
中脑顶盖肿瘤常被贴上“惰性”“生长缓慢”的标签,部分患者选择“观察等待”。但事实上,这些肿瘤就像埋在脑干上的“不定时炸弹”——看似安静,却可能在某个时刻突然“苏醒”,该怎么办?INC德国巴特朗菲教授如何为他们安全全切肿瘤?
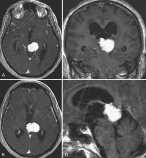
56岁男性,因持续加重的弥漫性头痛、眩晕、排尿障碍及顽固性呃逆就诊。影像学检查显示中脑顶盖区及第三脑室后部存在明显占位性病变。尽管该部位手术风险极高,毗邻重要神经核团和脑脊液循环通路,但考虑到患者症状进行性加重,神经外科团队最终决定实施肿瘤全切除术。术中运用先进的神经导航和实时电生理监测技术,成功在保护关键神经结构的前提下完成肿瘤全切。术后病理确诊为孤立性纤维瘤,随访显示患者症状完全缓解且未出现任何新增神经功能缺损。
术前MRI

术后MRI

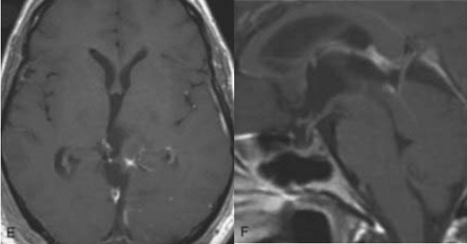
3岁患儿因典型的Parinaud综合征就诊,影像学证实为顶盖区神经胶质瘤延伸至第三脑室后部。若不及时干预,这种眼球运动障碍很可能进展为永久性残疾。手术团队采用小脑上幕下入路,在有限的解剖空间内精细操作,最终实现肿瘤全切除。令人欣慰的是,术后数月内患儿的眼球运动功能获得显著改善。

术前MRI

术后MRI

Parinaud综合征(又称中脑顶盖综合征或垂直注视麻痹综合征)是一种由中脑顶盖区病变引起的神经系统疾病,主要表现为垂直性眼球运动障碍、瞳孔异常及调节反射异常,通常由占位性病变所引起。在脑干中,中脑背侧的上丘是眼球垂直运动的反射中枢。上丘的上半部分管理眼球向上运动,它发出的纤维至两侧动眼神经核中,主管上直肌和下斜肌的神经元;上丘的下半部分管理眼球向下运动,它发出的纤维至两侧滑车神经核和动眼神经核中主管下直肌的神经元,从而使两眼做出向上或向下的运动。
首先,顶盖肿瘤的“惰性”特征并非绝对,当肿瘤引起进行性神经功能障碍时,积极干预可能带来更好的预后;其次,现代显微外科技术的进步,包括术中导航、超声定位和神经电生理监测等,大大提高了这类高风险区域手术的安全性;最后,严格把握手术指征和选择技术精湛的主刀是取得成功的关键因素。
惰性伪装为何会突然恶化?脑积水缓解≠肿瘤稳定
1. 位置的特殊性:
脑干顶盖毗邻多个重要脑组织,包括中脑导水管、松果体、小脑、丘脑等。并包含上丘、下丘,是视觉、听觉反射中枢。而顶盖胶质瘤是位于中脑顶盖区的内生型或外生型肿瘤,多属于低级别胶质瘤,因此大多数患者在就医过程中常被建议保守观察或者主动选择保守观察。
风险点在于肿瘤生长压迫脑组织或手术术中稍有不慎就会造成眼球运动障碍、斜视、复视,听力下降、走路不稳等严重后果……

2. 生长模式:
肿瘤在初期可能确实生长缓慢,像树懒一样,可能几年才长1-2毫米,不压迫重要结构时,观察是合理选择。但!观察≠躺平! 需要:✔ 定期MRI(比如每6-12个月查一次,看它“懒不懒得住”)。✔ 警惕症状:突然复视、走路不稳、头痛呕吐——可能是肿瘤“醒”了!
或在有限空间内以不易引起症状的方式生长,比如主要阻塞导水管引起脑积水,你可能会觉得:“做了分流手术,头不胀了,是不是就没事了?” ➔ 就像家里水管堵了,装个疏通器(分流管)能让水流走,但堵水管的罪魁祸首(肿瘤)还在那儿呢!随着肿瘤继续生长,可能哪天把新通道也堵住。症状复发时,可能比第一次更急更重!
关键点:分流术能救命,但别以为万事大吉!仍需定期复查肿瘤是否长大。
3. 恶性转化的不可预测性:
即使是低级别胶质瘤也存在向高级别恶性肿瘤转变的风险,这种转变不仅意味着治疗难度的显著增加,还可能导致预后的急剧恶化,从原本可能较长的生存期及较好的生活质量,转变为生存期大幅缩短,且伴随着更为严重的症状和并发症,预后差异极为显著。
中脑顶盖部胶质瘤临床罕见,病理级别相对良性,进行积极的显微外科治疗能取得较好的效果,而手术之难又让多少医生望而却步。神经外科医疗技术不断创新发展,脑干肿瘤终将被克服,获得良好预后的患者只会越来越多。点击阅读:中脑顶盖肿瘤“懒癌启示录“——切还是不切,这是个问题

- 文章标题:脑干“不定时炸弹”:当“懒癌”顶盖肿瘤突然苏醒时
- 更新时间:2025-08-04 14:33:25
400-029-0925


