术前一天,Z女士在医院大厅,坐在钢琴旁弹奏了一曲贝多芬,没有流泪,感情随着乐曲抒发。这一曲仿佛是在同她热爱的钢琴说再见,对于手术的未知,她彷徨又期待……
手术情况
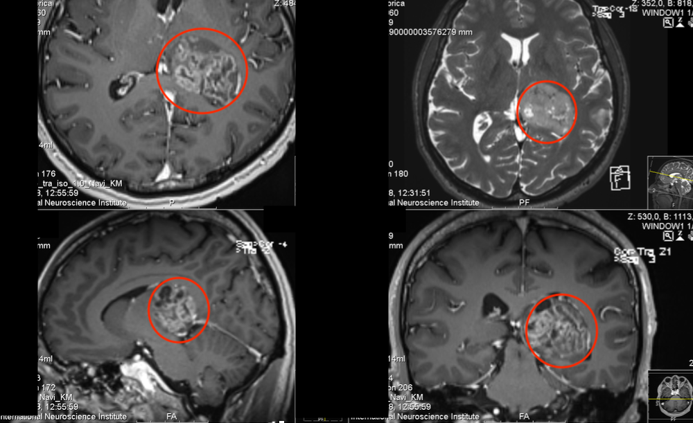
在5-ALA荧光、术中神经导航和术中MRI辅助手术,通过左侧顶枕枕骨开颅术和显微外科肿瘤全切手术,手术顺利,无手术并发症。
术中磁共振检查,显示肿瘤准确全切
(红色表示切除前,绿色表示切除后)
术后组织病理学
弥漫性中线神经胶质瘤,WHO 4级,具有H3 K27M突变,H3F3A K27M突变,无HIST1H3B突变,无IDH1或2突变,无MGMT启动子甲基化,无BRAF V600E突变,无BRAF:KIAA1549复制和融合。
术后半年复查,肿瘤没有复发,患者症状好转
术后恢复情况
1、患者术后当天即拔出气管插管,无任何问题,转入重症监护室进行观察1天。术后当天与术前相比,右手和手臂仍有轻微的偏瘫和轻度运动无力,无言语功能障碍。
2、术后2天,检查术后CT正常,无血肿和明显脑水肿等,该患者的临床状况迅速好转,并迁出ICU。
3、术后3天即在物理治疗下增加康复锻炼,下地锻炼,术后5天即可自行站立行走。
4、在INI住院期间,手细致功能障碍、言语和感觉偏瘫均得到好转。右手的细致运动技能也比手术后开始时明显好转。
巴教授提出的术后治疗建议
1、建议在手术后6周内进行身心休息。慢慢增加运动量。
2、在跨学科肿瘤委员会中讨论病情,并获得了最终的组织病理学结果,建议应尽早开始联合放化疗。
3、建议在3个月左右进行一次MRI检查;可以邮件联系教授进行术后随访。
出院后,Z女士每天试图弹奏钢琴1到2个小时,需要一直锻炼自己的手指灵活度,前提是在身体允许的情况下。从钢琴中,她可以汲取不断的能量,对于手术的成功更是觉得是恩赐,是巴教授带给她的,也是她热爱的音乐带给她的。再次站上舞台时,她再一次演奏了手术前一天演奏的那一曲……
丘脑胶质瘤患者为何优选手术?
欧洲、美国以及中国新版的治疗规范都指出,治疗脑肿瘤,手术是优选和基本的治疗方案,应寻求适合的较佳手术入路,保障一次手术全切。手术在保护好周围正常脑组织的同时,切除率越大,患者长期生存的可能性越高。
丘脑胶质瘤的很多类型,特别是儿童的某些相对局限的肿瘤,如毛细胞星形细胞瘤,或者部分一级的胶质神经源肿瘤,完全可以通过手术准确定位,完整切除,术后也不需要各种综合治疗就可以达到手术治愈的效果。所以对局限性肿瘤而言手术价值是明显的。
即使是高级别的弥漫性肿瘤,很难靠手术一次性完全治愈,但是可以通过外科手术尽量减瘤,减瘤会好转患者的神经功能症状。其次,通过手术获取肿瘤标本后,可以做准确的组织病理和分子检测,在分子检测中可以获取一些分子特征,对后期的治疗方式,包括药物的选择等等都有的参考价值。所以尽量较大范围的顺利切除丘脑肿瘤,仍是优选首段,但手术切除仍然具有挑战性。
活检加放化疗对丘脑胶质瘤的效果怎么样?
