
Q、DIPG究竟是什么?
脑干,由中脑、脑桥、延脑组成。脑干上的神经胶质细胞及神经纤维涵盖多种人体极为重要的神经核团与神经传导束,是人体的呼吸、循环、运动、意识功能的重要保证。
而DIPG就生长在脑桥上,全称为“弥漫性内生型脑桥胶质瘤”,是一种致命的恶性儿童脑肿瘤。它究竟有多可怕?我们可以通过几个数据了解:
一般确诊年龄段为5-10岁
2年生存率不到10%
5年生存率低于2%
中位生存期9个月左右
治疗方法曾超过40年无进展
95项临床药物试验均未改善生存率
……
弥漫性浸润性生长、恶化进展快,DIPG属于脑干胶质瘤中预后极差、基本无手术指征、治疗难度极大的一种。然而,好消息是,随着近年来DIPG治疗以及分子生物学取得重大进展,多项临床试验也迎来可喜的成果,有望为DIPG的治疗提供新策略。
世界神经外科学院前院长、国际神经外科专业杂志《Journal of Neurosurgery》主编James T.Rutka(鲁特卡)教授早在2023年来华期间就分享了当时正在进行中的DIPGⅠ期临床试验。
今年,随着来华节奏的加快,鲁特卡教授针对目前聚焦超声技术(MRgFUS)治疗DIPG的Ⅰ期临床试验成果进行了更深入的研究,并已成功治疗10名DIPG患儿。下一阶段,教授及其团队将围绕免疫治疗与MRgFUS的联合应用、再程放疗等重点开展新一轮的临床试验与研究。
DIPG必知

1、致病原因
儿童脑干胶质瘤的病因尚不清楚,近几年的相关研究显示,H3F3A、HISTlH3B/C、IDHl、TP53、PPMlD、ACVRl、BRAF等基因突变可能与脑干肿瘤的发病相关。除此之外,部分儿童脑干胶质瘤患者与I型神经纤维瘤病(neurofibromatosis type 1,NF1)相关。
2、临床症状
DIPG患者可表现为多种神经系统症状,这也取决于肿瘤的生长位置。除头痛、呕吐、意识模糊等颅内压升高的症状外,超过50%的患儿还有以下“经典三联征”。
1.颅神经麻痹:面部不对称、复视、眼球运动、语言、咀嚼与吞咽等出现障碍等
2.长束征:反射亢进、上行巴宾斯基征
3.小脑体征:共济失调、辨距障碍、肢体无力
3、诊断
1.磁共振成像(MRI):做增强扫描可能对确认诊断或排除其他病变有价值,有时也可以使用计算机断层扫描(CT)。
2.分子诊断学:在DIPG中的作用越来越大,脑干活检有助于推动该领域向前发展。多项研究表明,活检可以安全地进行,努力加强诊断、支持基础科学研究,并应用于组织学和分子数据的临床试验。除了典型的胶质瘤免疫组化组,各种分子病理学方法,包括新一代测序和DNA微阵列,可用于分子水平上确认是否存在H3突变,并根据其预后确定受影响的组蛋白同种型差异。
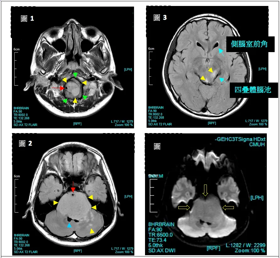
4、影像学MR解析
整个脑干(延髓、脑桥、中脑)在T2WI上都有信号增强的病灶(黄色箭头)。脑室系统虽被挤压变形,但未出现脑室扩大、水脑的情形(蓝色箭头)。肿瘤核心位于脑桥的中心,并且在出现时可以占据其轴向直径的50%以上,通常包绕基底动脉。虽然DIPG沿纤维束浸润性和弥漫性生长邻近的位置,但它们很少转移到远处。
Fig.1:中病灶将脑桥撑大,怀疑往外长出小的外凸物(绿色箭头)。病灶紧邻右椎动脉(红色箭头)。
Fig.2:显示整个脑桥中充满高信号灶,脑桥体积变大,但形状大致不变。基底动脉被肿瘤包围且被往前推(红色箭头),第四脑室被挤压,左边尤甚(蓝色箭头),肿瘤扩散至小脑。
Fig.3:显示中脑也见到增强的讯号。

新的治疗策略
由于无法确定DIPG的靶向药物,也难以将药物输送穿过完整的血脑屏障(BBB),至今尚无单一或联合化疗策略取得成功。鉴于此,医学界愈发关注DIPG的免疫及靶向疗法研究,正在探索包括嵌合抗原受体T细胞(CAR-T)疗法、免疫检查点阻断、癌症疫苗以及自体细胞转移疗法在内的多种治疗方法。
DIPG治疗前沿进展
免疫治疗:在鲁特卡教授的带领下,他所领衔的Arthur&Sonia Labatt脑瘤研究中心目前正在进行使用“磁波刀”(MRgFUS)治疗DIPG的临床试验,该技术可精准针对DIPG脑肿瘤的特定区域,有助于药物跨越血脑屏障,提高治疗的效果和准确性。
MRgFUS是一种非侵入性方法,通过静脉注射微型气泡,当其遇到聚焦超声场时会振动,从而安全且短暂地打开BBB。超声束可以精确地覆盖肿瘤位置,从而最小化非靶向效应。
使用MRgFUS可递送多种治疗物质,包括化疗药物、纳米颗粒、抗体和基因载体等,并且在鲁特卡教授的Ⅰ期临床试验中成功治疗10余名DIPG患儿,目前该团队正在推进该技术与免疫治疗的联合应用。
靶向治疗:H3K27位点突变已被证实是儿童DIPG的核心驱动基因变异。鲁特卡教授团队为此构建了系统的研究平台:利用CRISPR-Cas9基因编辑技术,在正常神经干细胞中引入H3K27突变及DIPG相关协同突变,建立可模拟肿瘤发生全过程的类器官模型。
建立该模型将帮助他们确定癌症发生和发展的最早步骤,并识别使DIPG干细胞难以治疗的特性。目前,教授团队在鉴定可能引发疾病的正常脑细胞以及开发用于编辑突变所需的技术步骤方面取得了显著进展。
- 文章标题:陪你一起抗击脑干胶质瘤DIPG!这两种治疗方法有望“大展宏图”
- 更新时间:2025-10-05 09:39:29
400-029-0925




