
战胜脑干胶质瘤的他们
脑干胶质瘤真的可以获得良好预后吗?
众所周知,
脑干是生命的核心中枢,
掌管呼吸、心跳,维系着我们的意识。
那么,
当这个要害之地生长了胶质瘤,
一切,是否就等同于被宣判“死刑”?
胶质瘤通常呈浸润性生长,手术如履薄冰:
切得太少,肿瘤残留,往往短期内复发,效果甚至不及不切;
切得太多,则可能损伤关键神经结构,带来不可挽回的后果。
事实,真是如此绝望吗?
并非如此。
脑干胶质瘤其实具有高度异质的预后——
不同患者的生存期,可能短至数月,也可能长达几十年。
在这微光般的希望面前,
我们该坚持治疗,还是无奈放弃?
有人这样说:
“每一个奋力自救的人,何尝不也是在照亮他人的路。”
也有人认为:
“就算结局或许相似,活法却有千般不同。即便命运设下樊笼,我们仍要搏一线天光。”
面对“手术禁区”,勇敢的他们,为自己争取了生存奇迹!
放疗、化疗均无效,全切10年无复发
该28岁女性因进行性步态共济失调及轻度复视就诊。手术前4年前于当地医院被诊断为“中脑顶盖区肿瘤”,曾在外院接受两次手术探查,均仅行肿瘤活检;病理报告为毛细胞型星形细胞瘤(WHOⅠ级)。因肿瘤持续增殖,患者随后接受外院建议,先后完成放射治疗及为期12个月的替莫唑胺化疗,但疗效欠佳。
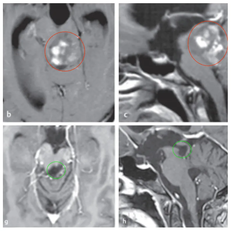
首次找到巴教授时,术前轴位(a、b)及矢状位(c)MRI显示肿瘤已极度增大,自中脑向双侧丘脑、脑桥及小脑广泛浸润。鉴于既往治疗未能有效控制肿瘤,实施手术。巴教授术中完整切除外生型毛细胞型星形细胞瘤,术后轴位(e、f)及矢状位(g)T1加权增强MRI证实肿瘤全切。

术后患者未出现新的神经功能障碍,恢复顺利。术后10年随访(h),患者状况良好,未见肿瘤复发。

医生说手术没有意义,她为自己争取19年灿烂人生

2005

2015
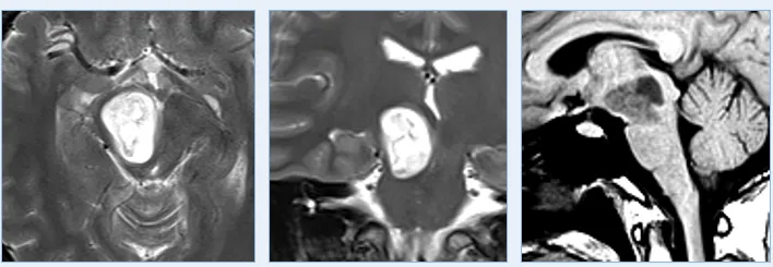
20岁的女孩米亚因剧烈头痛查出一个背侧外生的中脑肿瘤引起梗阻性脑积水。瘤子位置确实深,而且累及中脑和上脑桥。手术中稍不注意,或者损伤中脑患者变成植物人,损伤桥脑引起半身瘫痪,严重损伤延髓影响呼吸功能。
由于肿瘤与周围的脑干实质有很好的边界,巴教授术中肿瘤全切,术后MRI复查明确未见肿瘤残余。术后11年随访时:术后MRI显示患者没有肿瘤残留或复发。患者的临床状况良好,眼球运动正常。随访至今,她为自己赢得了19年无复发,状况非常好。

