脑干胶质瘤是否存在良性的可能?
答案是肯定的,而且其中一部分预后可以非常好。
28岁的她,脑干上发现一团墨水般深深浅浅的肿瘤。“这是癌症吗?”——然而,连接诊医生也无法回答她,因为没办法明确其具体性质,仅能确定肿瘤位于脑干的中脑顶盖。
在医生建议下,她接受了两次手术。然而手术中医生打开颅腔后,医生开进去,又匆忙出来。
“太难了,切不了。”
2台手术,最终仅完成了肿瘤活检。幸运的是,这是一个毛细胞星形细胞瘤。点击阅读,了解更多胶质瘤类型:胶质瘤是脑癌吗?当肿瘤侵入脑干,看这四个家庭如何绝地反击!
没办法,她只能选择放化疗。没想到,放化疗也未能控制病情,肿瘤持续生长,从中脑逐渐蔓延至双侧丘脑、脑桥及小脑。这团“墨水”不断扩散,必须必须得快刀斩乱麻。
幸运的是,她最终得到巴特朗菲教授的手术治疗,肿瘤被成功切除。术后十年,未见复发。

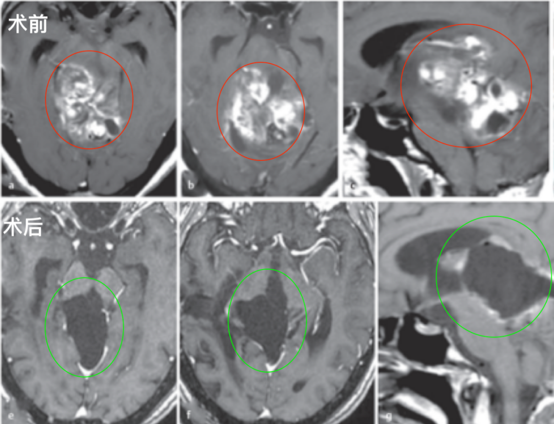
图:术前术后脑磁共振对比,巨大脑干胶质瘤全切,无神经脑组织损伤。
PART 01
良性胶质瘤,放疗+化疗
为何没效果?
美国NCCN、欧洲EANO、中国等国际治疗规范指南均指出,胶质瘤的治疗应以手术切除为主,可谓是“刀刀制敌的冷兵器”。
放疗这些非手术治疗手段最多只能一定程度的抑制肿瘤生长,让肿瘤生长减速,而不能让肿瘤消失。如果在足够长的时间里,肿瘤一定能生长到足以给我带来严重危害的程度,此时再想手术,可就难了。
难就难在,手术难度和手术风险会因为以前的放疗,而明显的增加。所以最好的保命的方法就是手术切除肿瘤。也就是说这个肿瘤还是要切除以绝后患,而不是做放疗(伽玛刀等等)。
然而,并非所有肿瘤都能轻易手术——尤其是位于脑干、丘脑、脊髓等关键区域的病变。由于手术难度极高、风险巨大,许多患者被迫面临“无处可手术”的困境,只能无奈选择观察或放化疗,在等待中看着病情逐步进展。
PART 02
“泥潭”征兆
当这个胶质瘤无人敢切
28岁的艾米丽,青春正盛,却因步态不稳、视物重影,被诊断为“中脑顶盖肿瘤”。两次手术,都只停留在活检阶段。病理报告显示是“毛细胞星形细胞瘤”——这本该是个好消息,这类肿瘤通常生长缓慢,预后良好,她手中握着的,本可以是一张“好牌”。
然而,当肿瘤深深扎根于脑干这一“手术禁区”时,一切变得截然不同。
在神经外科领域,脑干被称为“手术禁区”。这片仅有拇指大小的区域,掌握着我们的呼吸、心跳、体温和意识,密布着十二对脑神经核团和所有重要的神经传导通路。在这里进行手术,任何微小偏差都可能导致永久性损伤。
手术的高难度让人脊背发凉,两次手术都是开颅之后艰难前行之后还是关掉,因为根本没办法继续切下去。
PART 03
治疗一步步深陷“泥潭”
如何全身而退?
放疗、长达12个月的化疗……肿瘤不仅没有被控制,反而像滴在宣纸上的墨渍,悄然晕染、扩散,从中脑蔓延至丘脑、脑桥、小脑,威胁着她的生命。
当艾米丽不远千里,终于坐在巴特朗菲教授面前时,肿瘤已经发展到了非常严重的阶段。巴教授在详细评估病情后,建议进行广泛的肿瘤切除手术。

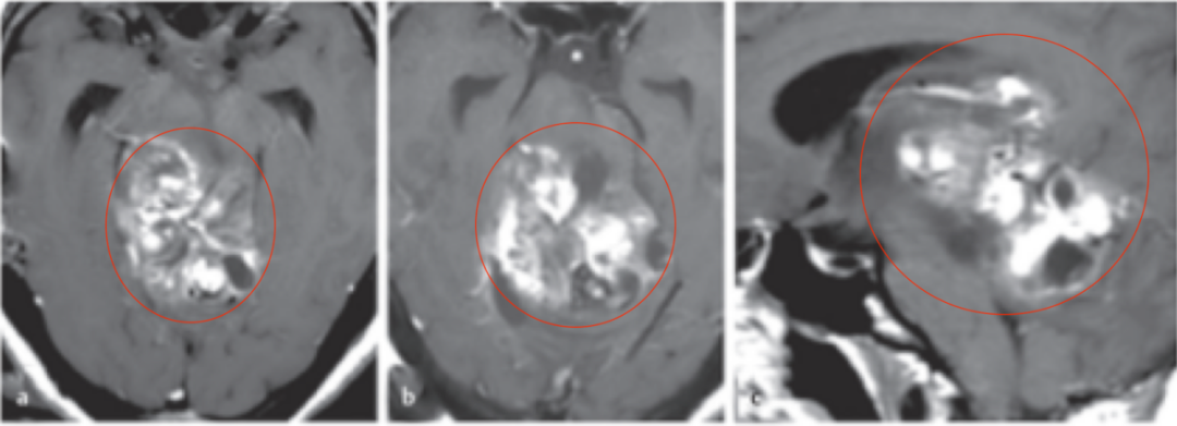
图:术前MR检查,轴位、矢状位MR显示巨大脑干肿瘤占位,信号不一,从中脑两侧延伸压迫到丘脑、脑桥和小脑。
INC德国巴特朗菲教授,在显微镜下全切肿瘤,术中神经电生理监测,手术顺利,病理为毛细胞星形细胞瘤。
于无声处听惊雷,于方寸间定乾坤。大刀阔斧、干净利落,手术过程中,巴教授始终保持着沉稳的态度,不急不躁、稳扎稳打,在能力范围内绝不冒险,但同时也在尽最大努力为这个女孩实现肿瘤的全切。
术后影像复查:毛细胞星形细胞瘤被成功切除。病人没有出现手术相关的神经功能损伤,随后的随访病程平安无事。
在肿瘤全切除术后10年的随访中,患者的病情持续良好,无肿瘤复发。

该案例发表于:2020年的脑干肿瘤手术经典专著《Surgery of the Brainstem》中第13章Adult Brainstem Gliomas(成人脑干胶质瘤)。
P.S.
行文至此,我们或许更能体会:医学就是这样,有些"不可能",只是还没被打破的"可能"。而这个女孩的人生,正是被改写的一页。
- 文章标题:两次手术仅活检,放疗无效…良性脑干胶质瘤治疗深陷“泥潭”,她如何全身而退?
- 更新时间:2025-12-09 09:57:58
400-029-0925




