丘脑巨瘤如何自救

4岁的小孩,因丘脑胶质瘤,不得不被推入手术室接受开颅手术。第一次开颅,结果并不乐观,小小的身体只能被迫开始了两个周期的化疗。然而,一系列的治疗结束,除了部分切除并确诊为丘脑毛细胞星形细胞瘤外,似乎一无所获。
更加可怕的是,在随后的12年里,男孩的胶质瘤复发并在不断生长着,直到他长成一名16岁少年,肿瘤体积竟足足有68.1mm³,深度达到44.4mm!如此巨瘤,已经让少年苦不堪言,更何况他还出现了全垂体功能减退和严重的左侧视力障碍,几乎等同于失明。
还要再继续忍耐吗?不,他决定向巨瘤宣战!可是,面对如此刁钻的“庞然大物”,少年该如何自救?一切的转机恰好也在这时到来——经过巴教授及团队的手术,成功突破丘脑“手术禁区”,几乎全切肿瘤!

术后的他治疗顺利,恢复平稳,只需继续进行全垂体功能减退的医学治疗即可。在随访中,少年没有出现任何新发的神经或认知功能障碍。挑战成功!现在的他更加坚强和乐观,可以做很多他自己喜欢的事情。
PART 01
术中实况:安全全切的“艺术”
“神经外科创造更多美好——让病人免受病痛折磨”,这是巴特朗菲教授一直所追寻的理念。医学存在的终极理由是“生命第一”,除了保证机体活着,还要保证有尊严地活着。如果手术会引发新的神经损伤,造成生活质量的严重下降,巴教授绝不会建议手术,而这也是巴教授手术艺术的体现,更是艺与技的完美融合。
这是年仅16岁少年的二次开颅,他的未来还很长,一旦术后留下任何并发症或残余肿瘤,对于他的人生都将会是巨大的打击。为了安全全切这个巨大的丘脑胶质瘤,巴教授在与团队细致沟通后,有了一个稳妥的规划。
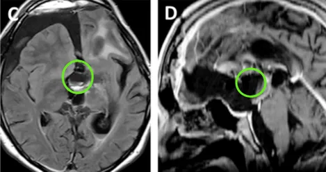
术前情况:MRI显示鞍区、丘脑巨大肿瘤,归类为Bcentral病变的复发性毛细胞星形细胞瘤,侵犯累及左侧海马旁回和侧脑室的上部。肿瘤体积达68.1mm³,其深度为44.4mm,侧面角为21.9°。

手术难点一:鞍区-丘脑位置深在,功能非常复杂,手术棘手。一旦丘脑受损,极有可能白夜颠倒、语无伦次……饮食、行为举止、思维逻辑等都将发生变化,当然也难以长期存活。鞍区,一个面积约5.5c㎡的大脑指挥中心,可供手术解剖的范围仅3cm。手术操作更需慎之又慎。
手术难点二:已经经历过一次手术,导致手术区域形成瘢痕,肿瘤周围正常结构会粘连得非常严重,手术剥离非常困难。而化疗也对患儿的身体基础造成削弱,对手术的耐受程度下降。
手术入路:根据病情和肿瘤生长及MRI影像特点,采用双冠状皮肤切口、双额骨瓣开颅、经基底纵裂入路进行肿瘤切除手术。
手术过程:
将累及视交叉的肿瘤切除,在垂体下方发现了垂体柄。
前交通动脉和椎板末端逐渐暴露。
打开椎板末端可以通畅进入到前三脑室并进行充分瘤内减压。
暴露后脑基底分叉和P1节段动脉,下丘脑和后循环血管完整保留。
前交通动脉意外地被拉伸撕裂,由于无法修复撕裂的前交通动脉,因此决定分离,从而在前交通动脉的两个A2段中维持供血,夹闭并分离前交通动脉。
控制好出血及保证血管通畅,可保证残留肿瘤的顺利切除。

术后情况:术后MR提示肿瘤几乎全切,两个大脑前动脉A2断动脉血管区域灌注正常,视交叉和视神经束、垂体柄和下丘脑保持原样。

PART 02
儿童复发胶质瘤二次手术意义大吗?
手术对于复发胶质瘤与初发胶质瘤的意义是一样的。但如果胶质瘤复发较早,体积较小,可以考虑采用化疗,控制肿瘤的生长;如果控制效果不佳、肿瘤继续生长,则建议手术治疗。值得注意的是,手术在复发胶质瘤治疗中仍然居于首要地位。
很多家长在听到孩子胶质瘤复发时一下子慌了神,认为已经动过一次手术仍然复发,那就是手术已经“无效”,转而尝试其他治疗方法。实际上,对于首次手术没有全切的肿瘤而言,二次手术可能提供了一次全切的机会,可以有效阻止再次复发,当然这对主刀的技术也提出了很高的要求。
近期,一项涵盖31个欧洲国家共13782名15岁以下患有中枢神经系统肿瘤儿童的生存数据显示,与其他类型的脑瘤相比,低级别胶质瘤手术后的5年生存率明显更高,达到92%-95%,而室管膜瘤、髓母细胞瘤、高级别胶质瘤的5年生存率分别为72%、64%及47%(45-49)。这也进一步说明,对于低级别胶质瘤而言,更要积极追求手术全切的机会,才能换取孩子更长的生存期。


- 文章标题:化疗无效、失明10年…少年决定向68mm³复发胶质瘤宣战!
- 更新时间:2025-10-03 07:32:06
400-029-0925




