术后2年,孩子胶质瘤复发。
胶质瘤复发,对于已经经历过一次开颅手术的孩子和家庭来说无疑是雪上加霜的一次打击。当朋朋妈妈亲眼看过孩子在开颅术后的伤口、听过孩子时不时的喊疼、陪伴过孩子漫长的恢复之路……她哭着在心底对自己说:再也不想孩子受这种苦了!

但是,下决心容易,可真要找到对应的方法又很难。毕竟,在大多数人的意识里,脑子里长了瘤,不开颅怎么治?可是朋朋妈妈还是不甘心,不然,先问问国际上的小儿神外大咖呢?
于是,依靠“六人定律”,朋朋妈妈很快就找到了一位国际知名的儿童大咖鲁特卡教授,没想到,这位大咖的回复竟真的令她“误打误撞”找到了方法!朋朋妈妈暗自欣喜:难道真是“勇敢的人先享受世界”?
01. 眼看胶质瘤复发却束手无策?
时间倒退回2020年,那时刚满11岁的朋朋朋因迟迟没有长高而被怀疑发育迟缓,父母带着她前往医院,却发现了左侧鞍旁的一个占位性病变。最初发现时,医生均建议手术切除。
父母不疑有他,很快朋朋就被推入手术室,在一番焦急的等待后,随着手术室的灯暗下,医生告诉父母:手术成功切除肿瘤,病理结果显示是低级别胶质瘤——细胞型星形细胞瘤,这意味着朋朋的预后会比较好。父母大大地松了口气。
可是他们没想到的是,在此之后,朋朋不仅出现了视野缺损,更可怕的是,这种低级别的胶质瘤竟然还会复发!
胶质瘤复发的五大因素:
- 胶质瘤本身病理较差,是复发与否、复发时间快慢的主要决定因素
- 胶质瘤生长位置复杂,难以根治
- 未及时有效的手术切除,必要时需结合术后放化疗
- 肿瘤太大,难以根治
- 为保关键神经功能或患者治疗需求,导致的肿瘤残留
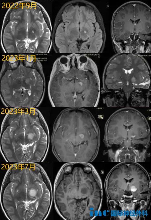
2022年,朋朋在一次常规复查时发现左侧丘脑微小异常信号,手术的医生建议服用靶向药物或化疗,但当时朋朋一家并没有采取任何治疗措施,只是继续通过复查核磁进行观察。
2023年,再次复查MRI显示肿瘤明显增大,于是他们再次咨询了之前的手术医生,医生还是建议服用靶向药物。然而,靶向治疗3个月后,复查MRI显示肿瘤进一步增大和强化。朋朋父母没想到,不到1年时间,这个胶质瘤竟硬生生从米粒大小长到了番茄那么大!

02. 咨询国际大咖后收到“惊喜”
在经历过一次开颅手术后,朋朋父母不愿再面对又一次的开颅,这时朋友的一句话提醒了他们:多咨询几个专家,每个专家研究的重点都不一样,或许会有新的方式呢?
于是,他们找到了James T. Rutka(鲁特卡)教授,起因正是教授所擅长的一项微创技术——LITT(激光间质热疗)点燃了朋朋父母对于“不开颅就能治疗胶质瘤”的希望。
教授,我们孩子这个肿瘤的位置和大小适合做LITT手术吗?
残余肿瘤可能是适合进行LITT手术的,考虑进行LITT手术的时机是在进行了合理的化疗试验之后。在接下来的1-2个月,应继续使用曲美替尼进行化疗,并重复影像学检查,希望能显示肿瘤缩小或稳定。6个月后,可决定是否进行LITT手术。但是,如果肿瘤在这期间继续生长,就可以考虑提前进行LITT。
这个手术有哪些可能的风险或后遗症呢?发生的概率大吗?
LITT是治疗这种肿瘤的一种合理而温和的方法。可能出现的风险或后遗症包括右侧肢体无力、出血、感染和复发。复发率取决于LITT对病灶的清除程度。
术后一般多久孩子能出院?后期还需要靶向治疗吗?
LITT手术后,大多数儿童可在2-4天后出院。患儿通常都能很好地耐受。根据我们的经验,LITT术前需要使用地塞米松。将来如果有残余肿瘤,可以再次使用靶向药物或化疗。
在得到鲁特卡教授的回复后,朋朋父母对于孩子未来的治疗信心大增。没想到,一开始只是试想,竟然真的能够转变为现实,而孩子正好就适合进行LITT手术!
03. LITT“激杀”效果如何?
令人欣喜的是,不久前鲁特卡教授就曾来华开展座谈,在会上还与国内专家围绕“儿童难治性脑肿瘤的国际前沿治疗进展”进行充分讨论,鲁特卡教授认为,LITT更适用于边界清晰、生长缓慢的小肿瘤,如低级别胶质瘤、下丘脑错构瘤等。
对此,苏州大学附属儿童医院的神经外科主任王杭州教授表示,在国内仅当放疗后肿瘤缩小至局灶残留时考虑进行LITT,但中国目前设备稀缺。
相关阅读:
尽管如此,对于有能力且不愿孩子开颅的家长而言,LITT治疗儿童低级别胶质瘤仍然是一个合适的选择。在一项发表于《Child's nervous system》的研究指出,LITT是一种微创治疗,在治疗儿童深部低级别胶质瘤方面显示出较好的前景。已证明可以使肿瘤体积减少,并且其积极结果会随着时间的推移而持续。LITT可用作位于手术难以进入的脑深部区域或其他标准治疗方案失败的肿瘤的替代疗法。

INC 国际小儿神外专家团
国际儿童神外大咖 James T. Rutka教授

教授教授发表超过500多篇高影响力论文,在临床上的研究方向以颅内肿瘤为主,对胶质瘤、纤维瘤、颅咽管瘤、室管膜瘤具有多年的临床经验,擅长清醒开颅术、显微手术和被广泛用于治疗恶性脑瘤和癫痫的国际前沿技术激光间质热疗(LITT)技术经验,对于儿童胶质瘤,尤其是高级别胶质瘤开展多项临床试验,其所在的医院加拿大SickKids是国际知名的儿童医院之一。
国际脑干手术大咖 Helmut Bertalanffy教授

教授擅长颅底、脑干病变、功能区、大脑小脑、脊髓等复杂位置的肿瘤性、血管性疾病的手术治疗,尤其擅长颅底、脑干等复杂区域病变的肿瘤切除术、神经吻合术等,脑干病变成功手术病例近千台,以精湛高超的手术技术不损伤神经功能且全切病变。巴教授历经千万个小时用超精确的物理剥除诠释了医术为何为艺术。
国际儿童神外专家 Concezio Di Rocco教授

自2014年5月起,Di Rocco教授就担任了德国汉诺威国际神经科学研究所(INI)的儿科神经外科主任。从事儿童神外事业50余年,Di Rocco教授尤为擅长小儿神经纤维瘤、癫痫、脑积水、蛛网膜囊肿、颅缝早闭、脑和脊髓肿瘤、脑和脊柱畸形(半椎体畸形,皮质发育不良,脊髓脊膜膨出,脊髓内脂肪瘤,Arnold-Chiari畸形等)难治病症方面的治疗,曾进行过12000多次神经外科手术。
- 文章标题:胶质瘤复发怎么办?有位国际大咖“大胆开麦”:可以不开颅!
- 更新时间:2025-08-04 16:47:02
400-029-0925




