
脑干手术,与死神精准博弈

手术刀虽轻,生命重若千钧。
当肿瘤像泼墨一样在脑部扩散,找到肿瘤边界?很难!95%切除?更难!想要长期生存,难上加难!然而,他们是幸运的。长在脑干,但希望仍在:
- 13岁少年如何通过成功手术,为自己赢得15年的时光?
- 36岁男性如何在手术+辅助治疗的联合攻坚下,延长生命并保障生活质量?

开颅有风险,而脑干手术更是神经外科领域的重大挑战。即使是有着30多年脑干手术经验的大咖巴教授也强调:“这是一项责任重大的工作。”
13岁男孩迎来的15年生存期
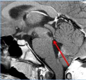
13岁男孩视力模糊、走路不稳,脑干胶质瘤竟被巴教授成功切除!

术前MRI
这种肿瘤通常边界不明,而成功切除肿瘤的前提恰好是精准找到边界。切多了,人就毁了,而切少了,就易复发。
“我们可以从肿瘤的质地而不是其他特征看出肿瘤的边界。”
在手术室里,巴教授的手指精准感知着肿瘤的质地变化——“这里!边界就在这里!”没有依赖5-ALA荧光染色,因为在脑干胶质瘤中很难用。巴教授凭千台手术锤炼出的“手感”,他像拆除脑中的炸弹般,精确剥离肿瘤。这种分辨出肿瘤与神经的微妙界限的能力,也是一种超绝感知力。

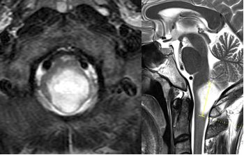
术后MRI
成功手术,当时术后病理为间变性星形细胞瘤。那个连路都走不稳的少年,活过了15年!
感知力,这听起来或许有些神奇?打个比方,闭上眼睛,当别人将一双手放在你的脸前,你可以感知到吗?不用看,却能感知存在。而巴教授凭借一双手就可以精准感知到肿瘤的边界。对于神经外科医者来说,这双手,可不简单!想要练成,更是不易。
36岁男性手术+辅助治疗,状态良好
36 岁男性,主诉左侧全身感觉障碍 4 个月,伴轻度偏侧肢体无力。MRI显示延髓下部有一几乎无强化、信号均匀、占位性病变,并向下延伸累及颈髓。患者同意手术,目标为最大限度减瘤并获取确切组织病理学诊断。

术前MRI
幸运的是,手术效果非常好,未出现新的神经功能障碍。组织病理学证实为高级别胶质瘤,WHO III 级,未检出 H3F3A 或 IDH1 突变;无 1p/19q 联合缺失,p53 蛋白无高表达,O6-甲基鸟嘌呤-DNA 甲基转移酶(MGMT)启动子未甲基化。

术后MRI
术后患者接受局部放疗联合替莫唑胺化疗。术后 1 年未见肿瘤进展,生活自理。巴教授对他进行了几年的随访。经过放射治疗和靶向化疗后,他的状况仍然很好。
在绝望中寻求希望!
为什么这位国际医者要挑战那么多高难度的手术?有些人的人生路遇到障碍了,走不下去了,但总得有人留下他们。

当然,手术从无绝对安全,任何轻视风险的决定,都如同与死神对赌——一旦失误,便再无挽回余地。唯有严格把握手术指征、精准选择时机、采用最优术式,并辅以精湛技术,方能稳妥取胜。

在脑干做手术更要慎之又慎,如果给病人造成损伤,他可能就会出现四肢瘫痪等不可逆的后果,甚至可以毁掉一个患者的生命。正因如此,许多神经外科医师在面对脑干病变时,往往选择相对保守的治疗策略,退而求其次。
当然,巴教授也认为,患者从手术中能否获益是判断是否需要手术的重要指征——若胶质瘤已造成神经功能损害,手术或能改善患者生活质量,甚至延长生存期,尤其对高级别肿瘤患者而言。在他的精选脑干胶质瘤手术系列中,毛细胞型星形细胞瘤患者最多,因为这是一种安全全切便有望治愈的类型,成为常见的手术适应症。令人讶异的是,这个系列手术患者数量居多的还有这恶性3级胶质瘤——上述两则案例均来自于此。点击阅读:1974-2024携手脑干50年的“love story”「INC云端峰会」巴教授精彩分享
巴教授间变性星形细胞瘤手术系列:这是一个经过严格筛选的系列,不是一个随机化的系列,也是巴教授根据自身的脑干手术经验来选择的。

正是脑干30多年的“磨刀功”,巴教授才能人刀合一,刀刀制瘤,而不伤及正常神经。他特别擅长在极其狭小、复杂的空间里游刃有余地进行操作,在切除肿瘤与保留神经功能之间,寻找着平衡。致力于把风险降到最低、创伤降到最小,所以那么多复杂的手术才能有如此“神奇”的效果。
- 文章标题:“脑干胶质瘤,我还能活几年?”无法手术的他,15年后笑对人生!
- 更新时间:2025-07-23 15:26:22
400-029-0925