仅仅活检加化疗效果肯定是不好的。对于儿童患者,手术应该一点。对于丘脑毛细胞星形细胞瘤患儿,神经外科通常是肿瘤和脑积水的初始治疗。外科手术包括活检、脑脊液分流、肿瘤切除和囊肿减压。一旦手术全切,患儿可以长期存活,甚至治愈。即使未全切,辅助放疗及化疗,5年生存率亦可超过80%。如果有痊愈的机会,作为家长,肯定是会尽去争取的!
相关阅读:9岁丘脑胶质瘤患儿全切获得更好疗效实录:这个儿童医院的教授的确不一般!
丘脑胶质瘤手术的关键在哪里?
手术是治疗丘脑胶质瘤的一关,也是重要的一环,手术的结果,直接关系到下一步的疗效和病人的预后。
1、术前对病人进行整体评估及手术入路的确定,包括病变与重要结构的比邻关系,以及可能存在的风险,这对手术入路的设计很重要。这样术者才能决定一个个体化的手术入路,这一点是重要的。同时,为保障术中不造成相关的神经功能损伤,具体仍要根据肿瘤的生长方向和大小对以上入路而做适当修改。
常用的手术入路有以下五种:
①前方入路:即经过单额额中回皮质造瘘,进入到侧脑室额角,适用于丘脑前方或肿瘤主体在丘脑前方的肿瘤。
②经胼胝体一侧脑室入路:切开胼胝体中部,进入侧脑室的额角及体部,切除丘脑前部或中部的肿瘤,适用合并脑积水伴侧脑室额角及体部明显增大的患者。
③侧脑室三角区入路:颞顶枕开颅,经皮质造瘘直达侧脑室三角区,适用于丘脑后部或侧方的肿瘤。
④翼点入路:适用于丘脑侧前方的肿瘤,肿瘤通常距离岛叶皮质最近或突入侧裂沟内。
⑤纵裂胼胝体穹窿间入路:适用于丘脑内侧后方突入三脑室内的肿瘤。
2、手术团队的技术水平,脑瘤能切除多少,一大决定性因素即是主刀医生的技术水平以及手术团队的配合能力。位置复杂难于全切时,为了避免了徘徊犹豫期间进行的一些不必要的治疗措施,甚至是不可逆转的手术,最终可以增加更多的生存机会。术者在术中操作要轻柔,尽量做到无牵拉,注意保护重要的结构,包括重要的神经和血管。手术过程中,重要的就是保护好丘脑的供应血管以及引流静脉,很多手术效果不好是由于把引流静脉损伤了。因为动脉走向前后都有,包括大脑前动脉的中央支、大脑中动脉豆纹动脉中央支、大脑后动脉的中央支都要供应丘脑。一般不会出现把几组动脉全部损伤的情况,除非操作太粗暴了。
3、高难度成功经验的积累很重要,很多医生或者病人都会有这样的疑惑,医生手术做的多,经验足,熟能生巧。但事实确实是这样吗?做得多和做得好,质和量的差别,真的是可以做得多就平衡的吗?做高难度手术和普通手术的差别,就如乘坐航天飞机和普通民航飞机的差别一样:后者谁都可以,前者仅仅少数经过反复不同训练的人才行。建议首先寻求手术的较优化,选择医院重在主刀医生的选择,手术医生的能力、技术水平和成功案例。这就是为什么越来越多的患者愿意前往北上三甲医院寻求治疗,甚至出国治疗。
4、的手术设备将进一步提高脑瘤切除率:为使脑瘤达到全切,近年来,许多术中辅助设备应运而生,如“术中实时监测地图”术中磁共振成像iMRI系统能术中准确定位病变所在位置,帮助主刀医生定向“攻破”肿瘤;而“大脑GPS“术中神经导航能够实时知道脑肿瘤的具体位置,手术医生可以判断到重要的脑功能区和神经纤维的距离有多远,能顺利地切除到哪里;对大脑神经实时监控的术中神经电生理监测则用于反映患者术中的神经系统功能状态,通常依靠术中神经电生理监测来指导外科手术操作,并且在术中预防神经组织发生缺血或损伤。
INC国际神经外科提示,目前神经外科手术已经越来越微创化,各种术中神经导航、术中核磁、术中神经电生理检测技术发展,开颅手术在显微手术时代准确性、顺利性、合适性越来越高,而且,由拥有丰富经验和技巧的医生主刀、全切丘脑胶质瘤还能为患者争取到更长的生存期和更佳预后。
关于德国巴特朗菲教授
不惧在脑干、丘脑、鞍区、颅颈交界区等疑难乃至”手术禁区“位置,德国巴特朗菲教授多年的钻研和手术成功经验成就了巴特朗菲教授当之无愧的国际颅底、脑干手术教授。单纯脑干海绵状血管瘤手术病例就高达300多例,脑干胶质瘤手术病例500多例,其他常见的颅底肿瘤、功能区肿瘤等更是数不胜数。
- 文章标题:丘脑胶质瘤无法手术吗?钢琴家罹患脑瘤无法演奏,手术后灵活手指弹奏叹为观止!