图:术前术后脑磁共振对比,脑干胶质瘤全切,无神经脑组织损伤。
毛星放疗失败怎么办?再次手术,她9年无复发
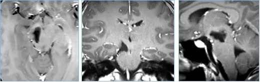
30岁女士,有复视和轻微右侧偏瘫,a、b图患者术前MRI显示中脑肿瘤,患者最初接受立体定向囊肿抽吸和间质放疗,并被诊断为毛细胞型星形细胞瘤,但肿瘤仍在生长。

巴教授为其手术,无手术并发症,f图显示伤口愈合正常,患者预后良好,无神经功能缺损。组织病理学检查为1级毛细胞型星形细胞瘤。g、h图术后MRI影像显示,肿瘤全切。随访MRI记录手术后9年无肿瘤复发。

脑干胶质瘤化疗无效,选择手术,8年无复发
8岁的Emma(左),脑干胶质瘤。化疗无效,头晕、呕吐,生命一点点被吞噬。

巴教授的出现,为这个孩子带来了生的曙光。手术台上,他以精湛的技艺和坚定的信念,与病魔展开了一场惊心动魄的较量。
8年过去,Emma骑着自行车,笑容比阳光灿烂,快乐成长。

脑干胶质瘤扩散到丘脑8年无复发
26岁女孩,中脑内的毛细胞型星形细胞瘤,已经扩散到丘脑——还能成功手术吗?

巴教授结合其多年脑干手术经验,成功切除了绝大部分肿瘤后,又使用了术中核磁。这对这类肿瘤非常有帮助,因为如果没有这个设备,很可能会在最上部残留一些肿瘤。
但因为有了术中核磁,这台手术就能进行非常漂亮的、几乎完全的切除。病人术后恢复良好,没有出现偏瘫。一直随访到术后8年,笑容如初。


INC巴教授-脑干“无人区”突破者!
一项研究发现,安全范围内的最大范围手术切除是儿童脑干低级别胶质瘤的首选初始治疗手段。研究《Brainstem Low-Grade Gliomas in Children-Excellent Outcomes With Multimodality Therapy》中10年无进展生存率为71%,总生存率达100%。研究证实,儿童脑干低级别胶质瘤的总体生存率优异。

另一项4040名诊断为低级别胶质瘤儿童患者的长期跟踪结果:监测、流行病学和最终结果数据的分析发现——低级别胶质瘤儿童患者拥有极好的生存率,20年总生存率为87%±0.8%。多因素分析提示,接受放疗是总生存率显著的不利因素。因此,儿童胶质瘤治疗策略应以控制疾病为核心,同时最大限度减少治疗相关的远期毒性。

而,面对脑干胶质瘤,巴教授早已成功手术。

在第四届世界神外顾问团云端峰会时,巴教授就进行了主题为《Surgical treatment of brainstem glioma脑干胶质瘤的外科治疗》的精彩演讲。巴教授精选其206例脑干胶质瘤案例进行了详细的分享,其中大多数都是低级别的毛细胞型星形细胞瘤——脑干不是”无人之地“,对于低级别患者,尤其是毛细胞星形细胞瘤患者,我们甚至可以治愈他们,治愈意味着至少25年无肿瘤进展,而我已经治愈了其中的一些患者。点击阅读:1974-2024携手脑干50年的“love story”「INC云端峰会」巴教授精彩分享
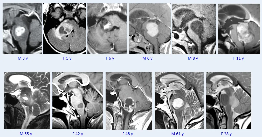
▼巴教授脑干毛星50+例影像图汇




1.脑干不是“无人区”!
2.显微手术在局灶性脑干胶质瘤的整体管理中发挥着重要作用。
3.”低级别“胶质瘤是合适的手术候选者。
4.在许多情况下,可以尝试并实现治愈。

近40年,数千台疑难神经外科疾病手术,巴教授历经千万个小时用超精确的物理剥除诠释了医术为何为艺术。
- 文章标题:脑干胶质瘤≠绝症|从8年到19年无复发,5个生存奇迹背后的真相与希望
- 更新时间:2025-08-26 17:37:33
400-029-0925