- 更新时间:2022-05-03 16:22:54
-
儿童星形细胞瘤/胶质瘤也称为:间变性星形细胞瘤,原纤维星形细胞瘤,胶质母细胞瘤...
2019-12-27 11:18:29
-
脑胶质瘤严重吗栏目主要为患者科普胶质瘤对身体的影响,如:胶质瘤危害、能活多久、...
2022-06-02 23:32:08
-
岛叶低级胶质瘤是否严重?不可轻视!岛叶胶质瘤即发生与颅内岛叶区域的胶质瘤,其的...
2023-11-07 18:11:16
-
左侧岛叶胶质瘤生存期?有6大因素决定!左侧岛叶胶质瘤是一种较为常见的脑胶质瘤,...
2023-11-30 15:19:16
-
中脑胶质瘤一般是几级病变?怎么鉴定?中脑胶质瘤的分级与其病理表现和恶性程度有关...
2023-11-15 17:02:31
-
医生,通过片子可以看出来我的肿瘤是良性还是恶性? 为什么我的诊断结果这么多?疑...
2022-04-05 14:02:15
-
低级别胶质瘤有治愈的可能吗? 我们知道低级别胶质瘤通常指WHOⅠ级和部分Ⅱ级胶质瘤...
2025-12-02 10:01:41
-
小脑胶质瘤的治愈率多少?5个方面影响!小脑胶质瘤的治愈率受多种因素的影响,因此...
2023-12-14 17:28:02
-
如果将大脑比作保障你身体正常运行的控制中心,那大脑中的各个组织结构就是各个功能...
2019-11-13 16:14:05
-
2021年,年仅10岁的果果因发烧、肺炎查出延髓占位性病变。行肿瘤切除术,术后二天在...
2023-03-14 21:19:39
-
9岁的Dora正处于活泼好动的年纪,但她突然变得病恹恹的,不爱出门走动。父母本以为这...
2022-05-31 08:31:58
-
胶质瘤新发现:通过使用针对异常信号通路的靶向治疗来预防小儿胶质瘤的形成,根据发...
2021-08-25 09:48:05
-
如果胶质瘤发生在小脑部位,手术治疗是治疗的优选。虽然小脑胶质瘤的恶性程度相对较...
2022-05-31 10:53:13
-
世界神经外科联合会(WFNS)执行委员会顾问委员会成员 James T. Rutka教授 :我们的团队致力...
2025-06-17 17:43:39
-
脊髓内胶质瘤能活多久?积较治疗很重要!脊髓内胶质瘤是一种严重性相对较高的神经系...
2023-11-11 14:39:41
-
22岁的璐璐是家里的骄傲,就读于大学,然而年纪轻轻的她在2021年却查出弥漫中线胶质瘤...
2023-12-27 10:26:50
-
中脑顶盖低级别胶质瘤是不是长年不长?顶盖神经胶质瘤是一种低级别、生长缓慢的脑肿...
2022-08-12 21:32:09
-
胶质瘤有很多误诊,因为胶质瘤的病理类型多种多样,长部多种类型,生长速度随类型而...
2019-06-01 11:06:00
-
脑胶质瘤治疗栏目为您提供国际前沿的治疗方法方案信息,以及出国治疗胶质瘤的新技术...
2022-06-02 23:41:58
-
2018年9月2日,一个名叫小叶(化名)的孩子呱呱坠地,在她发出一声啼哭的那一刻,仿佛...
2019-12-27 09:49:51